Variants of keratoacanthoma
•Solitary
•Multiple
•Giant (>3.0 cm diameter)
•Agglomerate keratoacanthoma (aggregation of multiple lesions)
•Keratoacanthoma centrifugum marginatum- large expansile lesion many cm in diameter
•Subungual keratoacanthoma
. Oral keratoacanthoma
•Association with Muir-Torre syndrome
•Arising in a nevus sebaceus
•Fergusson-Smith syndrome; familial, autosomal dominant associated with a male predominance and development of innumerable lesions
•Grzybowski syndrome characterized by development of very large numbers of small lesions
Solitary acanthoma
Clinical features
•A solitary lesion is most often encountered
• White-skinned races, arises on the sun-damaged skin of the face, forehead, forearms & dorsa of hands; much less often, oral cavity, external genitalia & subungual region
•Middle-aged & elderly,
•M>F
•1-2 cm erythematous nodule with a central crater
•Lasts 4-6 months before spontaneous regression
•With regression leaves a hypopigmented scar
•The vast majority develop as a results of a UVB-related pathogenesis
•Rare association with coal tar products
•Increased incidence in patients with xeroderma pigmentosa, & immunosuppression following renal transplantation
. Increased incidence with PUVA theray & treatment with BRAF & hedehog pathway inhibitors
•Some tumors are thought to be HPV-related particularly in the immunosuppressed
.Rare association with scarring dermatoses

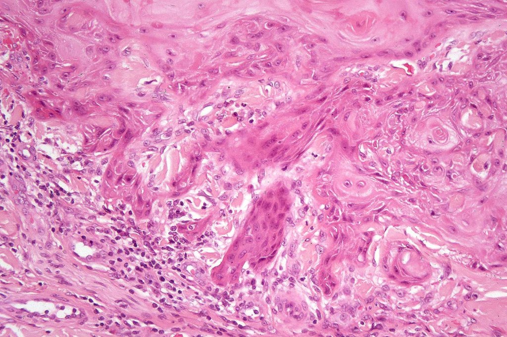
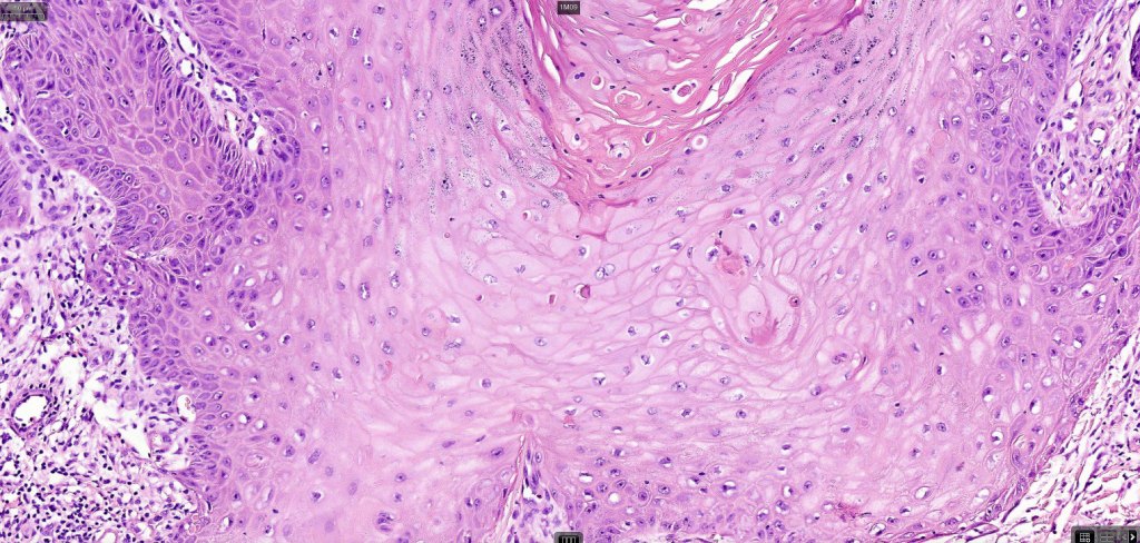
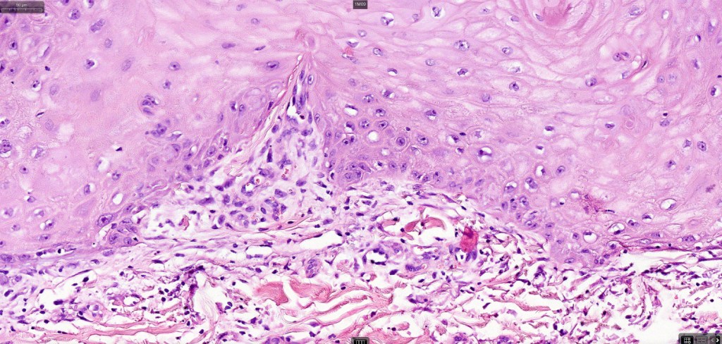
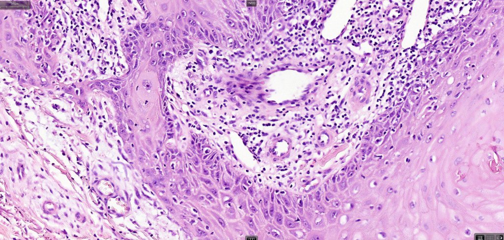
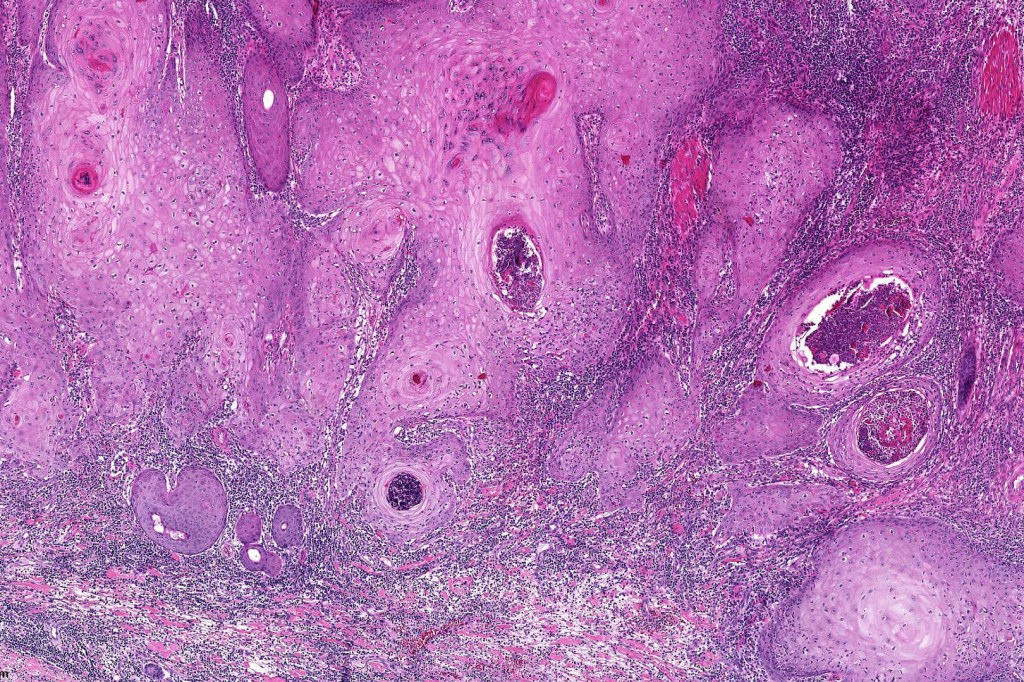
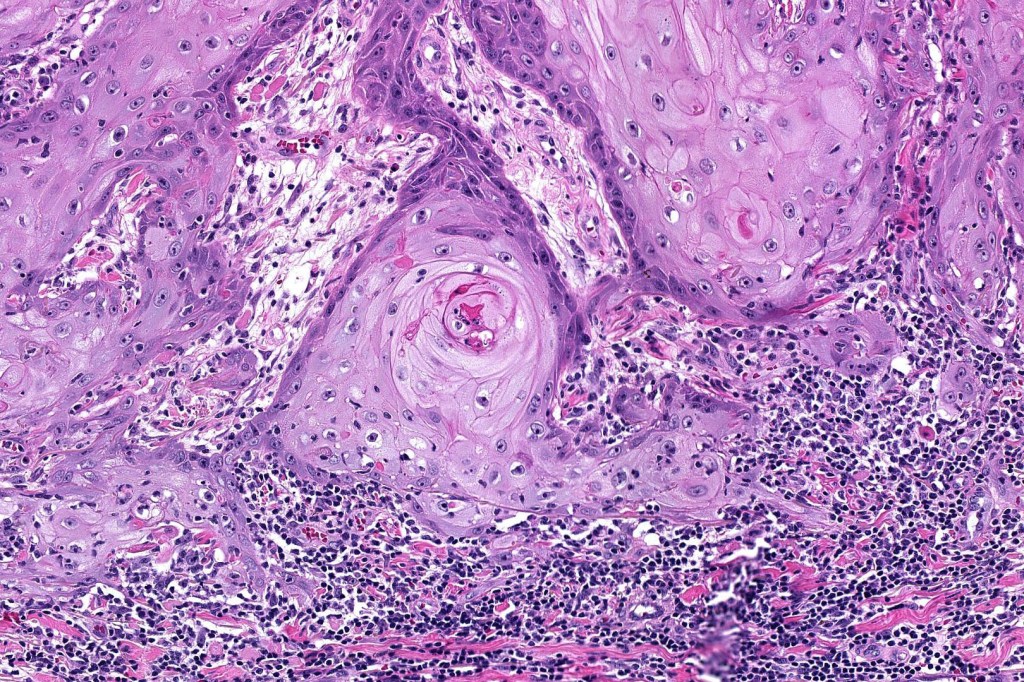
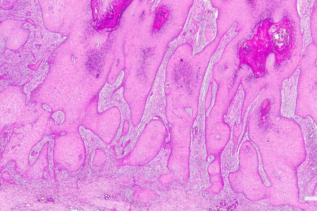
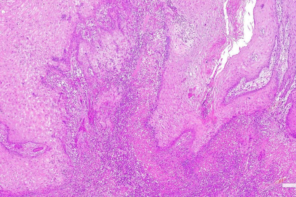
Histological features
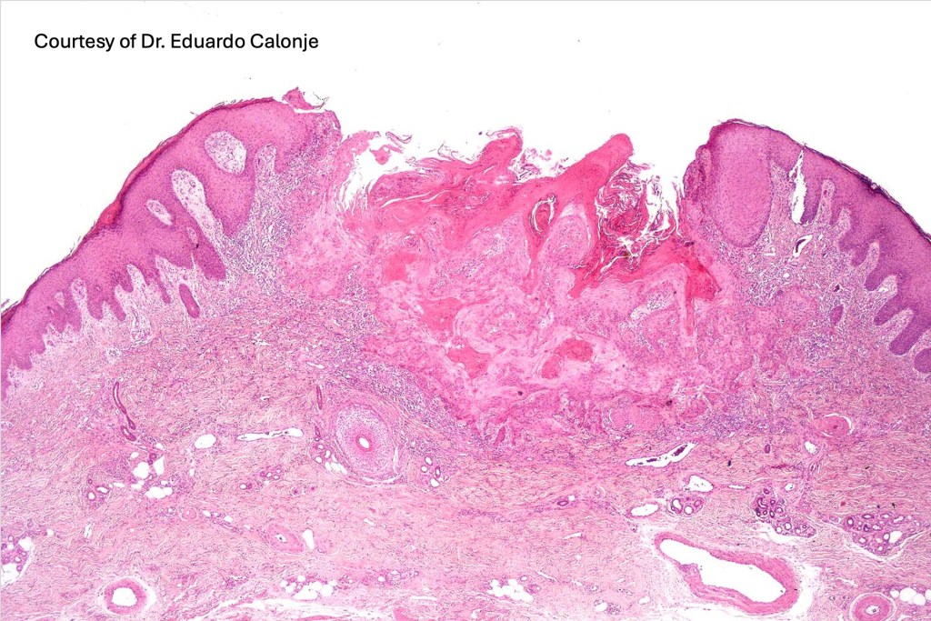
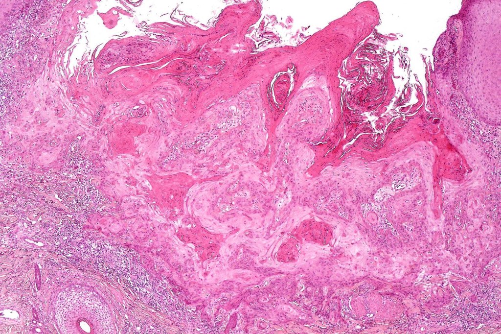
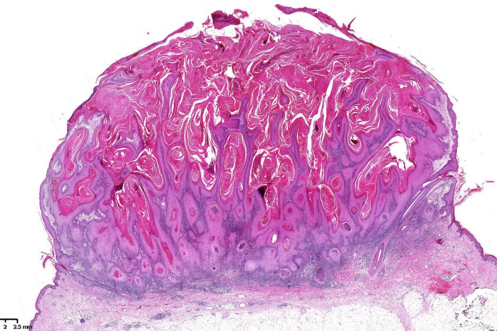
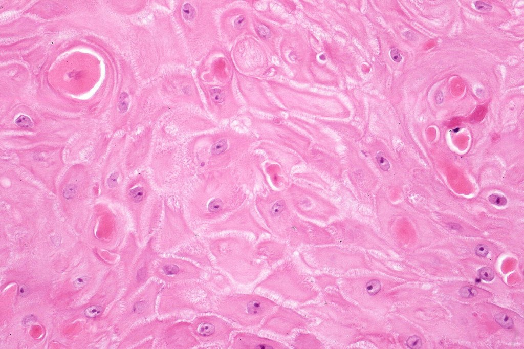
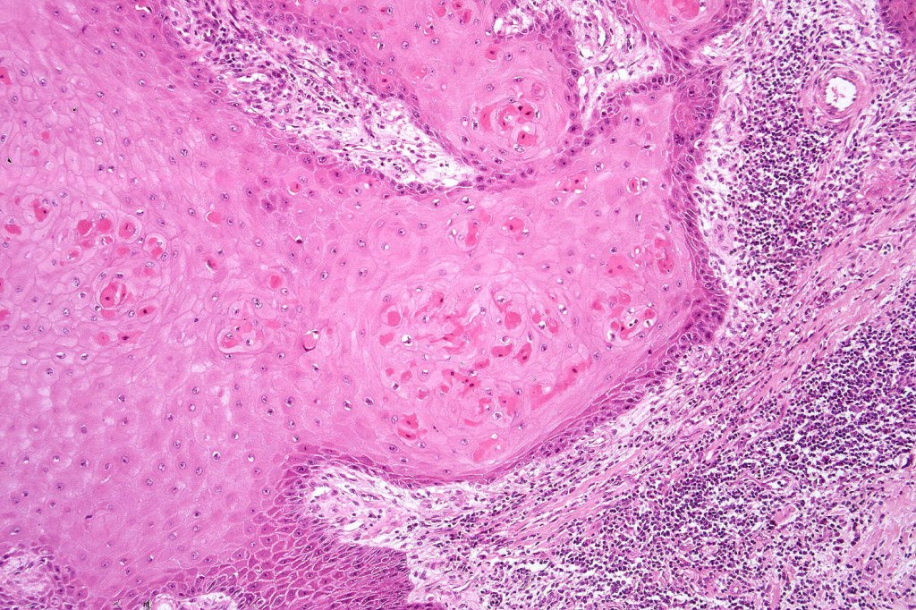
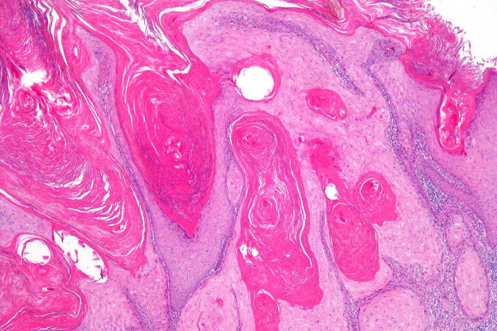
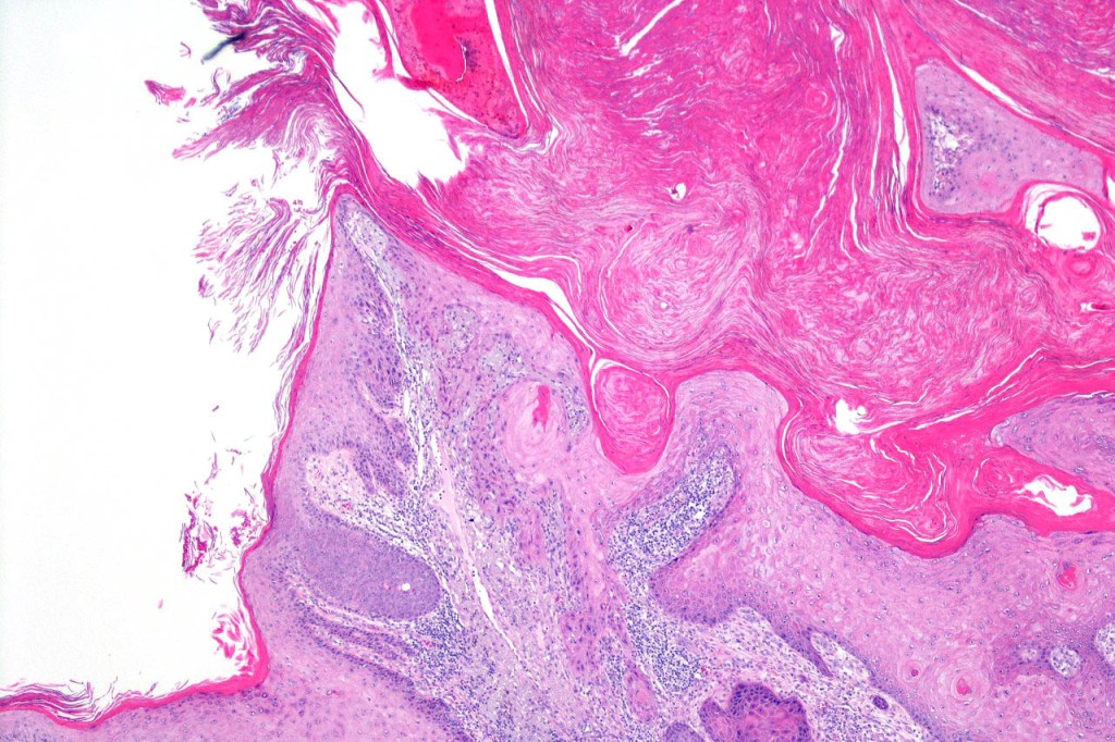
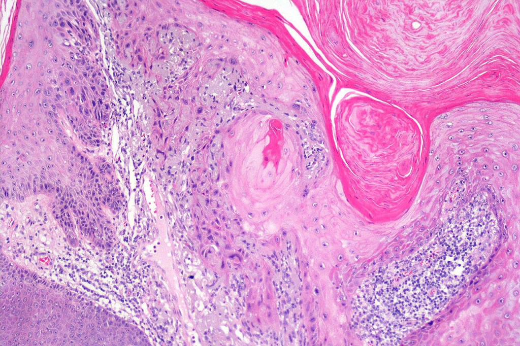
•Keratoacathoma (nowdays regarded as a variant of well differentiated squamous carcinoma) is characterized by a crateriform squamous epithelial lesion (dilated follicular infundibulum) with central keratin plug and adjacent collarette extending to the mid-dermis
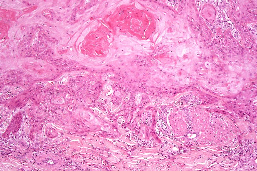
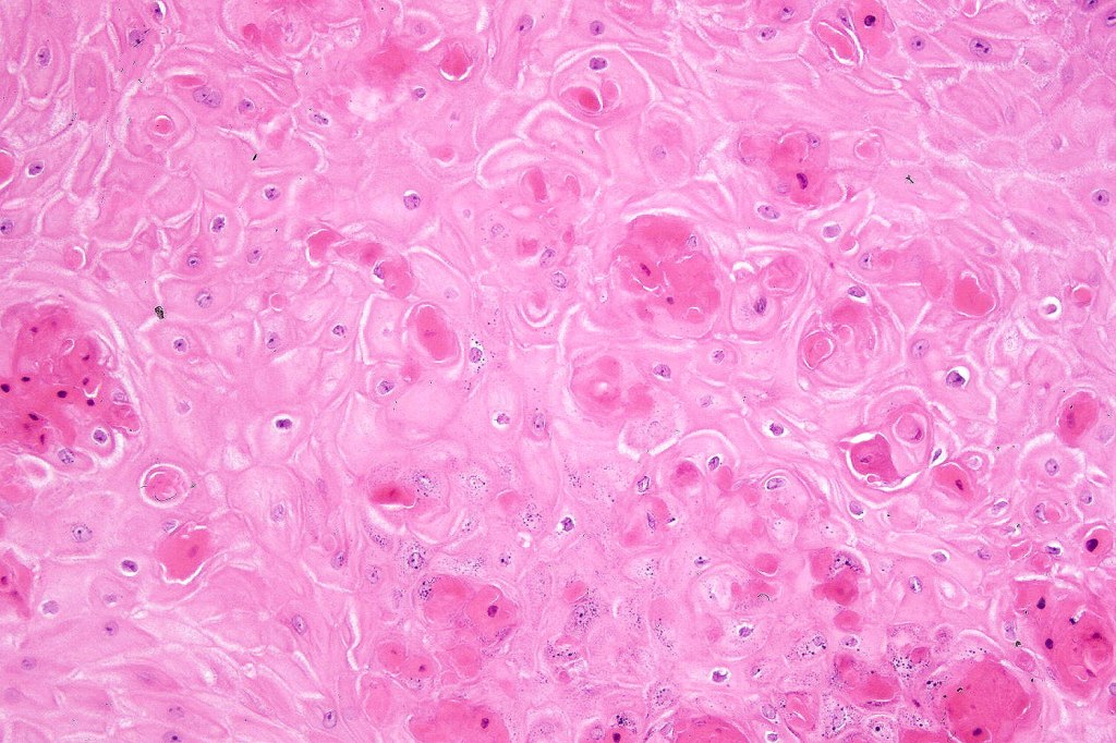
•Well differentiated squamous epithelium often with a characteristic ground-glass appearance
•Only mild pleomorphism & basally located mitoses
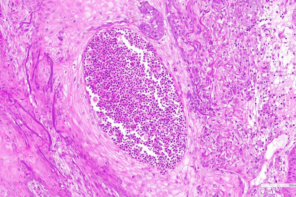
•Neutrophil-rich microabscesses & necrosis
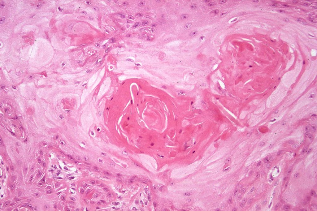
•Entrapped elastic fibers undergoing transepidermal elimination
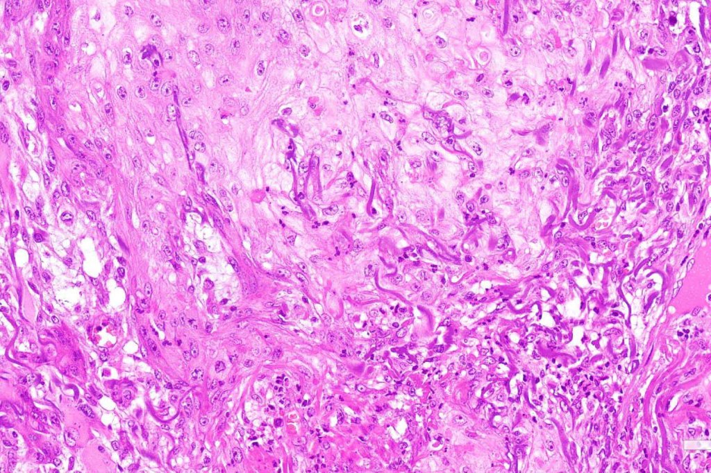
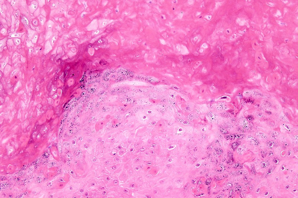
•With evolution, the epithelium flattens with underlying fibrosis and chronic inflammation including a foreign body giant cell reaction to keratin
•Exceptionally adjacent sweat glands are hyperplastic and lined by atypical epithelium
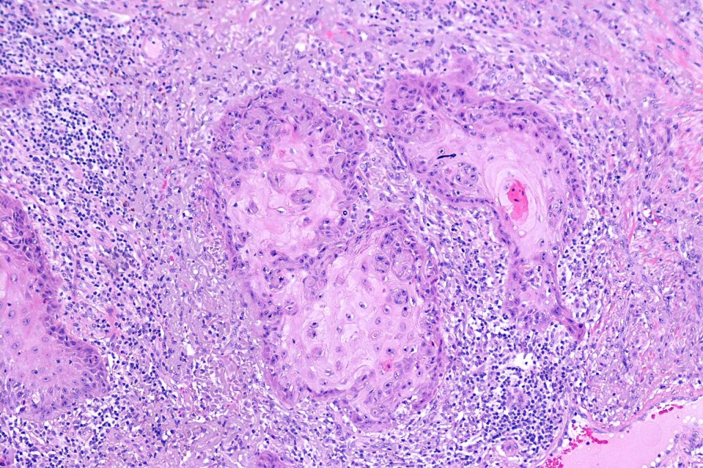
. Exceptionally, perineural infiltration and vascular involvement has been documented. If present, this should be viewed with concern as risk of recurrence or metastatic spread is significant



























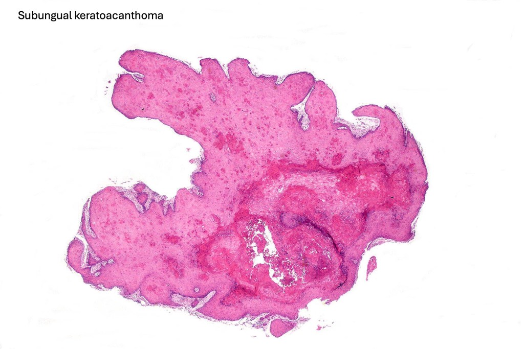
Subungual keratoacanthoma
•Derives from nail matrix
•Predilection for thumb & forefinger
•Morphologically like cutaneous lesions with ground glass cytoplasm and very conspicuous dyskeratosis
•Basal mitoses & mild cytological atypia






Differential diagnosis
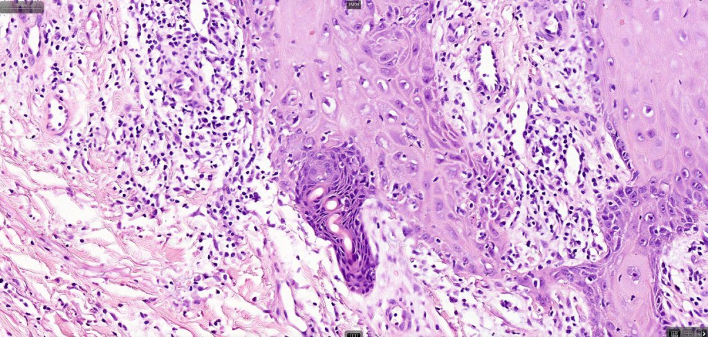
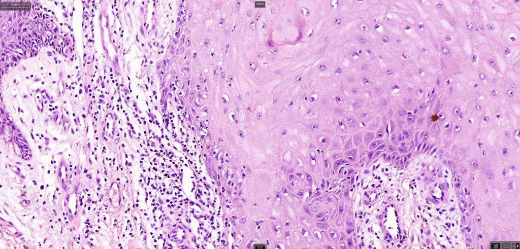
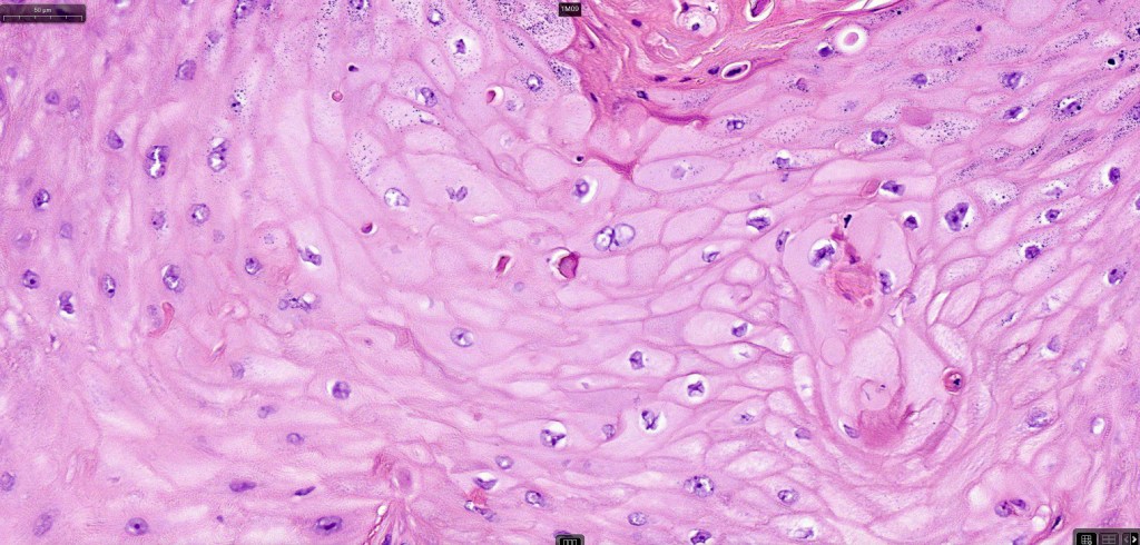
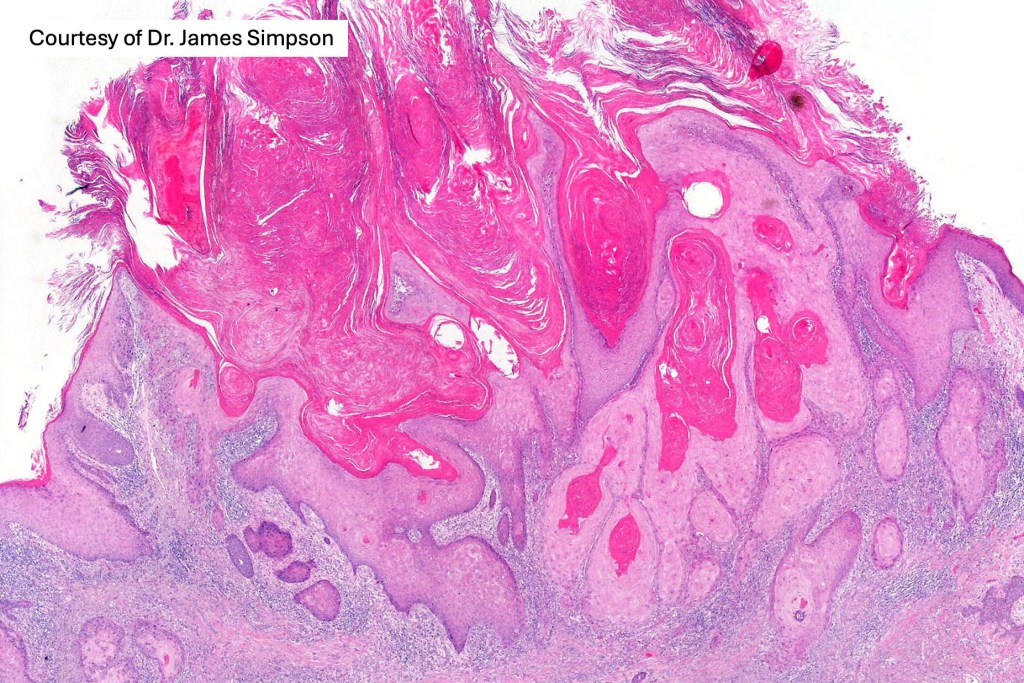
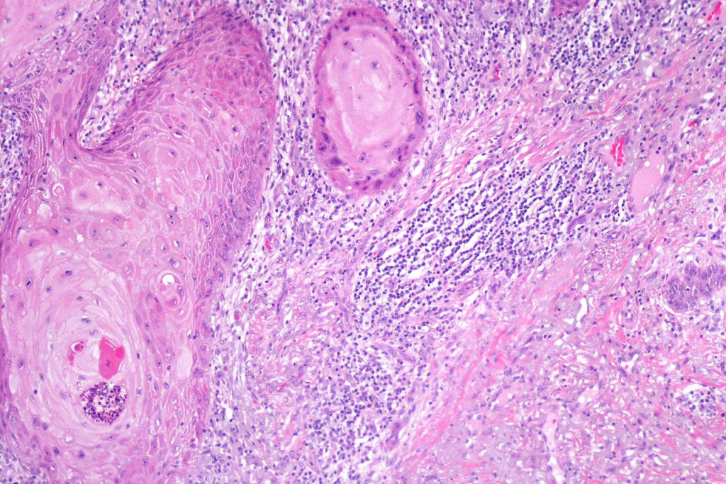
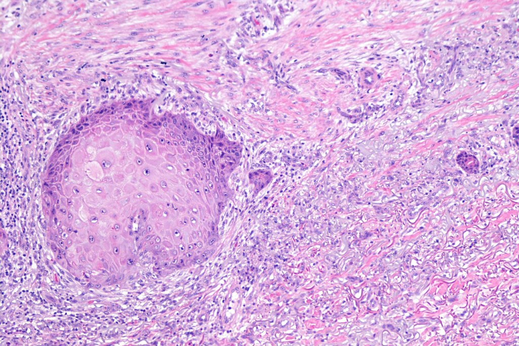
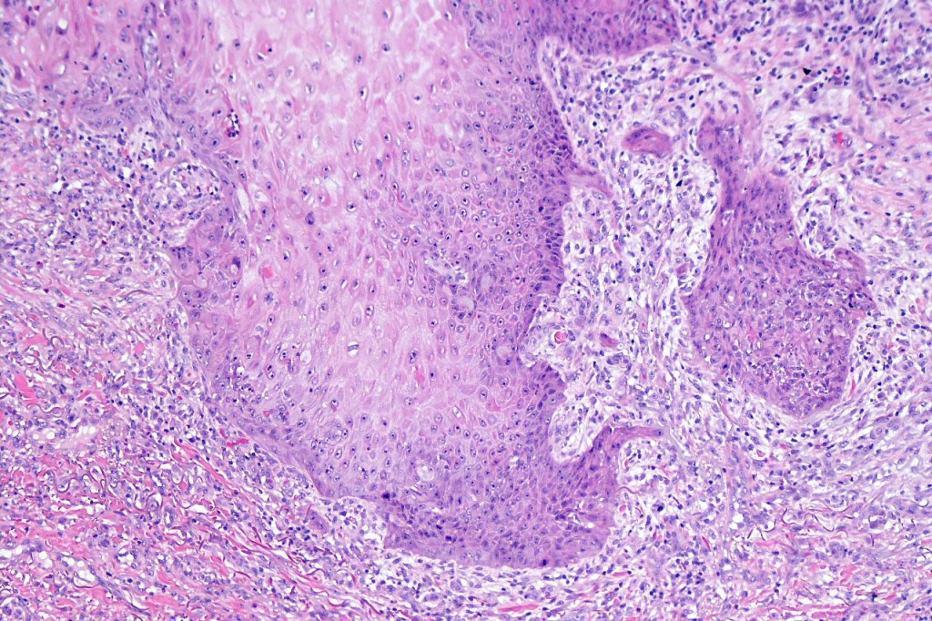
Below is a fascinating case shared on McKee Derm by Dr. James Simpson. There is an obvious keratoacanthoma but at the edge of the lesion there is marked atypia with nuclear enlargement and pleomorphism. This is also evident in the adjacent epidermis and in the deeper nests.









Leave a comment