Clinical features
•Very rare
•Usually solitary flesh colored papule/nodule up to 1.5 cmdiameter
•Head & neck
•F>M
•Middle aged or elderly
•Exceptional association with Cowden syndrome
•May arise in a nevus sebaceus
•Multiple/eruptive variant (infundibulomas)
Histological features
•Can be a non-specific component of a wide variety of other tumors including BCC, AK, desmoplastic trichilemmoma etc
•Can arise in a nevus sebaceus
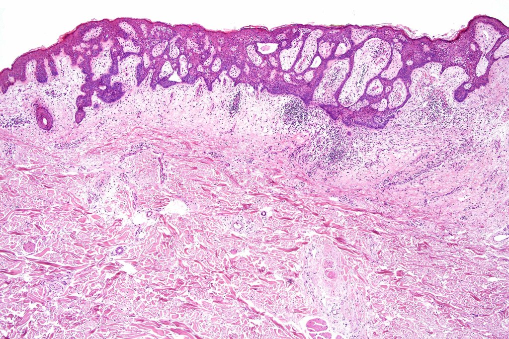
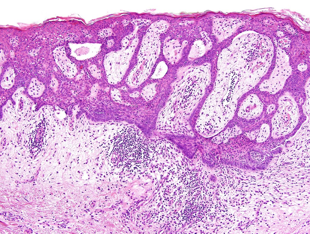
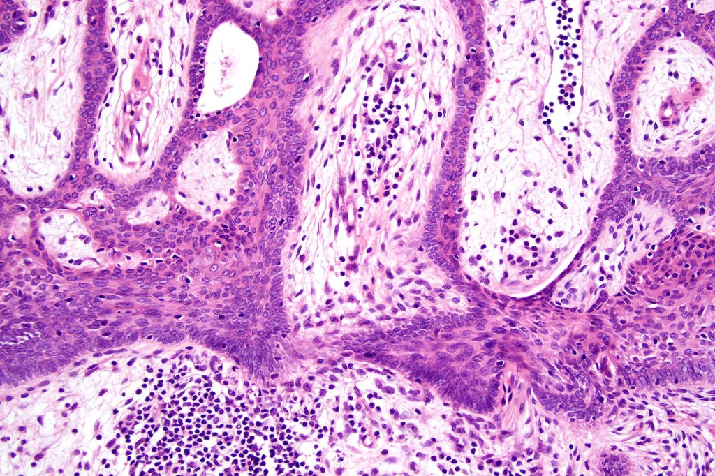
•Characteristic fenestrated epithelial plate-like silhouette suspended below the epidermis
•Pale-staining epithelial cells with peripheral palisading
•Eosinophilic basement membrane
•No pleomorphism or mitotic activity
•BerEP4 –ve
•CK20 +ve Merkel cells
•Regarded by some authors as a variant of seborrheic keratosis








Leave a comment