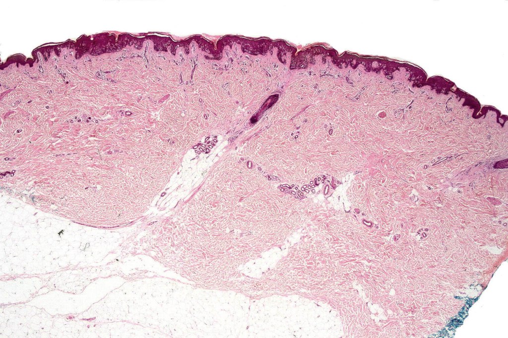
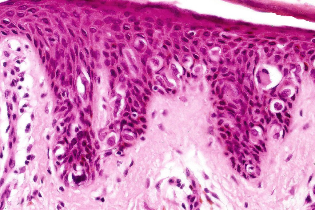
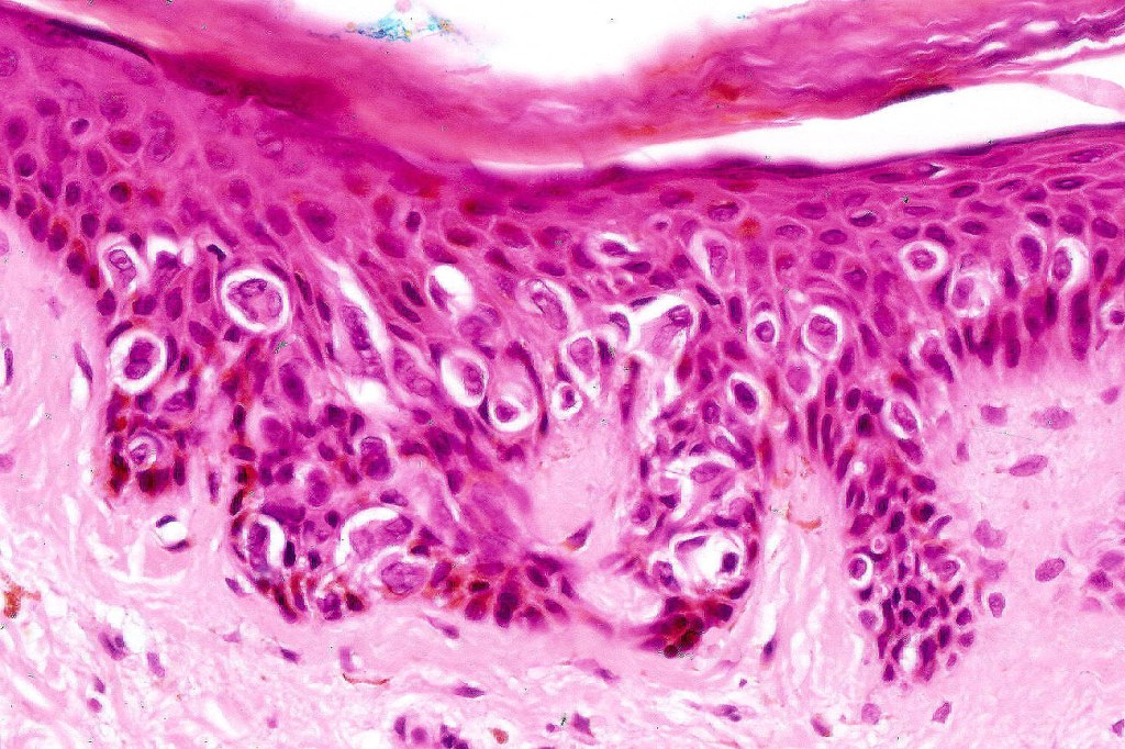
This is a rare, intraepidermal variant of Spitz nevus. It presents more commonly on the extremities of females as a <6.0 mm, pigmented maculopapule. Age distibution ranges from 15-57 years (mean 34)
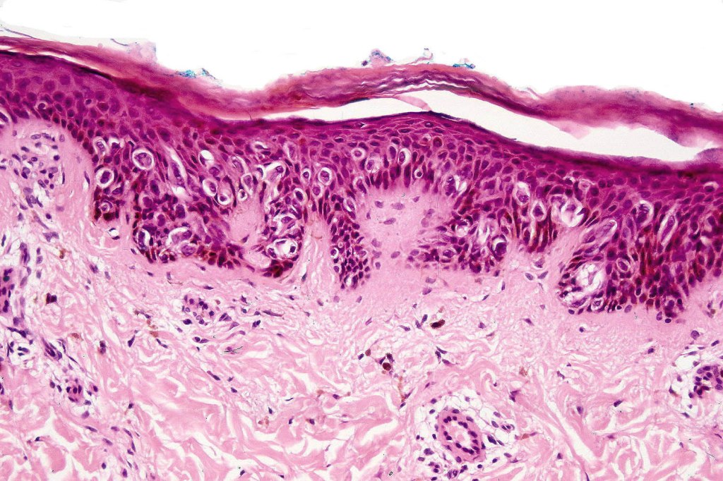
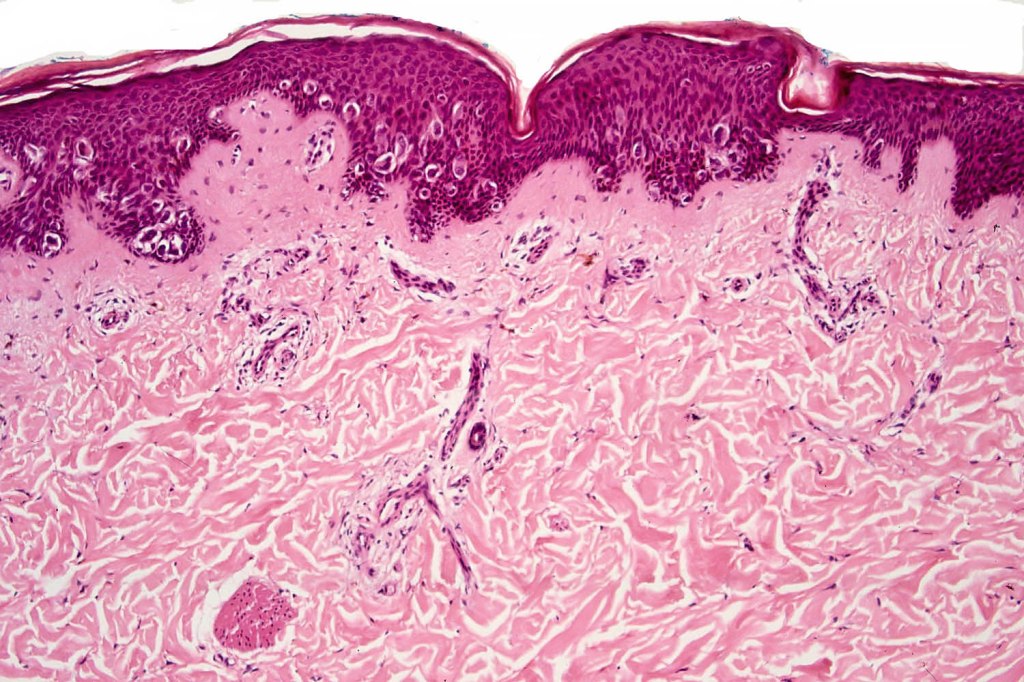
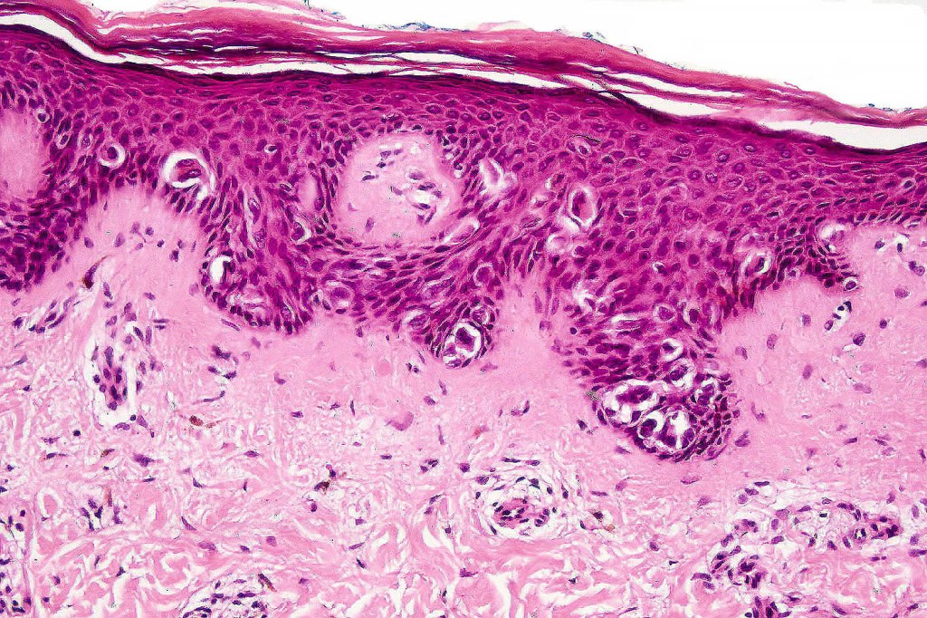
Histological features
•Variable acanthosis
•Intraepidermal proliferation of epithelioid Pagetoid cells with plentiful eosinophilic cytoplasm & vesicular nuclei with conspicuous eosinophilic cytoplasm
.Retraction artifact
•No mitoses
•Superficial dermal inflammatory cell infiltrate
. Pigmentary incontinence












Differential diagnosis
Pagetoid Spitz nevus may be confused with superficial spreading melanoma. The strikingly uniform Spitz population with retraction artifact, absence of pleomorphism and mitotic activity should make the distinction easy. Unfortunately insufficient immunohisyochemistry literature is available.
Leave a comment