Primary cutaneous cribriform apocrine carcinoma

Clinical features

•Exceedingly rare

•Documented cases (12 in total)-  no metastases or mortality reported

•Does this tumor really represent a carcinoma?

•F>M

•Most often presents on the limbs as a 1-3 cm nodule or cyst

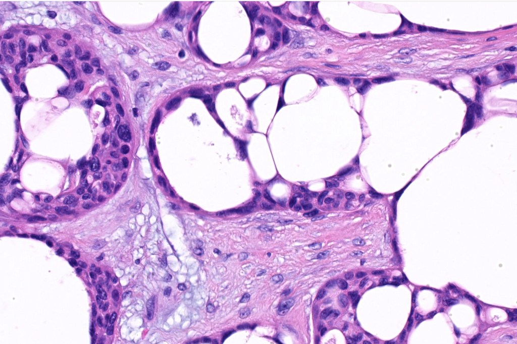
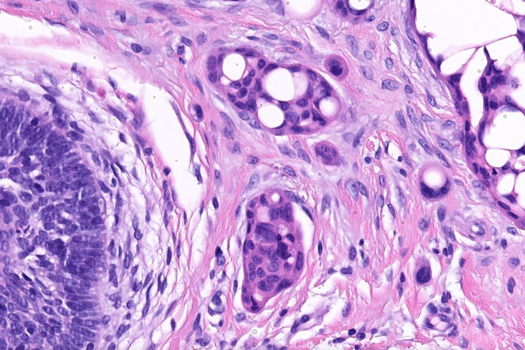
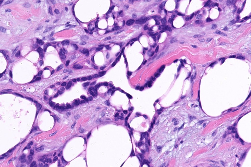
Histological features

•Generally circumscribed nodules/cysts

•Interconnecting epithelial strands giving rise to the cribriform growth pattern

•Ductal differentiation

•Hyperchromatic nuclei with variable pleomorphism

•Mitoses sparse or absent

•Focal decapitation secretion and presence of more typical apocrine carcinoma-like nests

Immunohistochemistry

•AE1/AE3, MNF116, CAM 5.2, CK7, EMA & CEA +VR

•Variable S100 expression

•SMA, p63 & calponin –ve

CK20 & GCDFP-15 -ve

Differential diagnosis: tumors which may show a cribriform growth pattern

•Prostate

•Lung

•Breast

•Stomach

•Colon

•Thyroid

•Salivary gland

•Vulva

•Uterus & ovary

Please don’t forget to subscribe and to hit the like button (If you like the blog!)

One response to “Primary cutaneous cribriform apocrine carcinoma”

  1. alicerobertsmd avatar
    alicerobertsmd

    An incredible resource!

    Like

Leave a comment