Clinical features
•Rare autosomal dominant developmental abnormality of vellus hair follicles predominantly affecting children and young adults
•Sporadic forms are also recognized
•M=F
•Present with numerous flesh-colored to pink papules (1-5 mm) on chest, abdomen or extensor limbs but can be widespread
•May also present as a solitary lesion
•In some patients, the condition arises in association with a variety of conditions including anhidrotic & hidrotic ectodermal dysplasia, steatocystoma mulitplex and pachyonychia congenita


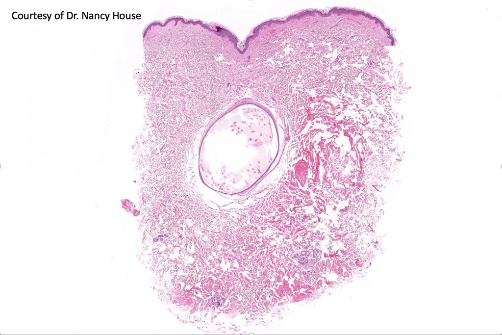
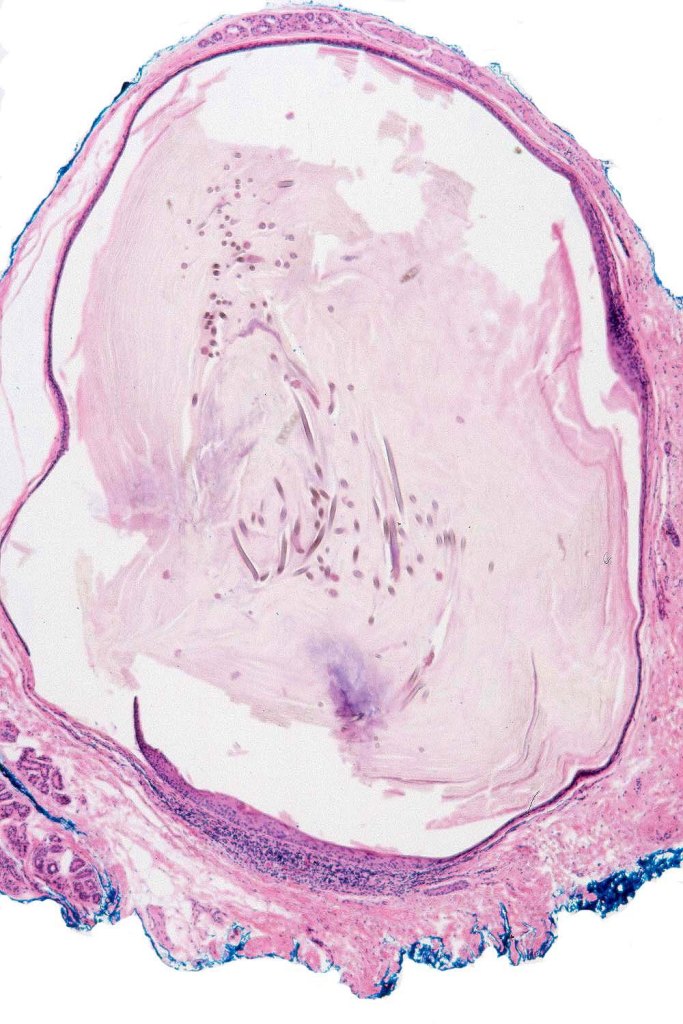
Histological features
•Develop because of occlusion of vellus hair infundibula
•Mid-dermal thin-walled cyst lined by squamous epithelium often with a granular cell layer
•Contains numerous vellus hair fragments
•Characteristic absence of associated sebaceous glands (compare with steatocystoma multiplex)
•Vellus hair cyst wall epithelium expresses keratin 17 but not keratin 10
•Some patients have both vellus hair cysts and steatocystoma multiplex




Leave a comment