Clinical features
•Small (0.5-1.0) cm flesh colored, asymptomatic papule or nodule often with a central crater/dell
•Predilection for the upper lip
•Exceptional sites include the earlobe, postauricular region, nasolabial fold, eyebrow, forehead & cheek
•M=F
•Middle-aged or elderly
•Non-syndromic
.Plaque-like variant
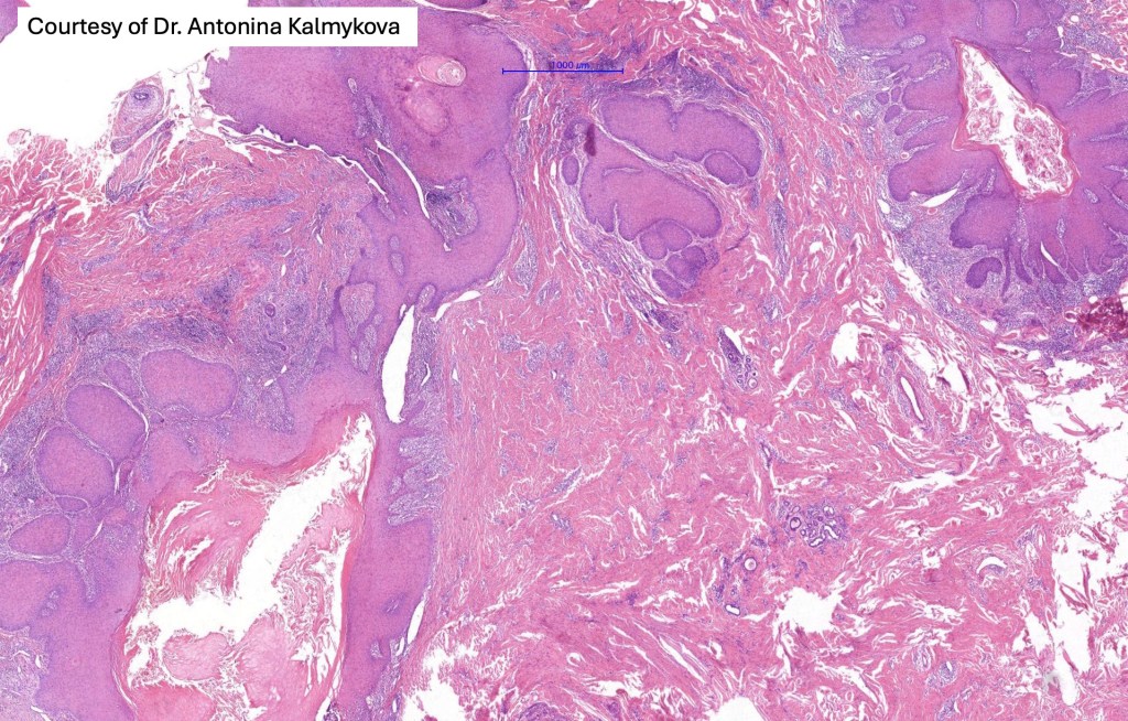
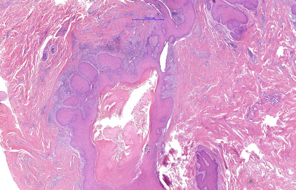
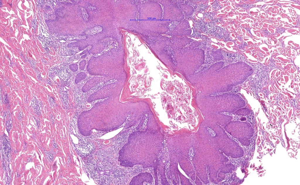
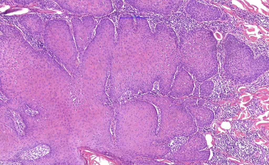
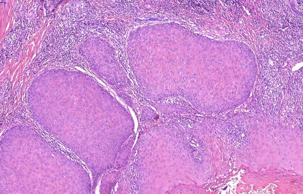
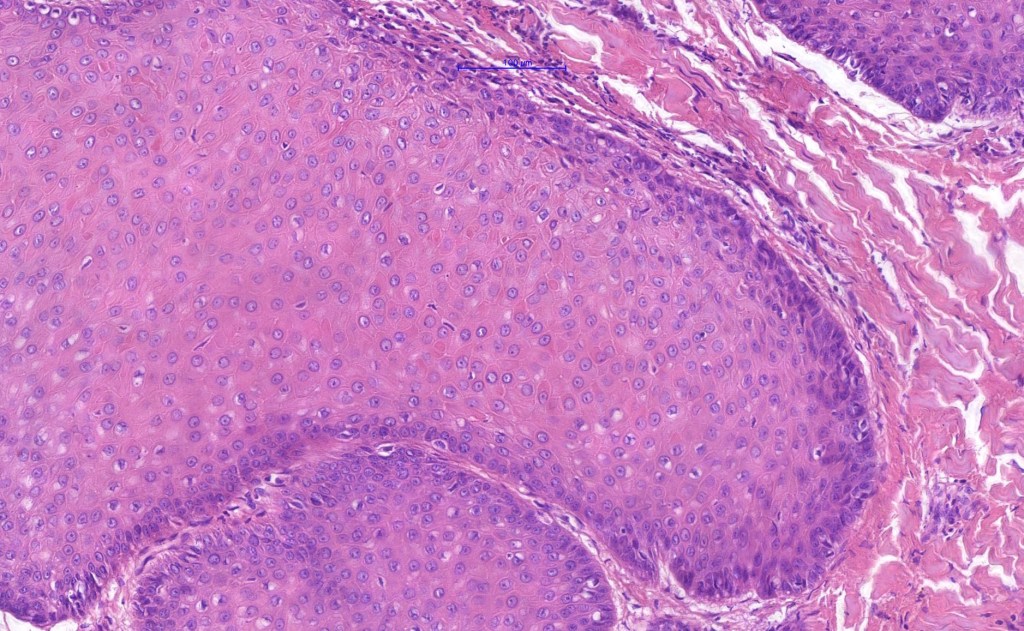
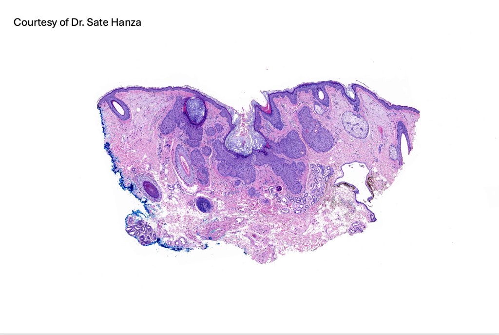
Histological features
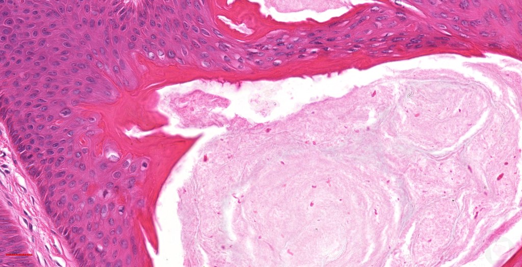
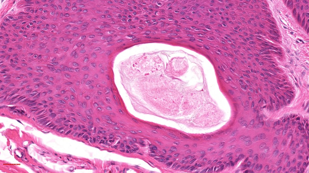
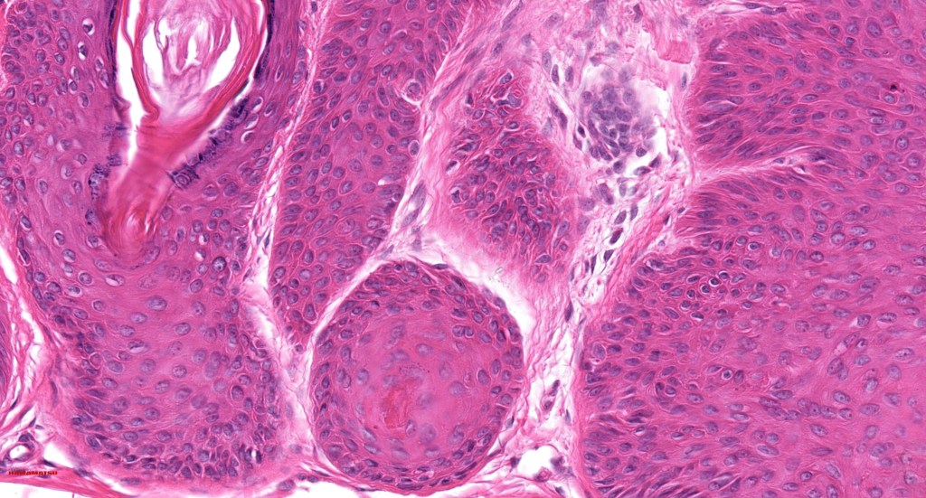
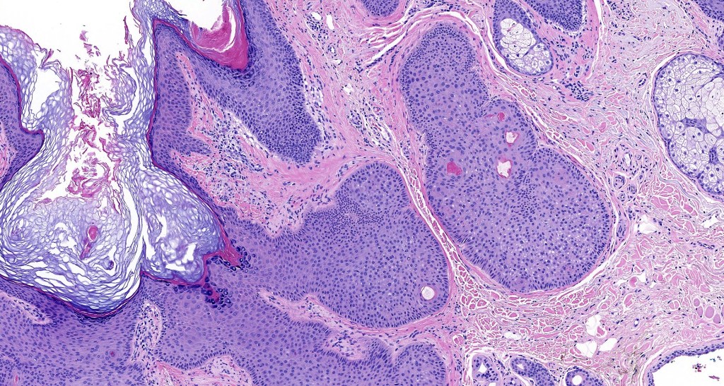
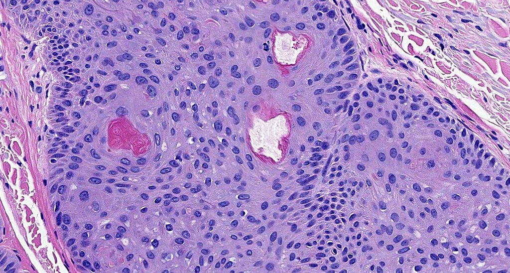
•Multilobulated cyst with associated lobules of well differentiated squamous epithelium
•PAS+ve cytoplasmic vacuolation indicating outer root sheath differentiation
•+/- peripheral palisading
•No pleomorphism or significant mitotic activity
•Eosinophilic basement membrane
•Infundibular>trichilemmal keratinization
















Leave a comment