Clinical features
•Common, often multiple, dry, scaly erythematous or yellow brown lesions (up to 1.0 cm diameter) on sun-damaged skin of the middle-aged or elderly Caucasians
•Face, neck, forearms & hands
•M>F
•Fair complexion with a tendency to sunburn
•Associated keratin horn
•Pigmented variant
•Represent a strong indicator of risk of developing SCC (up to 14% within 5 years in patients with 10 or more keratoses)
•Increased risk in organ transplant patients
•Common in xeroderma pigmentosum & albinism patients
.May complicate vitiligo


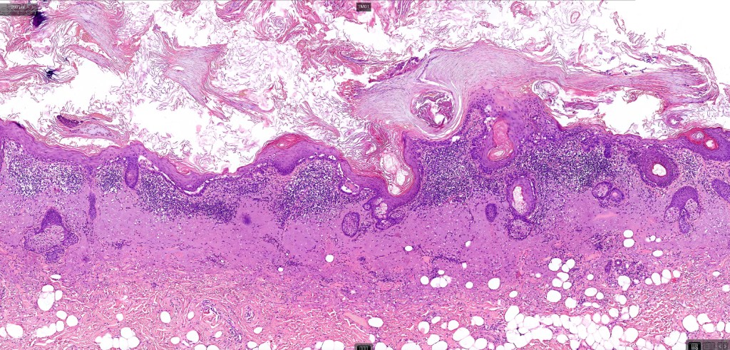
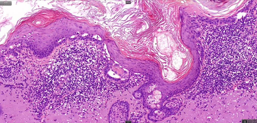
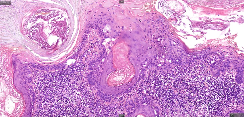
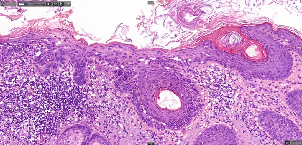
Histological features
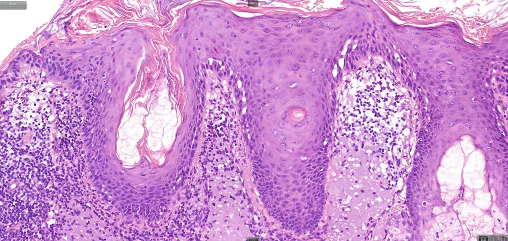
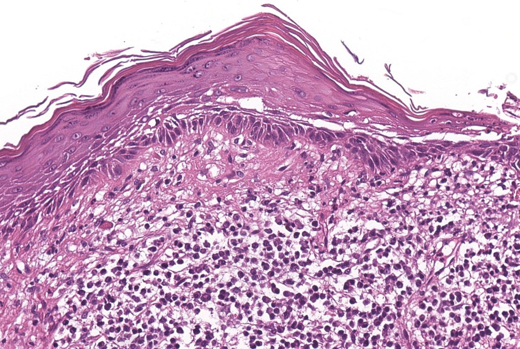
•Although a variety of subtypes are recognized, all are characterized by varying degrees of epidermal dysplasia
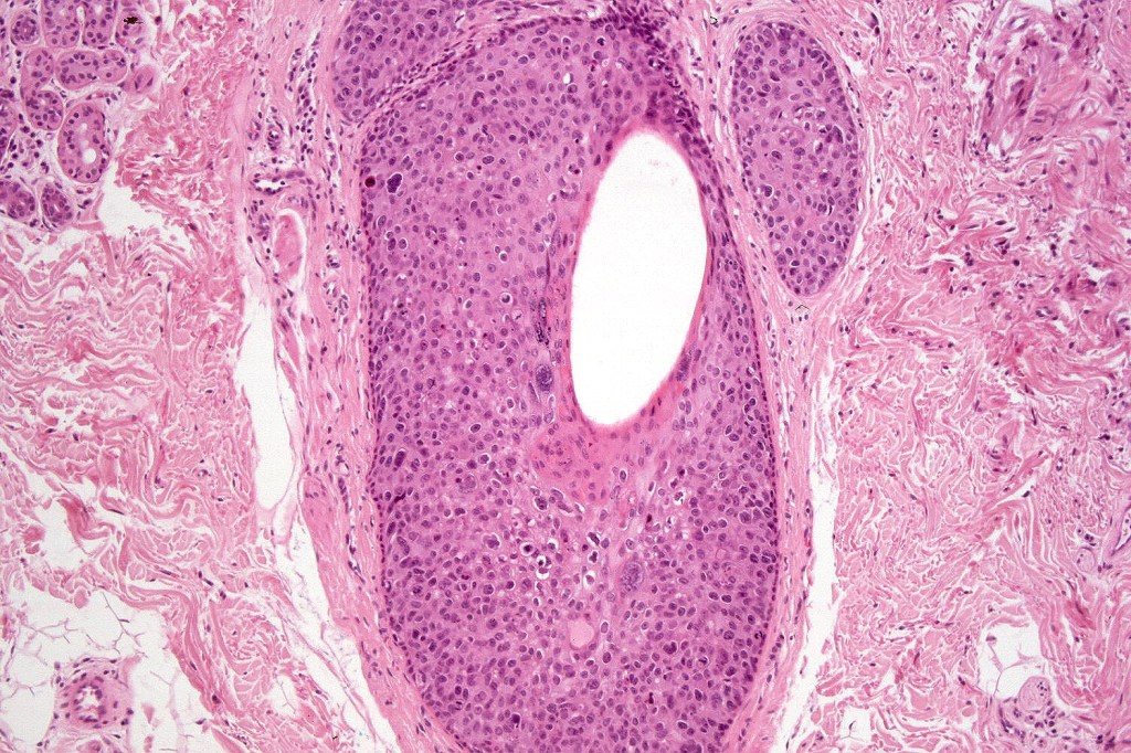
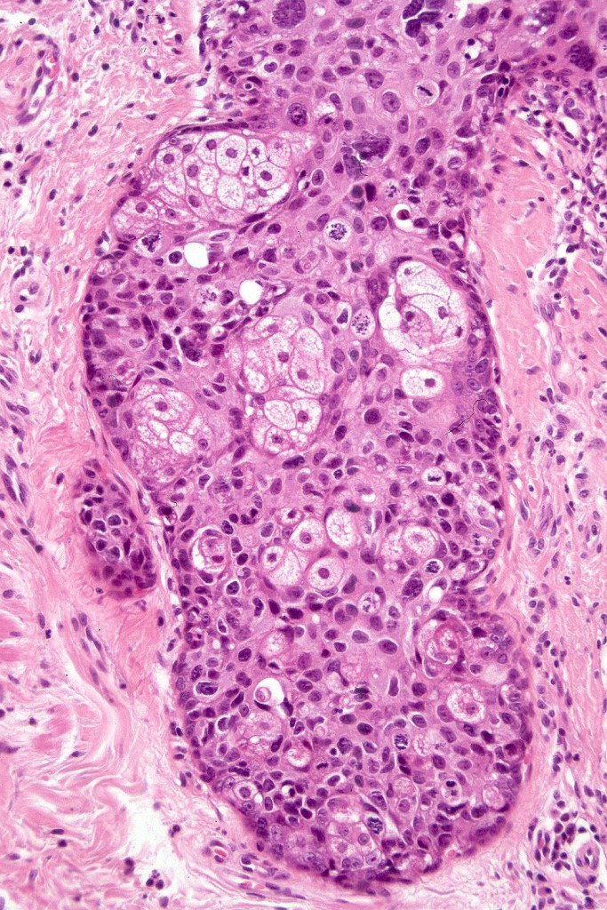
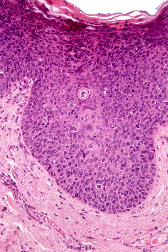
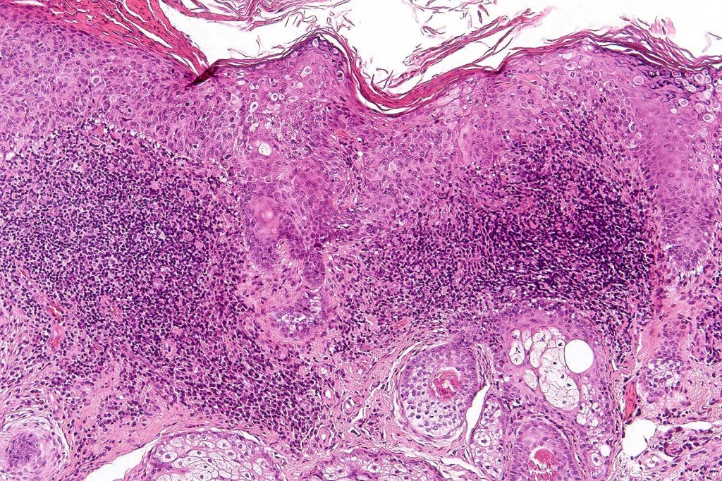
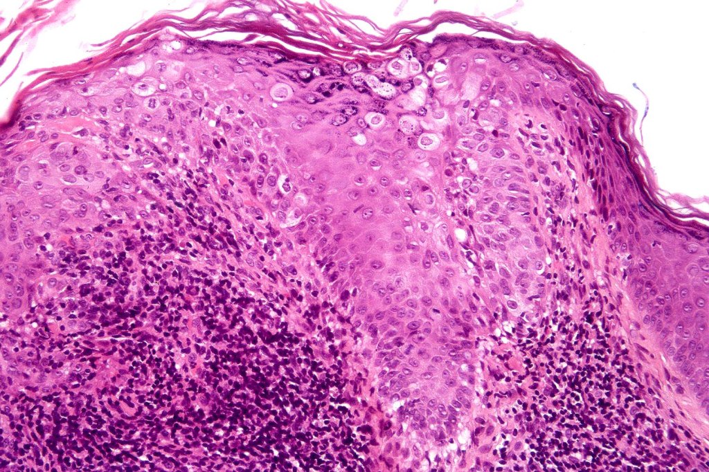
•Hyperkeratotic/hyperplastic actinic keratosis represents the prototype-alternating hyperkeratosis & parakeratosis- the former overlies the follicular & sweat duct ostia (Freudenthal funnel) while the latter overlies the interadnexal dysplastic epithelium & ranges from basal cell layer though to full thickness dysplasia (Bowenoid actinic keratosis); budding from the epidermis is a common finding; dysplastic epithelium commonly forms a mantle around the follicles and superficial sweat ducts
•Variable lack of maturation, nuclear irregularity, pleomorphism & mitotic activity
•Atrophic variant
•Acantholytic variant
•Pigmented variant (this may be confused with lentigo malignant, SOX10 with red chromogen will most readily afford their distinction)
•Clear cell variant
•Pagetoid variant
•Associated epidermolytic hyperkeratosis
•Actinic lichenoid keratosis
•Solar elastosis
•Vascular ectasia
.Superficial dermal lymphohistiocytic infiltrate






























Differential diagnosis
Differentiation from lentigo maligna is mentioned above. Bowenoid actinic keratosis should not be confused with Bowen’s disease. The latter term refers to a clinical entity quite different from actinic keratosis and is discussed in a separate blog.
Leave a comment