Clinical features
•Sporadic or familial
•MYB-NFIB fusion gene in many sporadic tumors
•CYLD gene mutation in Brooke-Spiegler syndrome & some sporadic tumors
•Predilection for head, neck & particularly scalp although may present elsewhere
•Multiple scalp tumors-turban tumor
•Linear variant
•9F:1M
•Familial cases
•Brooke-Spiegler syndrome
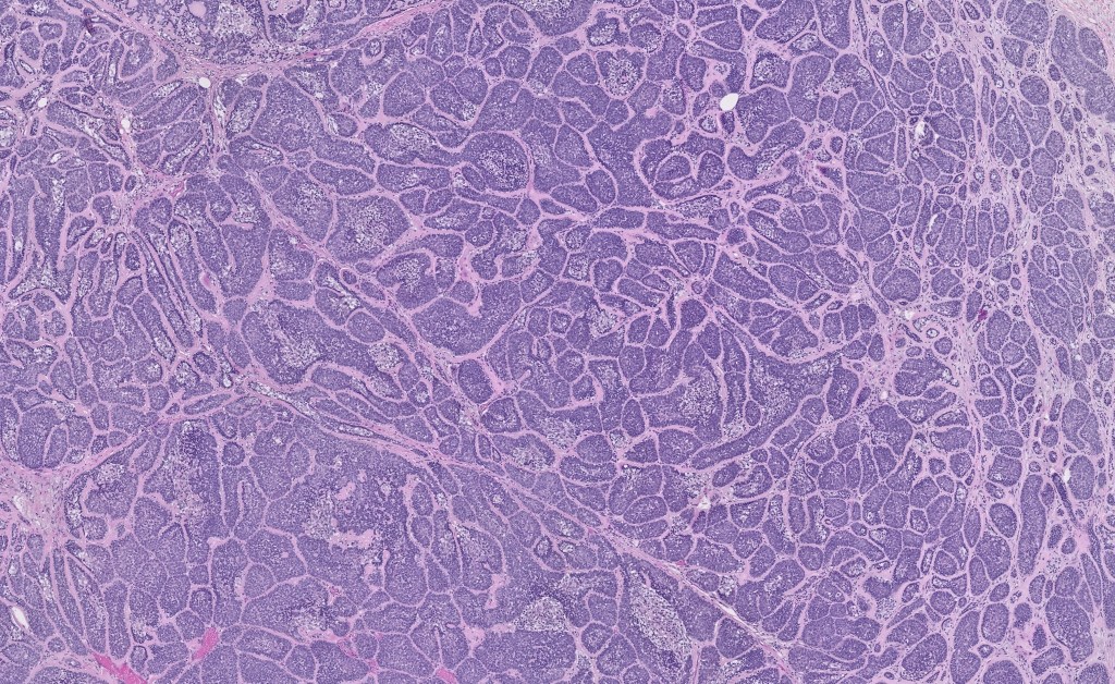
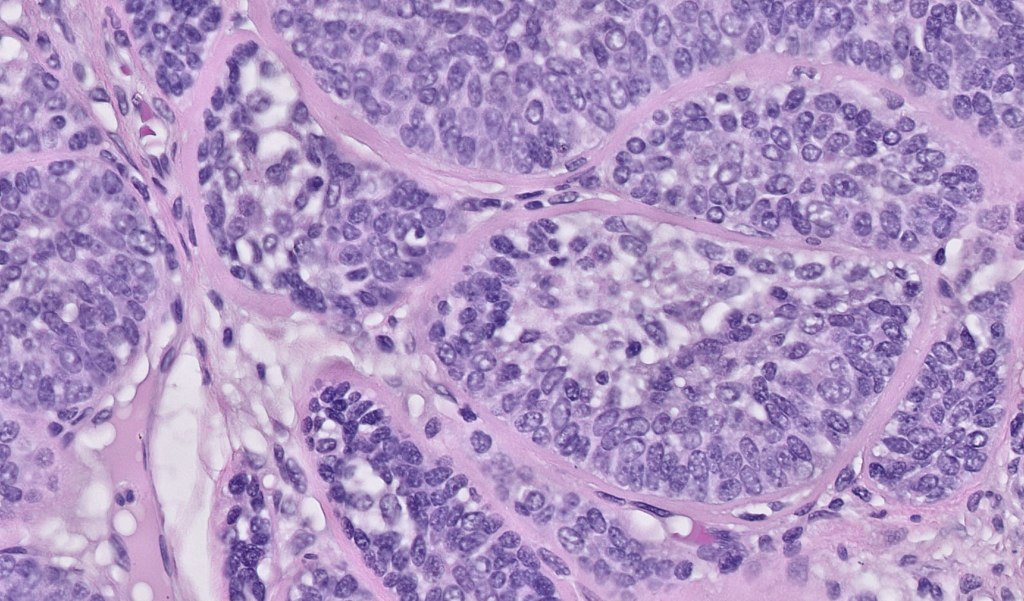
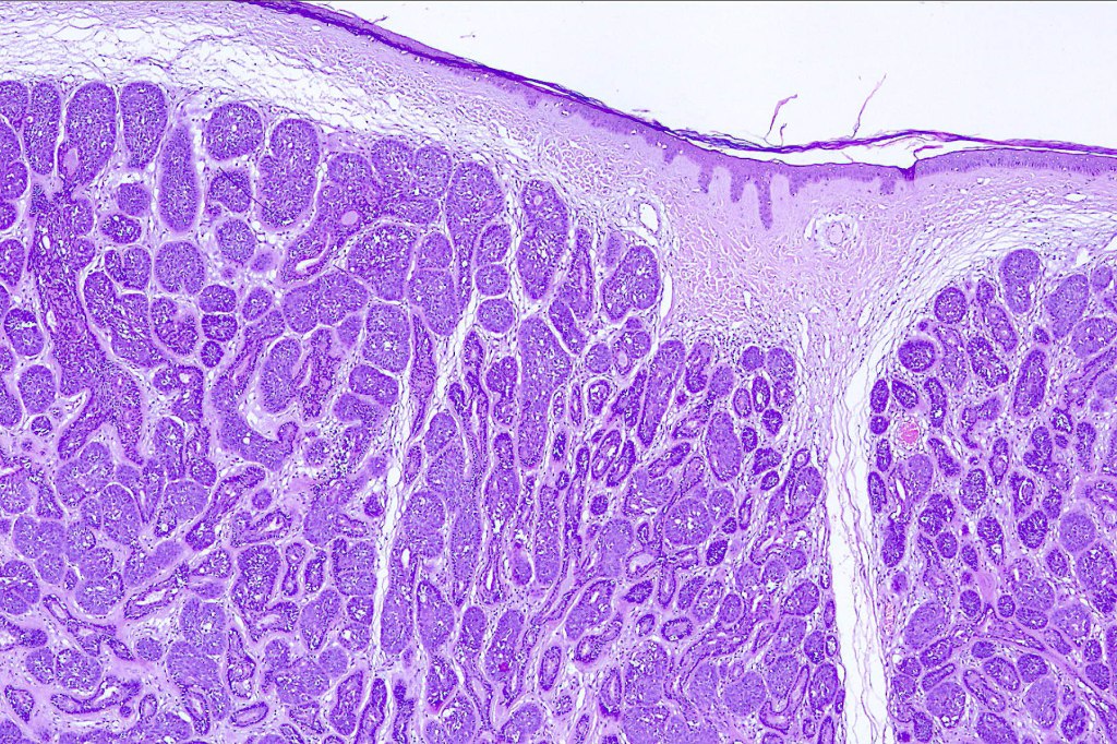
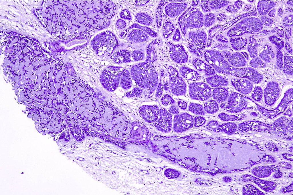
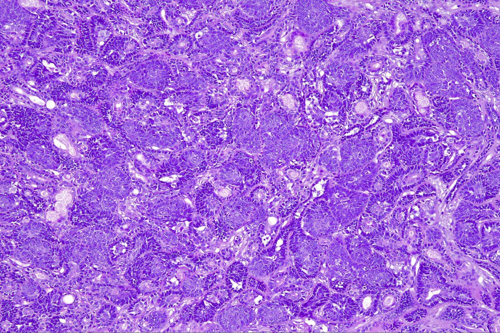
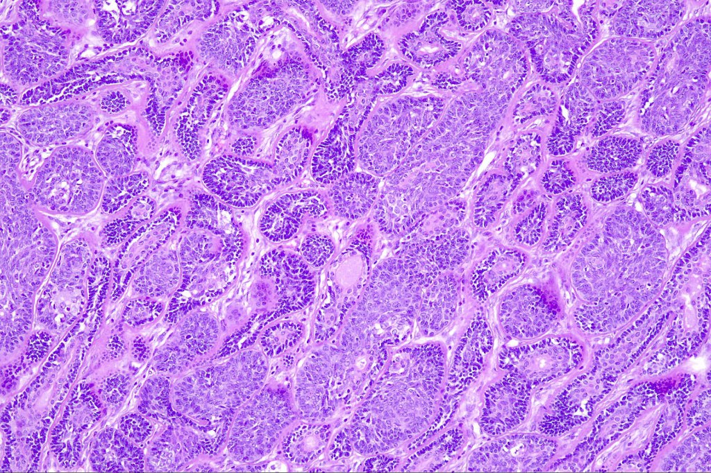
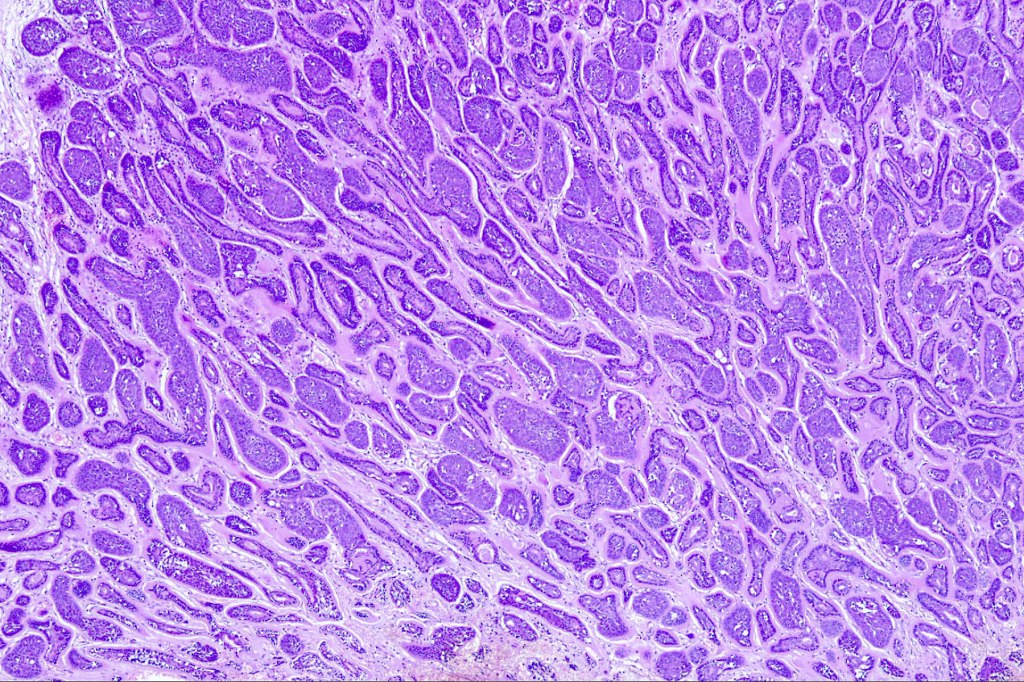
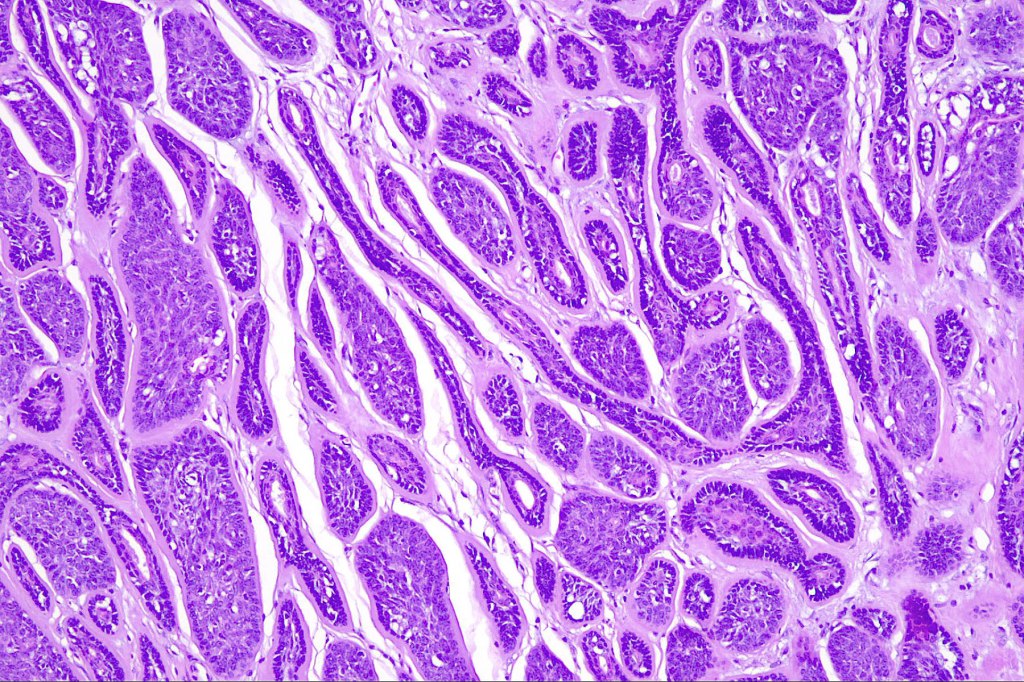
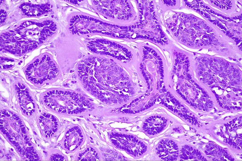
Histological features
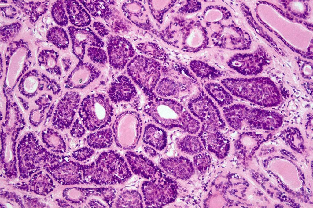
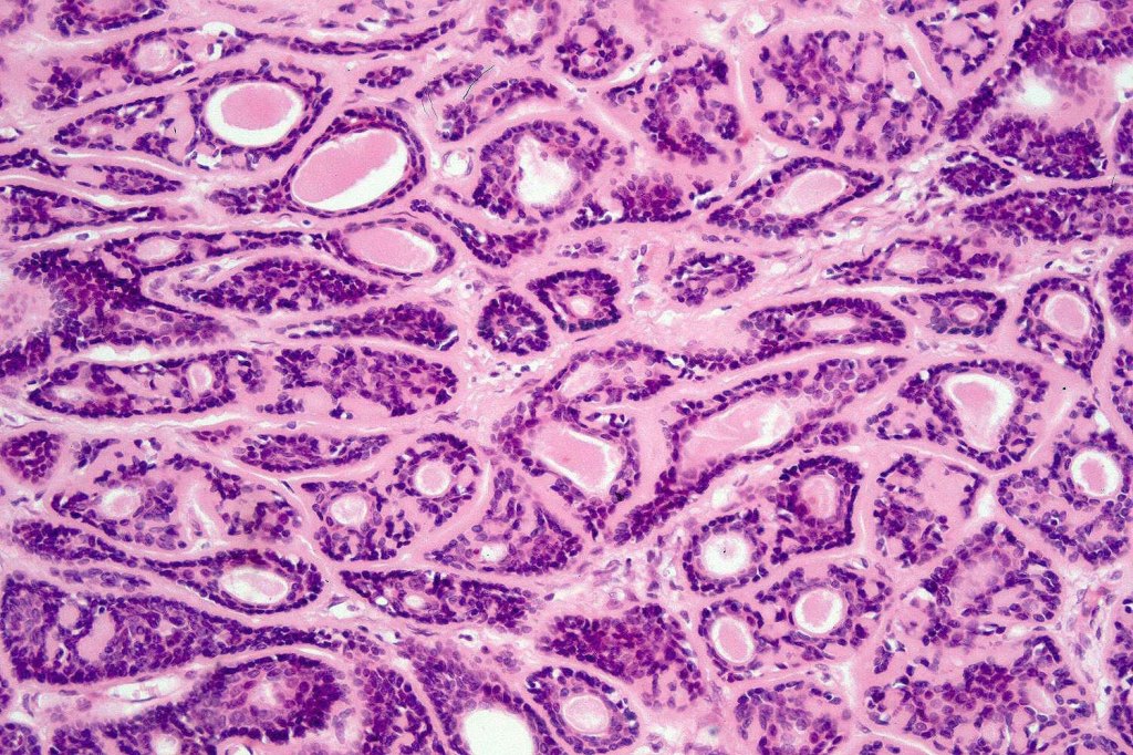
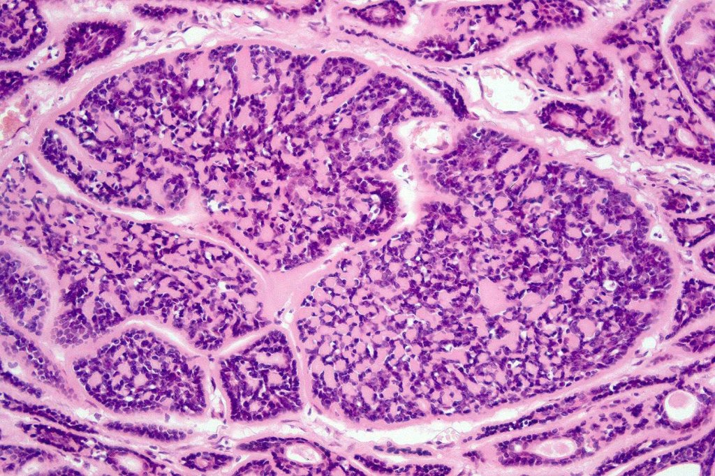
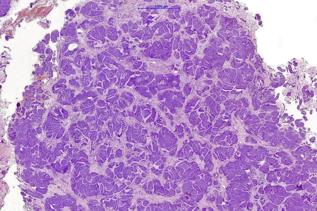
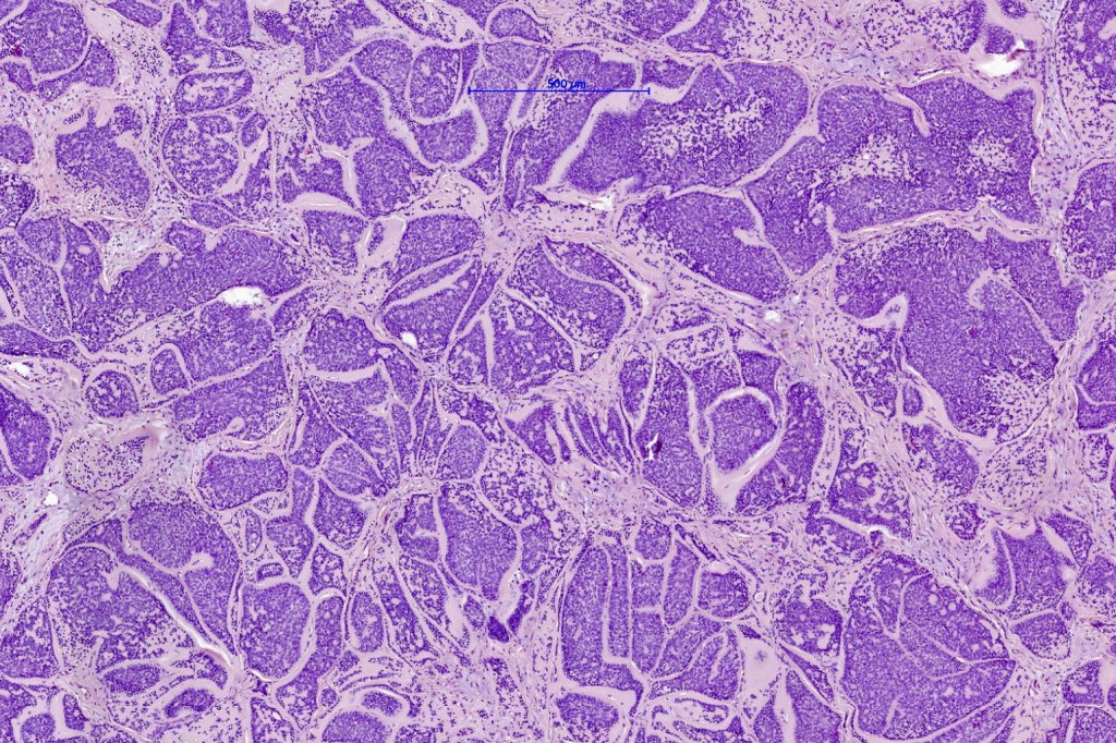
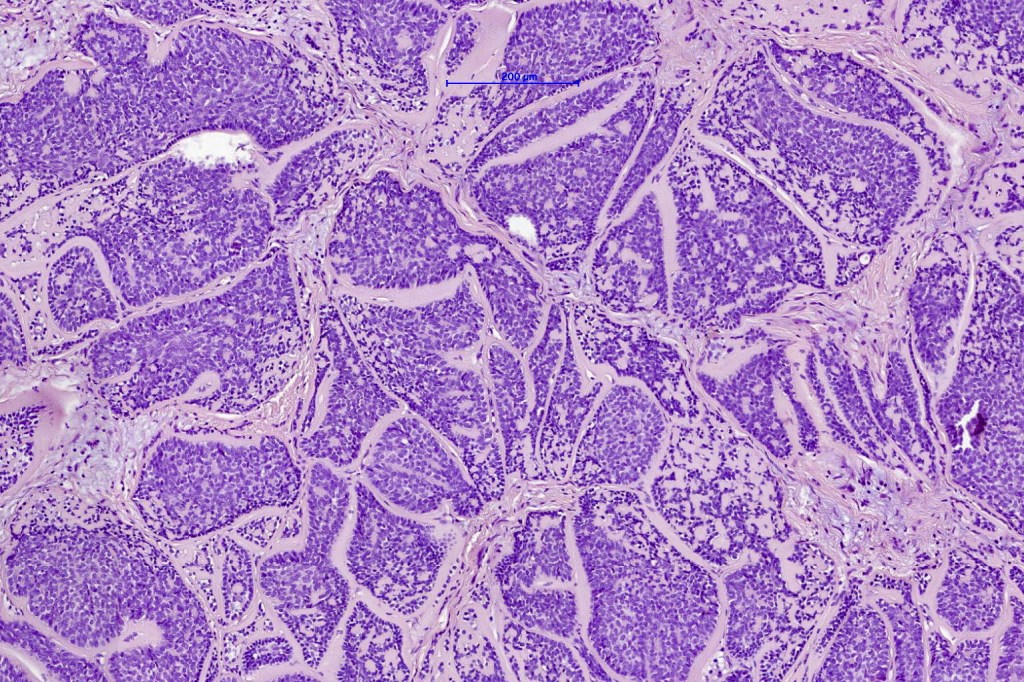
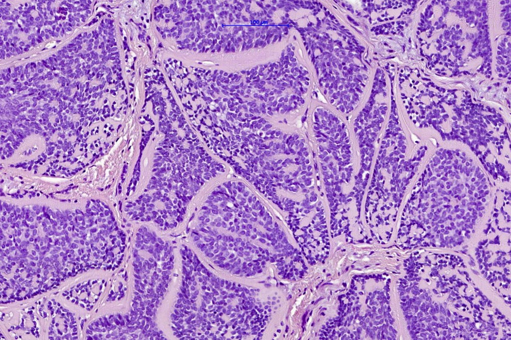
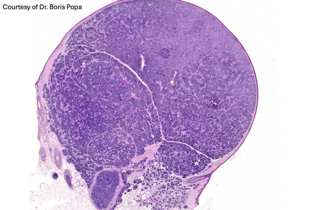
•Dermal based
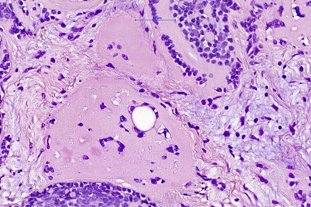
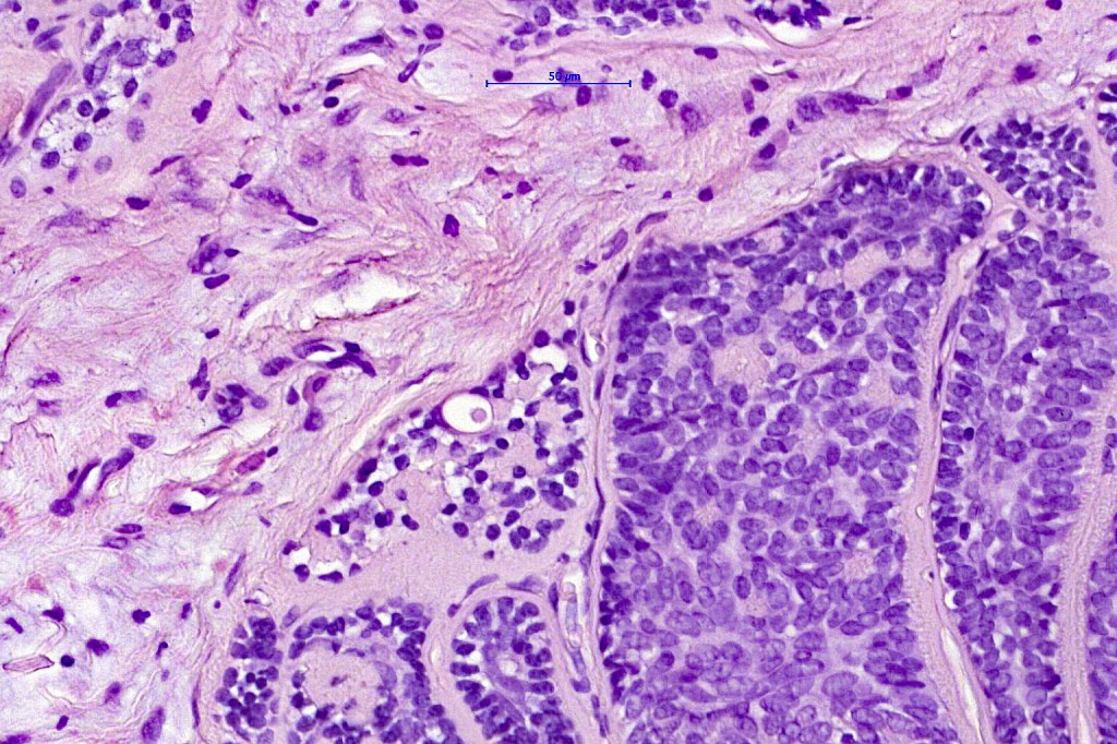
•Jigsaw/mosaic pattern arrangement of variably sized lobules of tumor cells with surrounding think, eosinophilic hyaline basement membrane
•Intralobular hyaline basement membrane material droplets
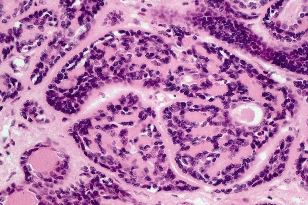
•Outer layer of intensely basophilic small cells surrounding larger central cells with pale staining or eosinophilic cytoplasm & vesicular nuclei
•Ductal differentiation
•Spiradenocylindroma
•+/- Trichoepithelioma- & trichoblastoma-like foci
•Exceptionally, sebaceous differentiation
•CK7, EMA & CEA+ve, CK20, GCDFP, ER & PR -ve


























Leave a comment