Whether this lesions is a distinct entity sui generis is uncertain. Some authors regard it as a variant of actinic lentigo. I do not have rigid views on the matter although in my experience large cell acanthoma does not show the lentiginous epidermal hyperplsia seen in actinic lentigo.
Clinical features
•Presents as a circumscribed, often hyperpigmented, scaly macule on sun-damaged skin
•Up to 1.0 cm or more in diameter on the face; the extremities & trunk may also be affected
•Conjunctival lesions have been described
•Usually, single lesions but can be multiple or even eruptive
•Elderly
.M=F
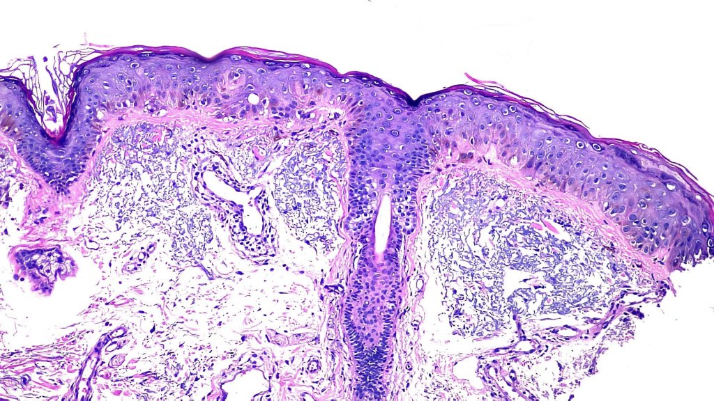
Histological features
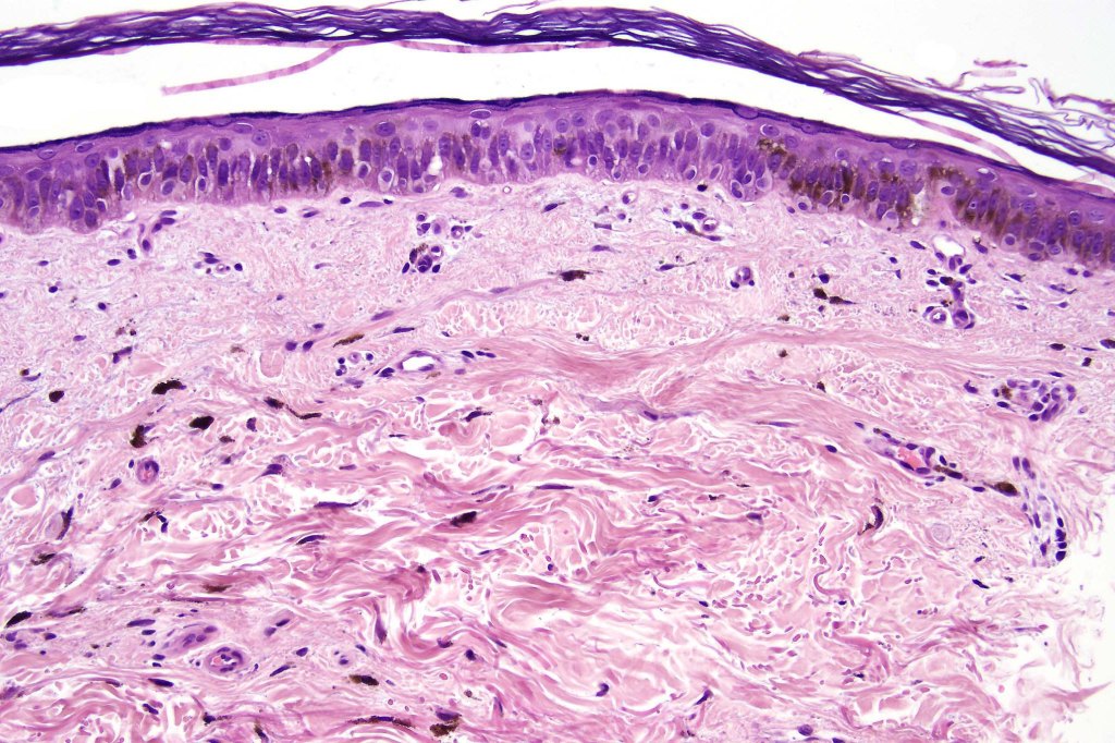
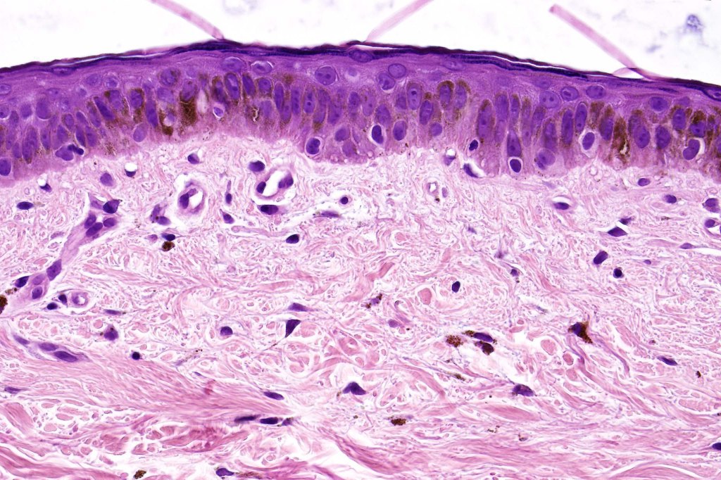
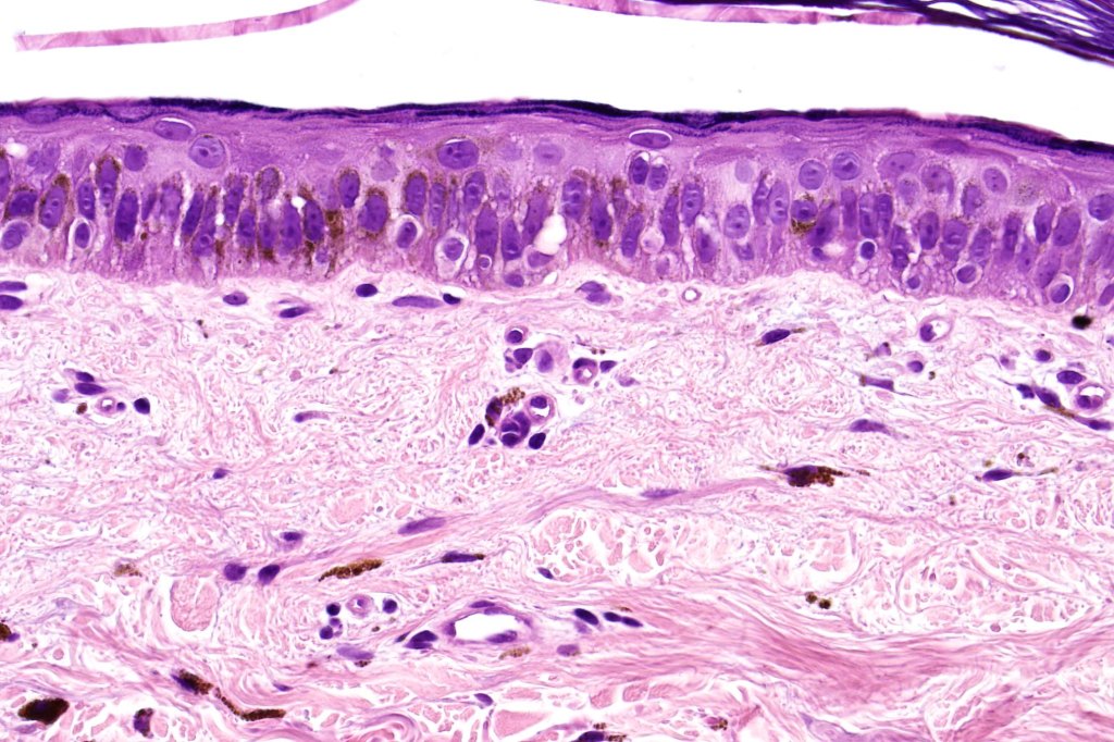
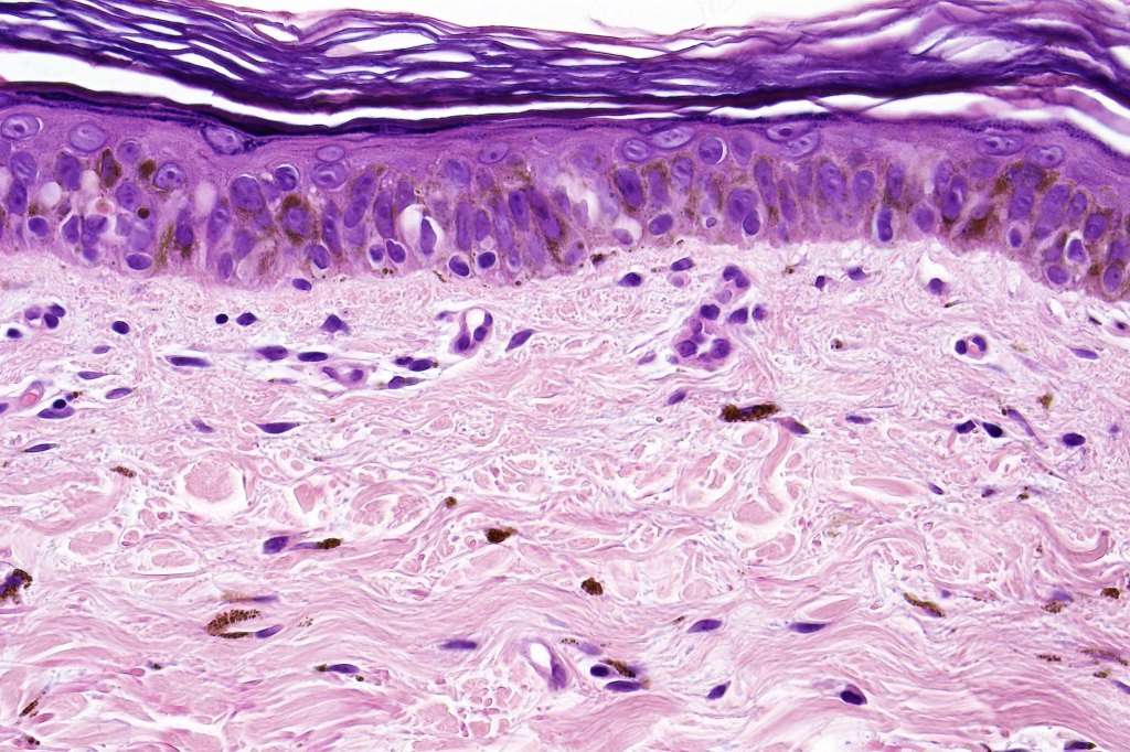
•The epidermis is of normal thickness or less often acanthotic and lacks the lentiginous hyperplasia seen in actinic lentigo
•Hyperkeratosis but no parakeratosis
•Often pigmented but may be achromic
•Keratinocytes are enlarged & contain uniform, often vertically orientated, oval nuclei up to twice the size of uninvolved ones
•Absence of cytological atypia or mitoses above the basal layer
•Melanocytes may be present in increased numbers

















Differential diagnosis
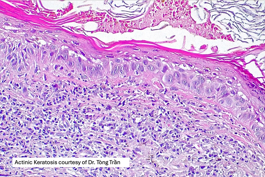
A high power view of an atrophic, actinitc keratosis posted on McKee Derm by Dr. TòngTrần is shown below for comparison. There is very obvious nuclear pleomorphism & suprabasilar involvement..

Leave a comment