Clinical features
•Uncommon “tumor” which presents as an erythematous or brown dome-shaped papule/plaque 1-4 cm diameter with puncta that frequently bleed with mild trauma
•Peripheral scale
•Predilection for the lower leg but has been described at a wide variety of sites
•Middle-aged or elderly
•M=F
•Very rarely, multiple lesions
•Polypoid variant
•Giant variant
•Pigmented variant
•Eruptive (Blaschkoid) variant

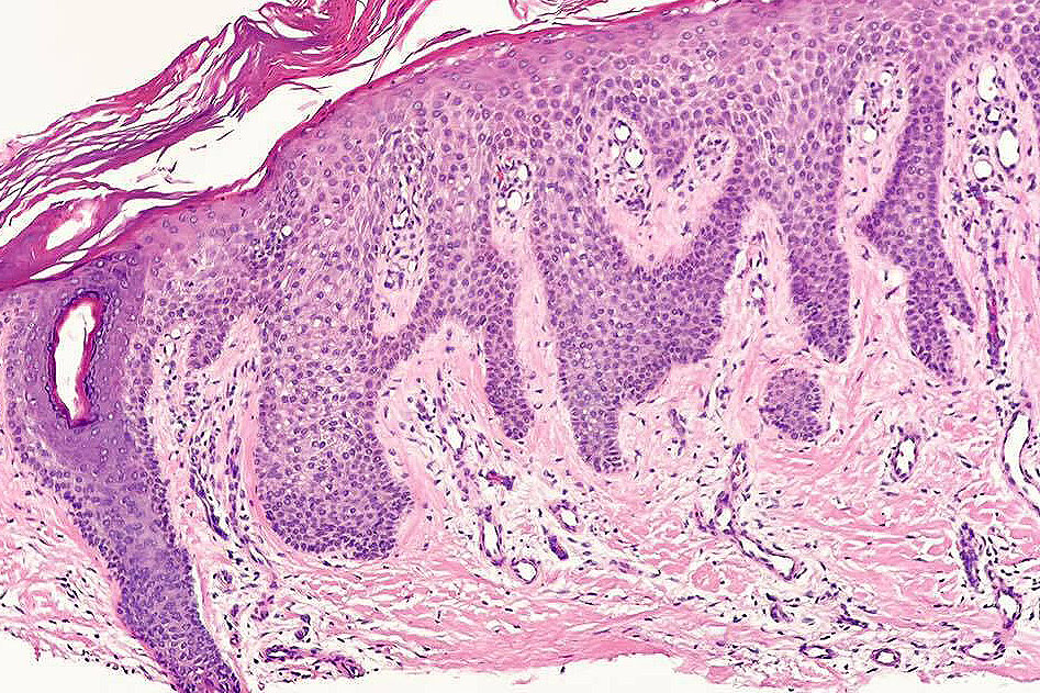
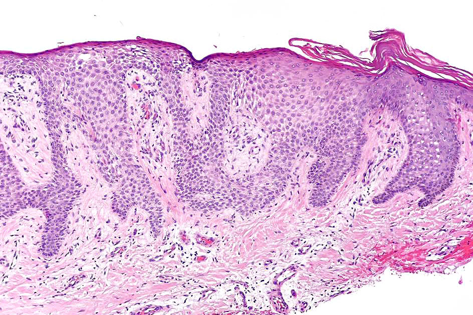
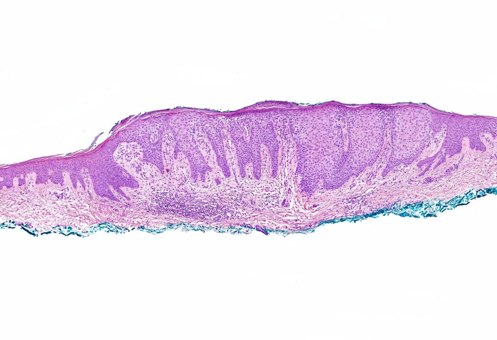
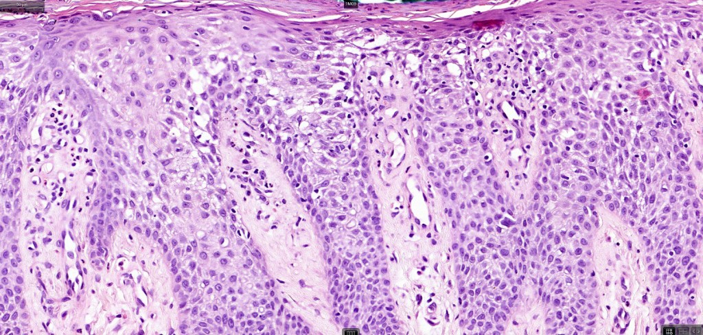
Histological features
•Most probably a localized inflammatory lesion rather than a true neoplasm
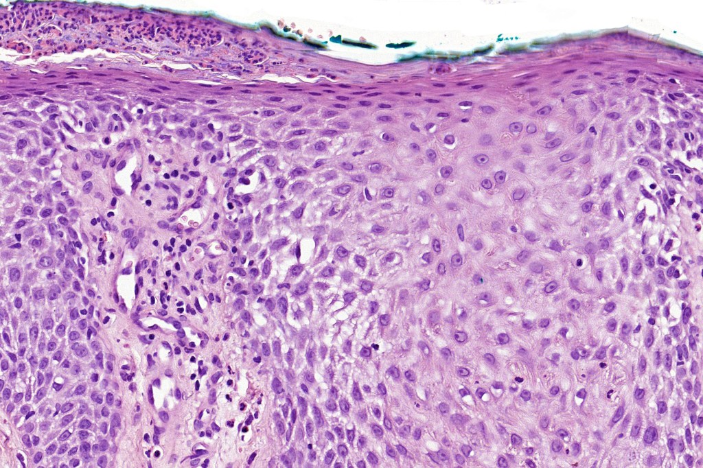
•Parakeratotic scale with neutrophils
•Sharply demarcated acanthosis/psoriasiform hyperplasia; bland epithelium
•Fusion of rete ridges
•Cytoplasmic pallor or clear cell change; spongiosis sometimes present
•Characteristic intraepidermal adnexal epithelial sparing
•Dendritic melanocytes sometimes present
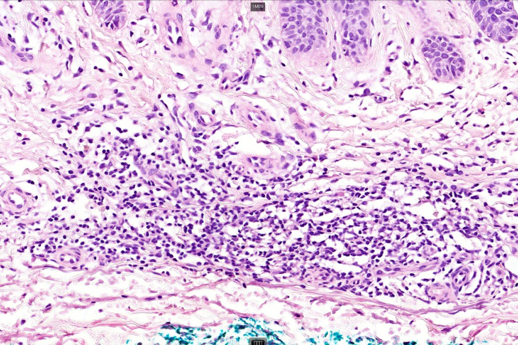
•Vascular dilatation in the dermal papillae and a perivascular sometimes neutrophil-rich infiltrate
•EMA+ve, CEA –ve
•PAS +ve, DPAS -ve













If you like this blog or any of the others, please consider subscribing. It costs you nothing but helps me enormously!!
Leave a comment