This is commonly regarded as a variant of Spitz nevus but as it has such disctinct histological features it is covered in a separate blog.
Clinical features
•Heavily pigmented papule or nodule, starburst pattern seen with dermoscopy is characteristic
•Young people
•F>M
•Lower limbs> upper limbs> trunk
Histological features
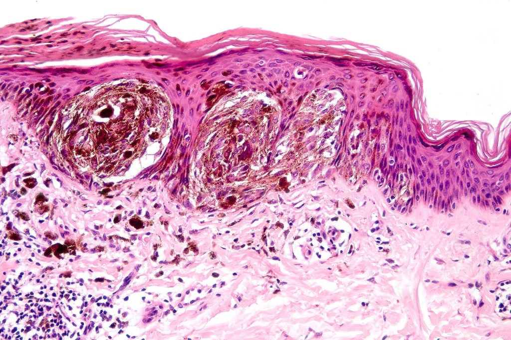
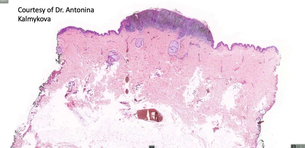
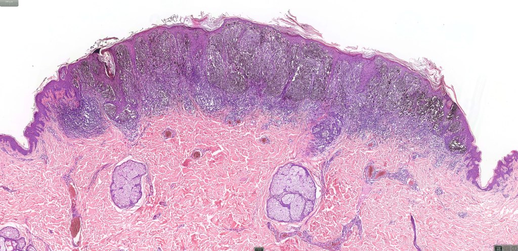
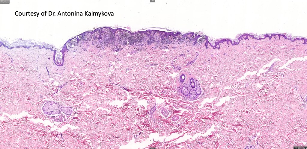
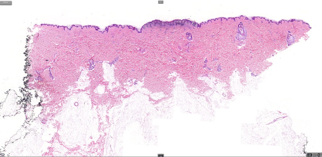
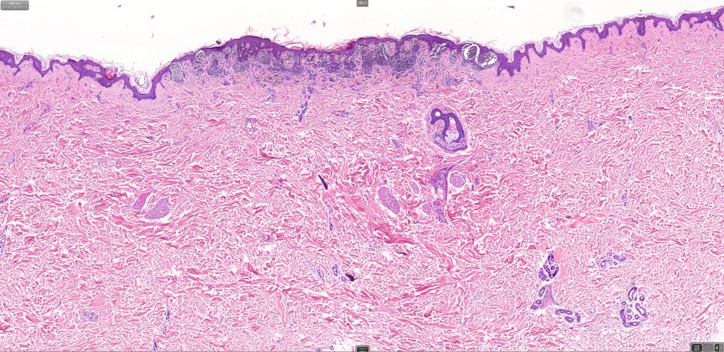
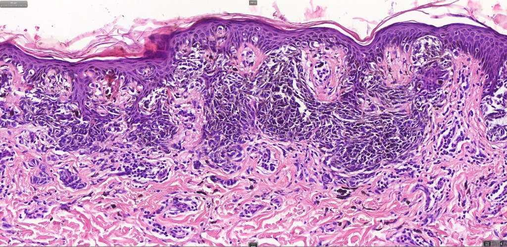
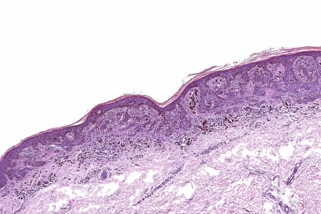
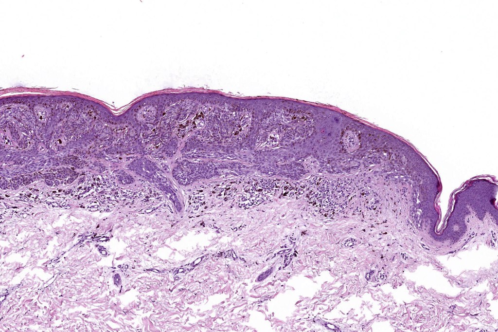
•Variant of Spitz nevus, readily identifiable at scanning magnification in the majority of cases
•Symmetrical and circumscribed with a characteristically flat lower border
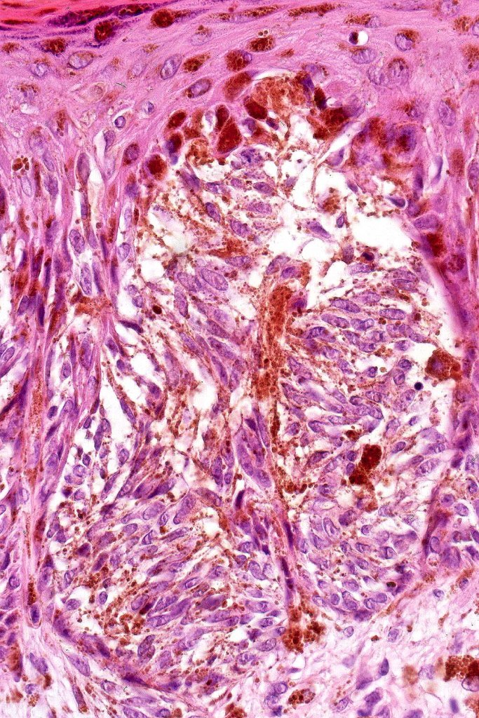
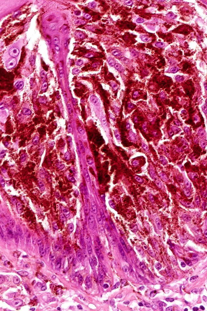
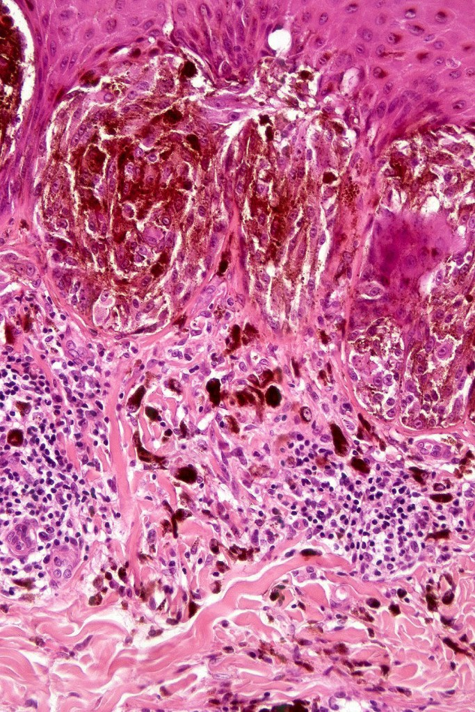
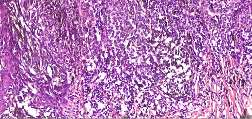
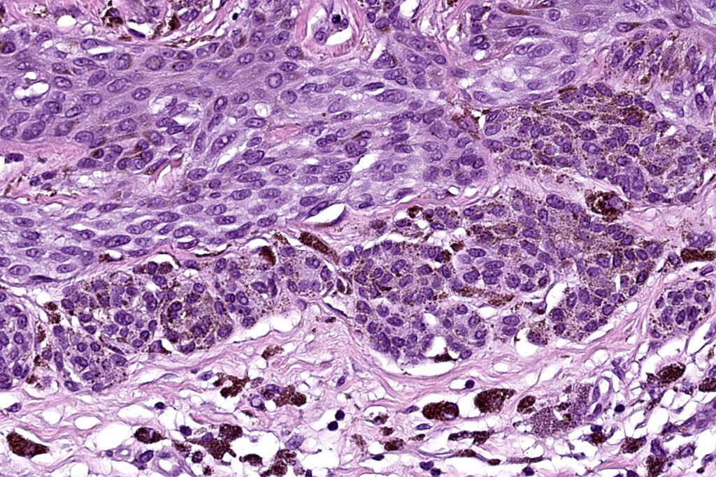
•Vertically orientated oval junctional nests
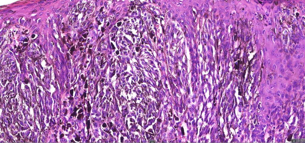
. Heavy pigmentation although hypopigmented/amelanotic varinats can be encountered
•Junctional or compound
•Acanthosis & hyperkeratosis
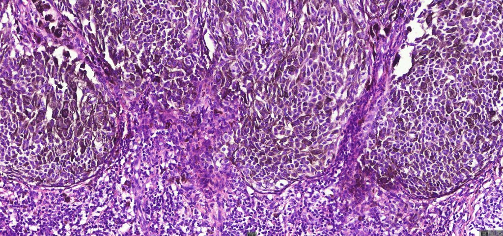
•Maturation in compound variants
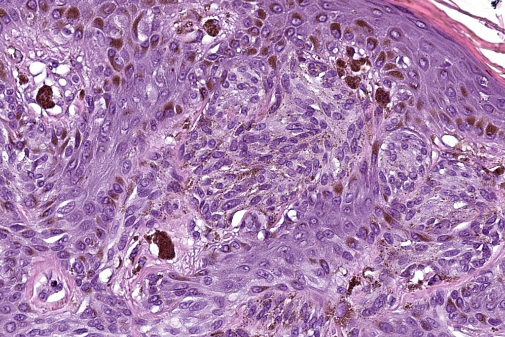
•Spindle cells with small nucleoli
•Mild pleomorphism
•Kamino bodies
•Central focal Pagetoid spread & elimination of nests sometimes seen
•Junctional mitoses
•Adnexal involvement
. Lymphocytic infiltrate often seen at base
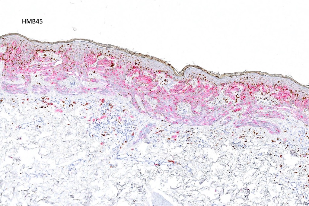
•80 % kinase fusions (NTRK3-58%), HMB45 diminishes with depth in compound lesions









































Leave a comment