Clinical features
•Very rare benign tumor that shows a predilection for the distal extremities
•4F:1M
•Black> White races
•Slowly growing, asymptomatic, flesh colored or pink nodule (0.5-4 cm diameter)
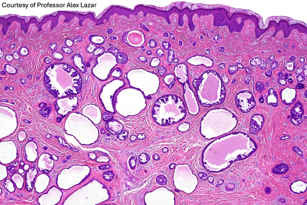
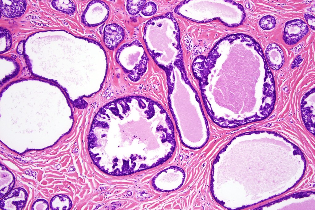
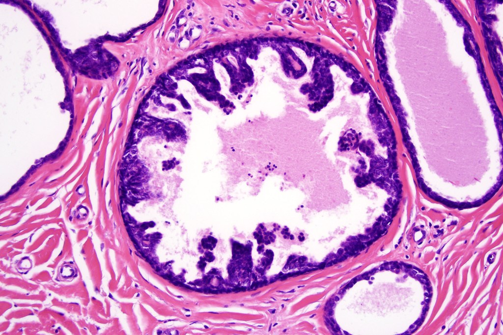
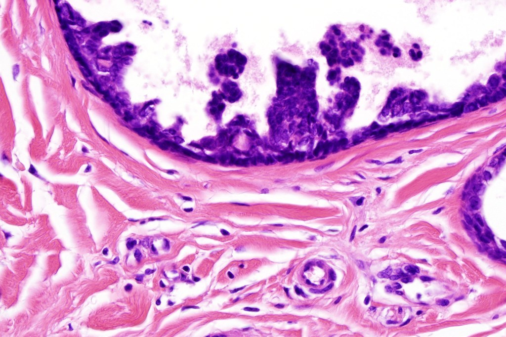
Histological features
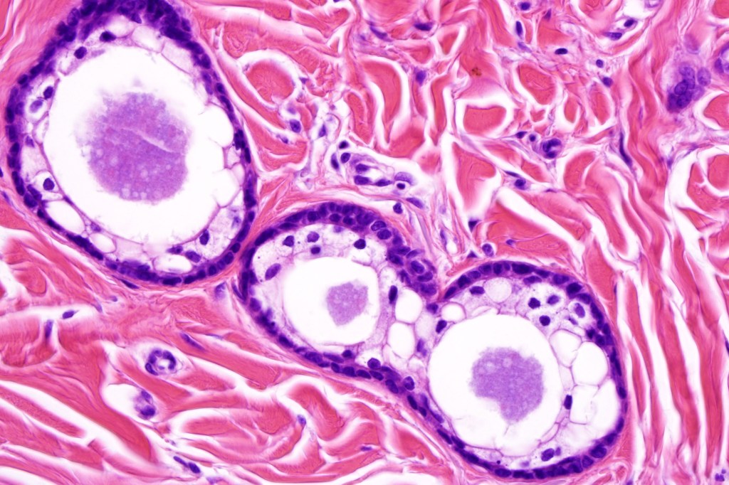
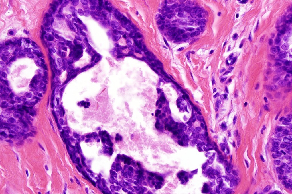
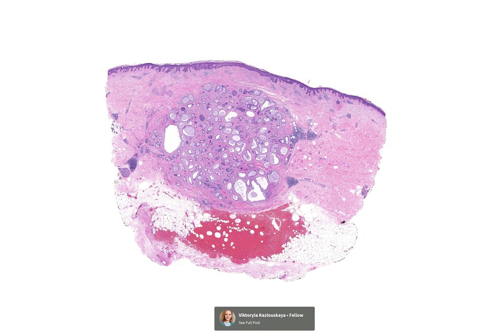
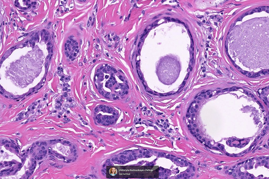
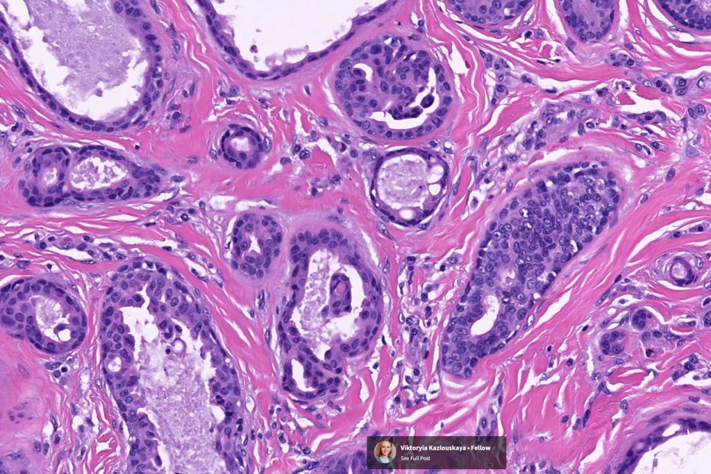
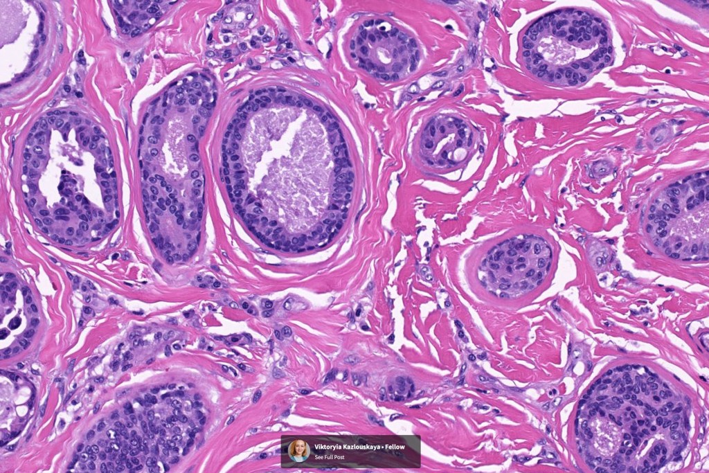
•Circumscribed nodule composed of ducts & cysts embedded in a dense fibrous stroma sometimes associated with lymphoid aggregates/germinal centers
•Ducts lined by double-layered epithelium- small inner, uniform cells with eosinophilic cytoplasm & vesicular/hyperchromatic nuclei with small nucleoli & outer myoepithelial cells
•No pleomorphism and mitoses are sparse of absent
•Pseudo-papillae (devoid of a fibrovascular core) are often conspicuous
Absense of true papillae (i.e with a fibrovascular core)
•Variable cribriform pattern
•Variable clear cell change
•Variable squamous differentiation
•Absence of decapitation secretion
•No necrosis, perineural infiltration or lymphovascular invasion
•CAM5.2, EMA & CEA+ve
•Myoepithelial cells SMA, calponin, p63 & s100+ve



















Leave a comment