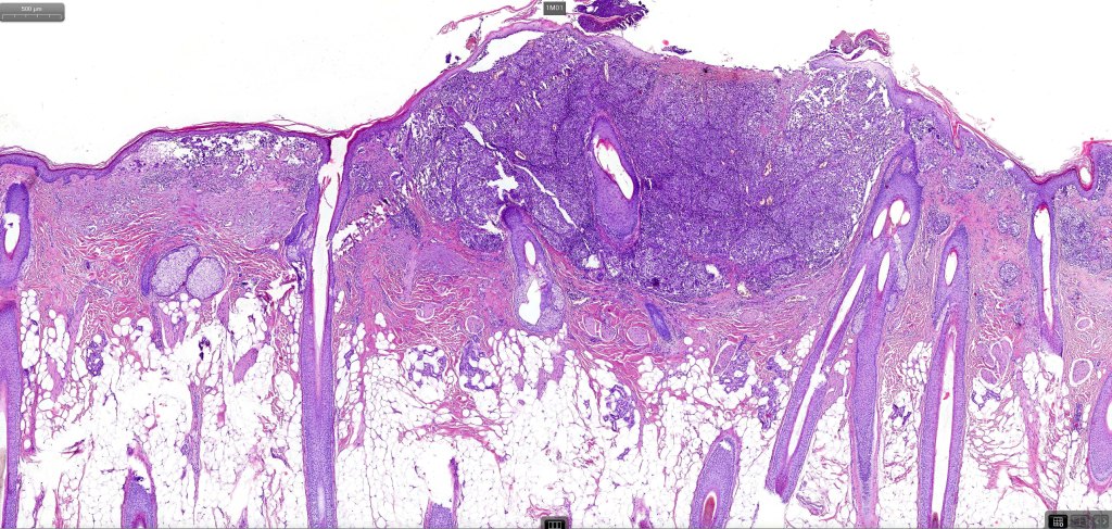
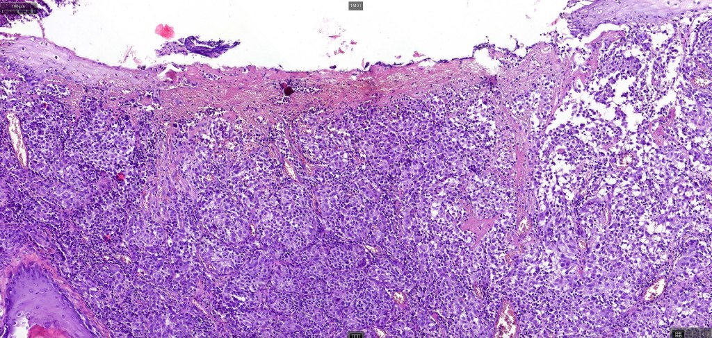
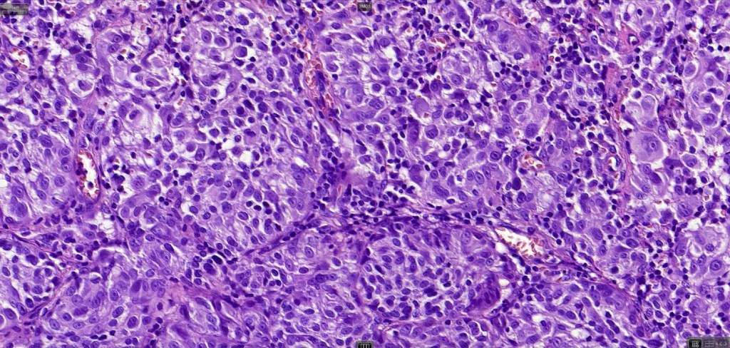
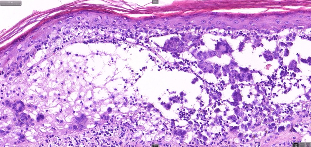
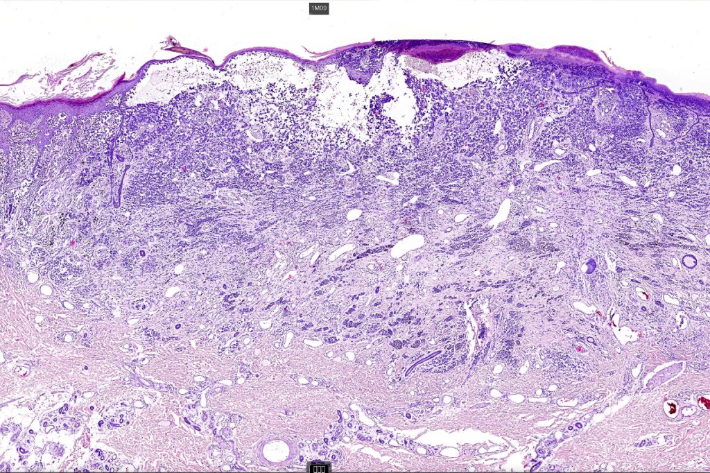
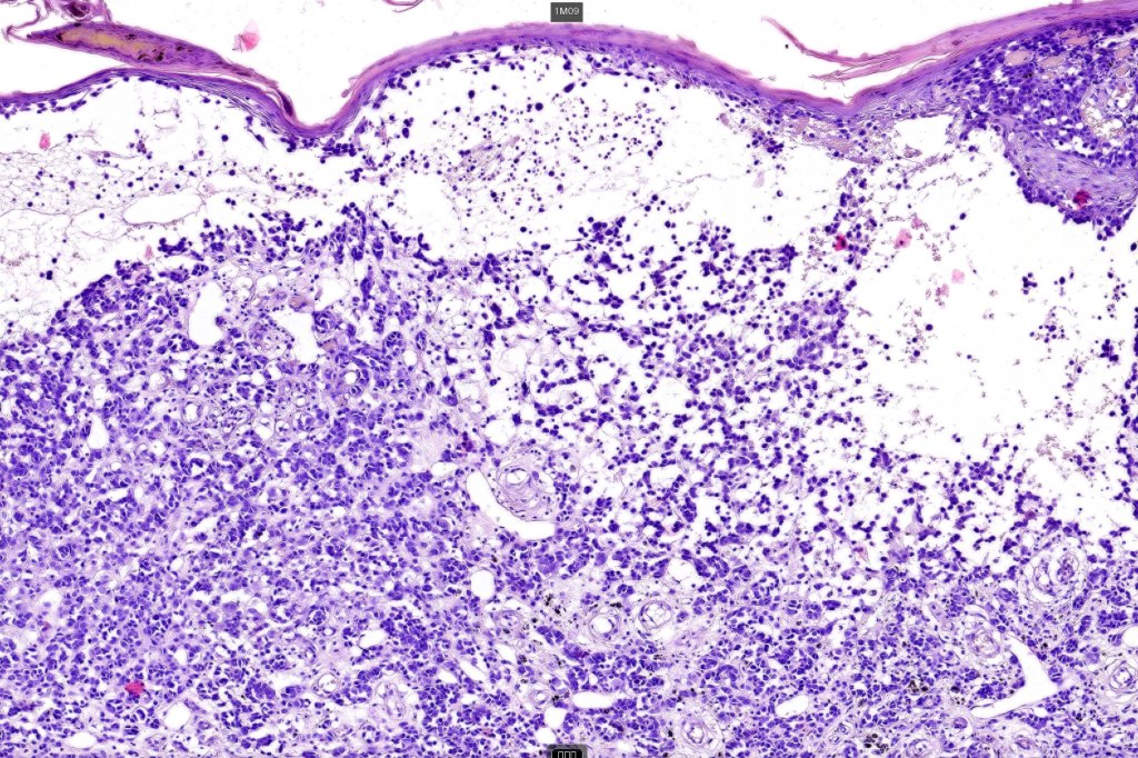
An exceedingly rare variant of melanoma. The term includes cases of melanoma that show features of an associated inherited bullous dermatosis such as epidermolysis bullosa or acquired immunobullous intraepidermal or sub epidermal bullous dermatosis such as pemphigus or bullous pemphigoid and cases where the blister develops directly overlying the melanoma in the absence of any underlying/associated blistering condition. It is generally recommended that measurement of the melanoma should be from taken below the blister/vesicle so as to avoid over-estimating tumor thickness.
Case courtesy of Dr. Antonina Kalmykova







Case courtesy of Dr. Antonina Kalmykova





Leave a comment