Clinical features
•Rare variant of epidermoid cyst associated with HPV infection
•Mostly adults and the face is most often affected followed by trunk & arms
•Should be distinguished from HPV-associated epidermoid cyst which presents on the soles with a predilection for the Japanese
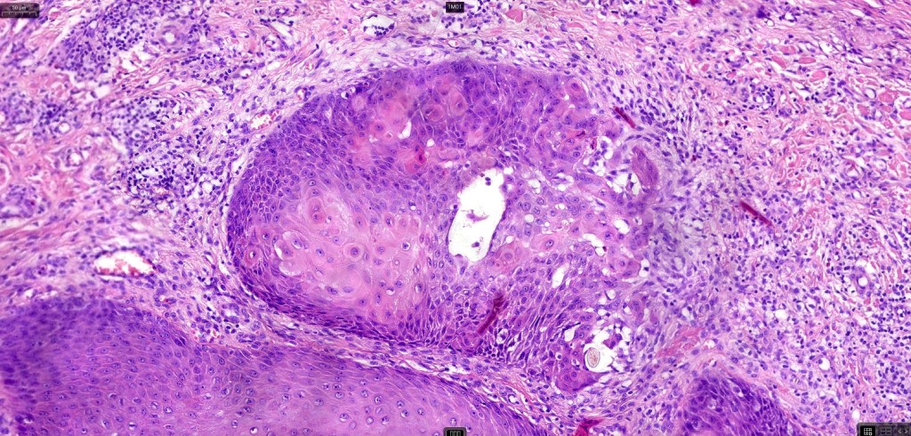
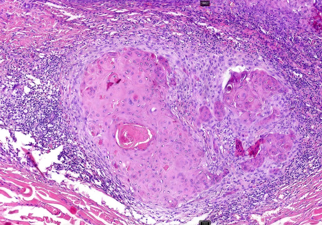
Histological features
•Infundibular cyst lined by acanthotic squamous epithelium showing marked hypergranulosis, hyperkeratosis & parakeratosis
•Conspicuous, enlarged keratohyalin granules
•Koilocytosis
•Squamous eddies are often a prominent feature
•Exceptionally dendritic melanocytes and sebaceous cells have been documented (Hardin et al (2013)
•Exceptionally, may show features of a pilar cyst






Leave a comment