Lichenoid keratosis (lichen planus, lichen planus-like keratosis): the older literature sometimes uses the term “solitary lichen planus”, this is confusing as lichenoid keratosis is quite different from lichen planus.
Clinical features
•Fairly common, erythematous or brown, scaly macule or plaque with a predilection for the chest & upper extremities
•Sometimes pruritic
•Generally solitary
•F>M
•Caucasians++
•Wide age range 30’s to elderly
•Very occasionally, bullous lesion
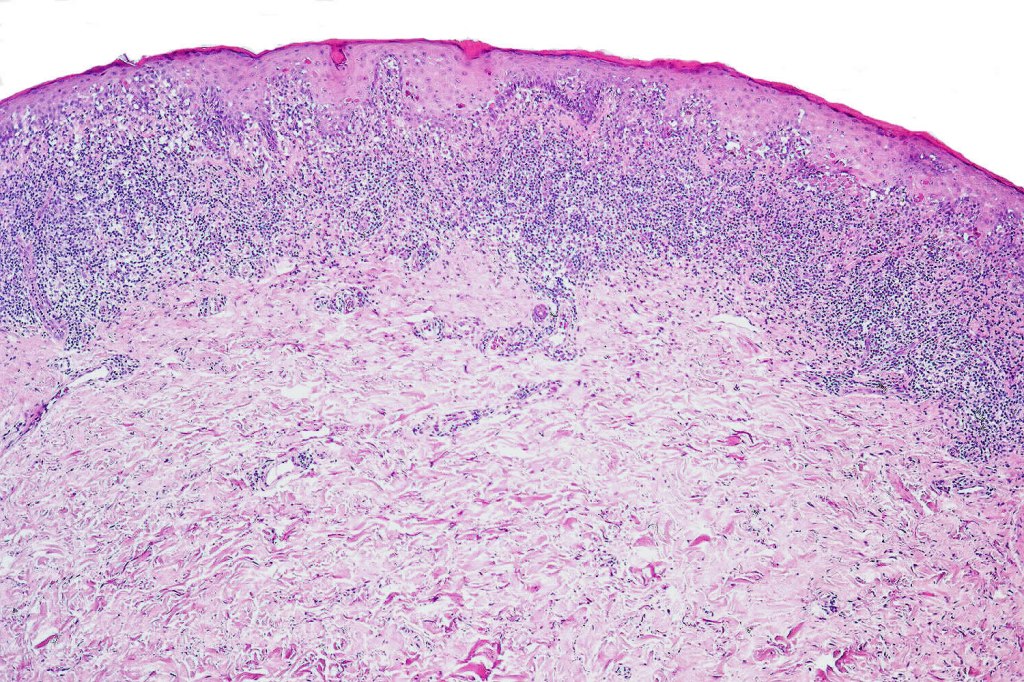
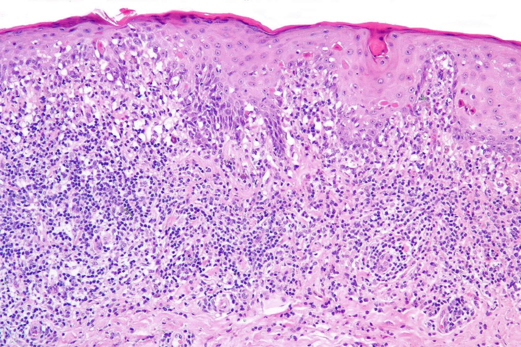
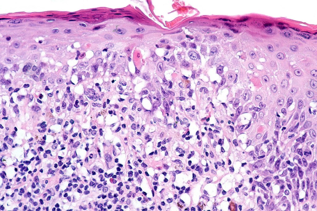
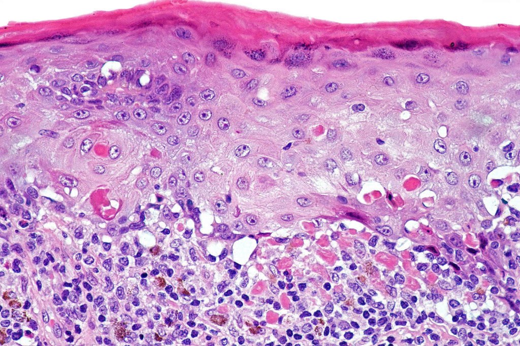
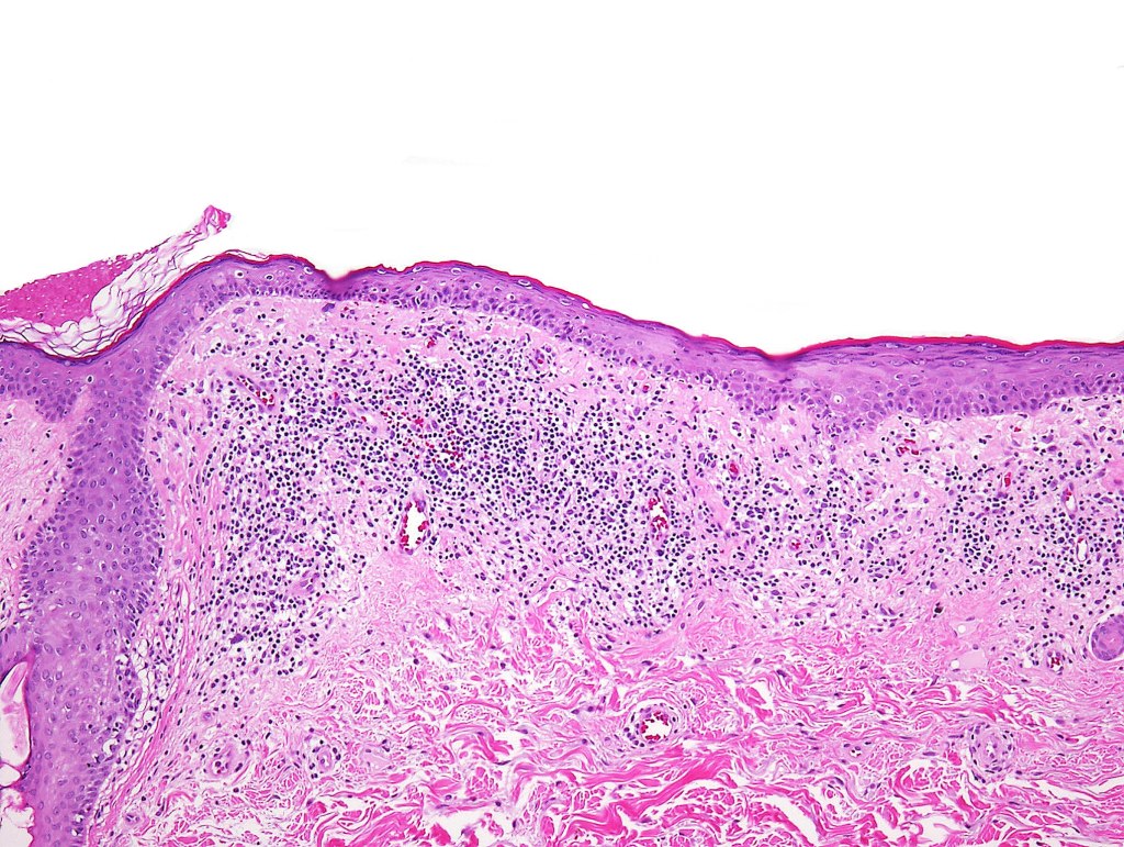
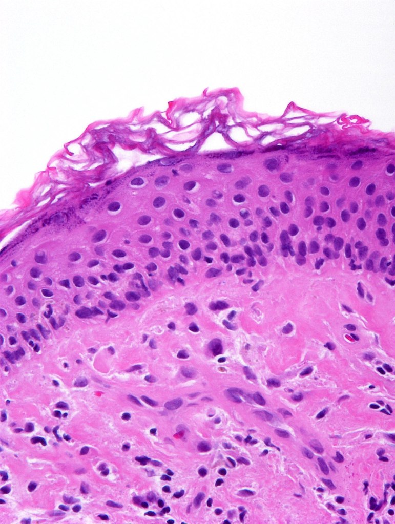
Histological features
•Etiology unknown
•May sometimes develop adjacent to a regressing actinic lentigo or seborrheic keratosis
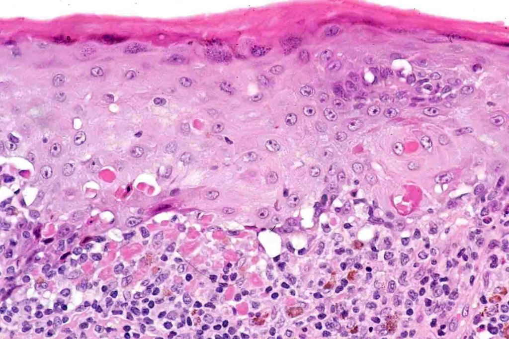
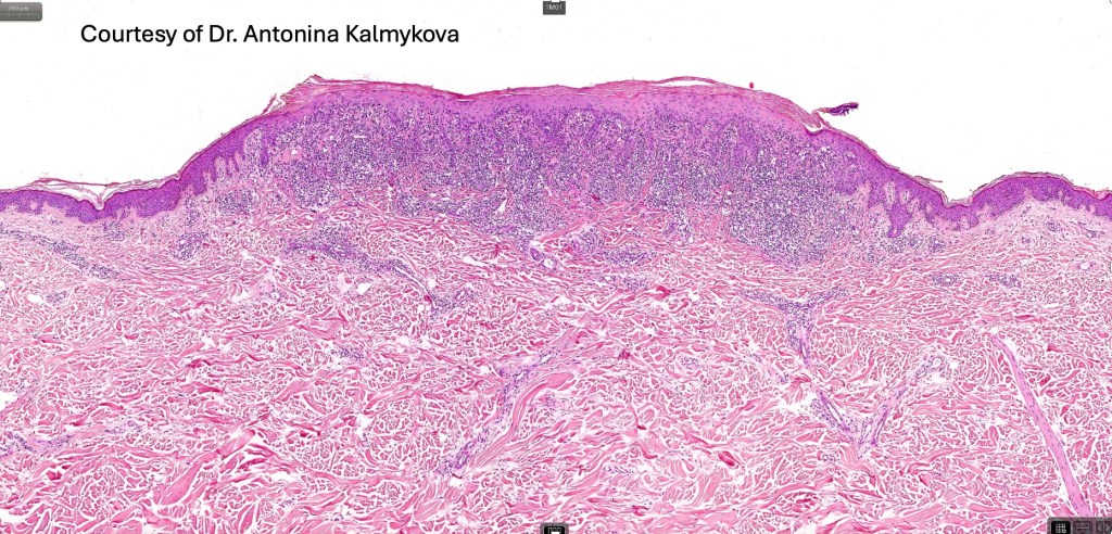
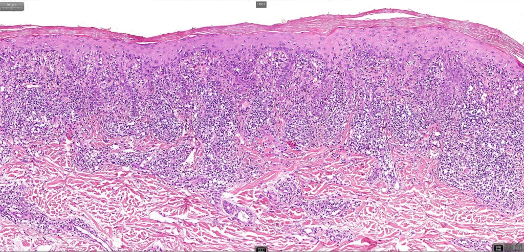
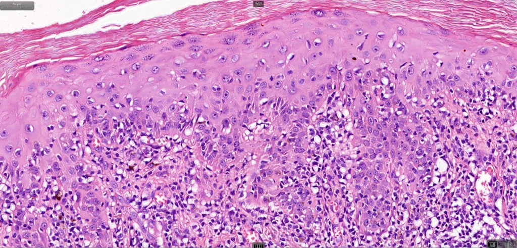
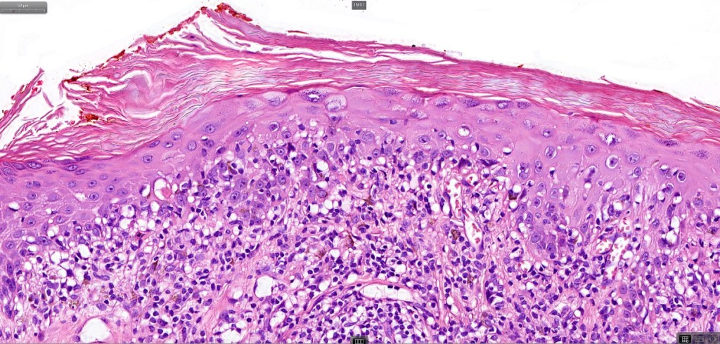
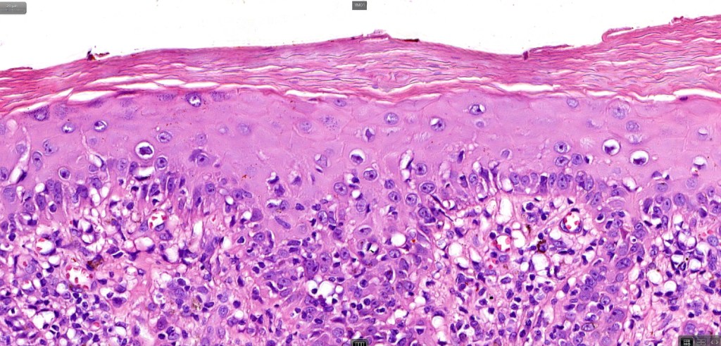
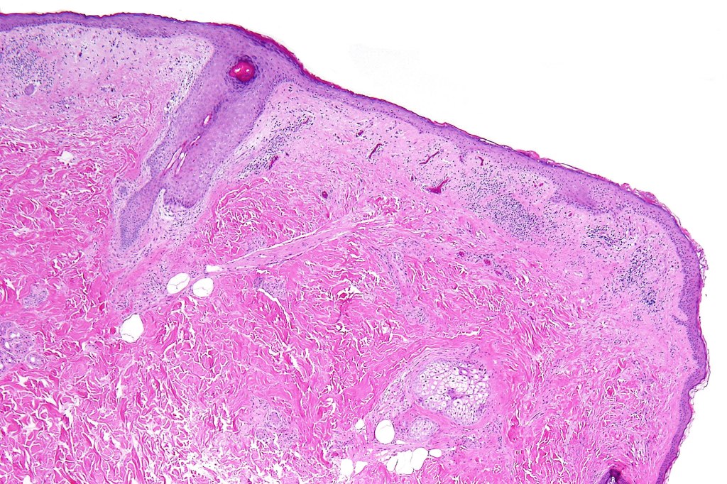
•Hyperkeratosis +/- parakeratosis
•Wedge-shaped hypergranulosis
•Generally irregular (sometimes saw-tooth) acanthosis but may show broad acanthosis
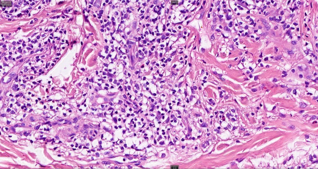
•Interface change
•Conspicuous cytoid bodies
•Pigment incontinence
•Band-like or perivascular infiltrate of lymphocytes, histiocytes with occasional eosinophils & plasma cells
. Late lesions are charcterized by epidermal atrophy, papillary dermal fibrosis, pigment incontinence & a perivascular or interstitial lymphocytic infiltrate
•CD8+ & CD20+ lymphocytes
•CLA -ve



















Differential diagnosis
Lichenoid keratosis can be distinguished by the clinical history from lichen planus & lichenoid drug reaction. If no clinical information is given, best reported as a lichenoid lesion consistent with lichenoid keratosis, lichen planus & lichenoid drug reaction.
Leave a comment