Clinical features
•Middle aged to elderly
•1.5F:1M
•Slowly growing nodule
•Pain, hyperesthesia & bleeding sometimes evident
•Scalp, chest wall & abdomen
•Up to 50% recurrence, very rare metastases (lymph nodes, bone, lungs)
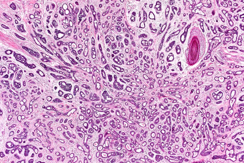
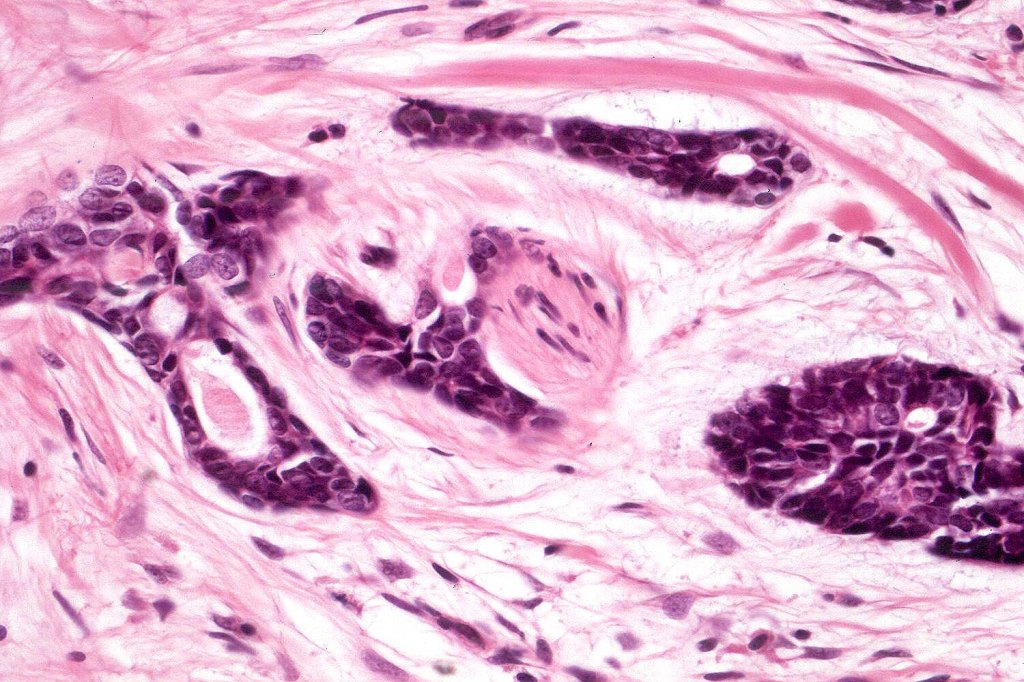
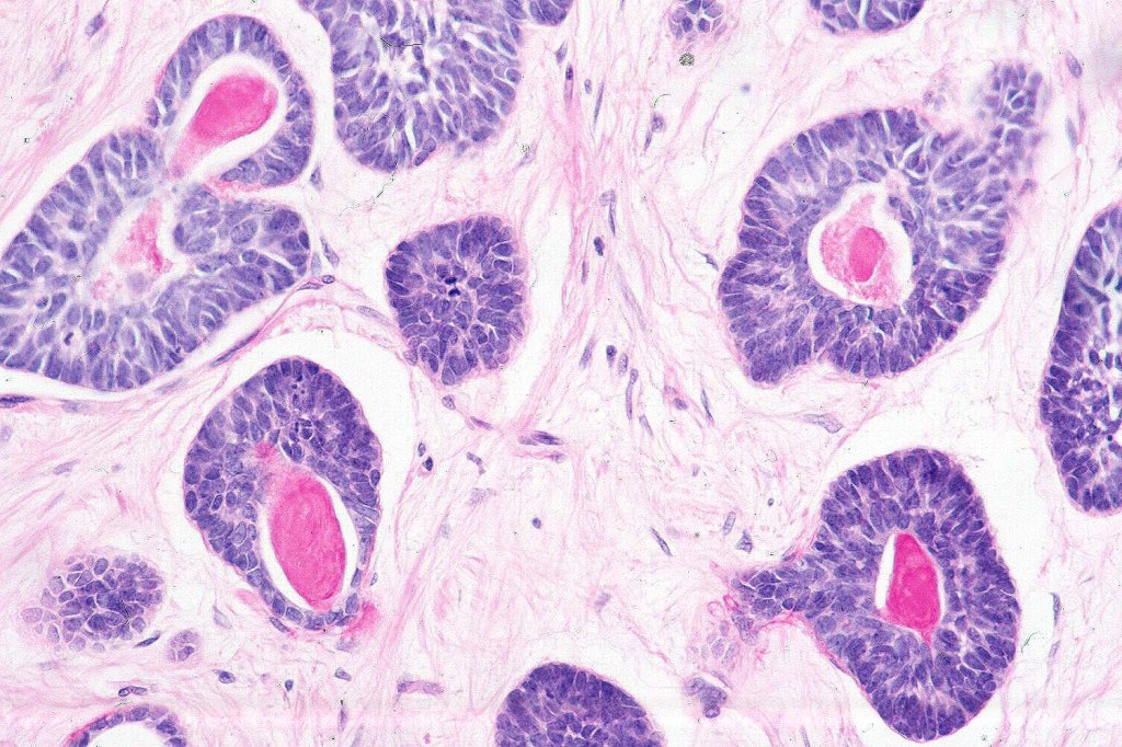
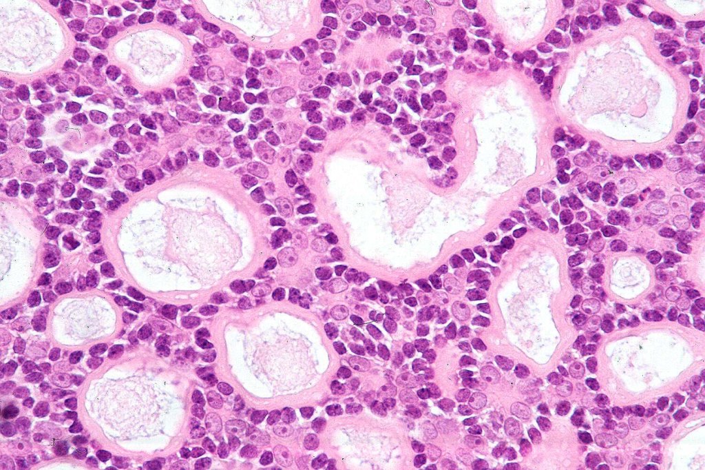
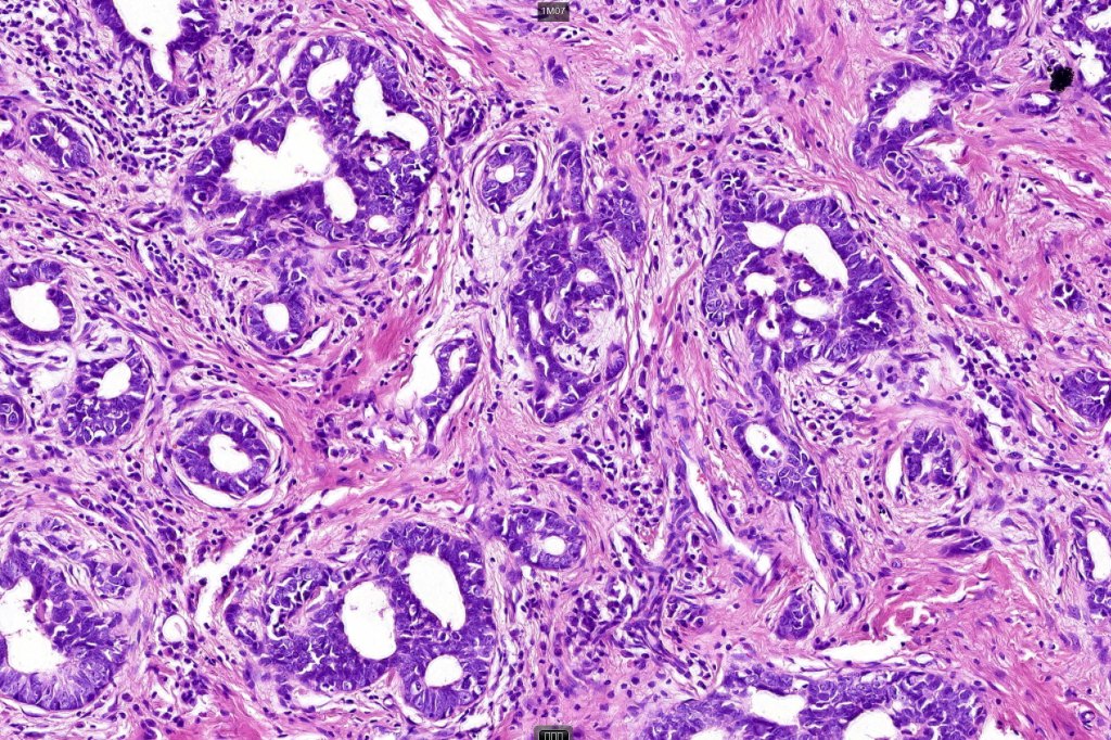
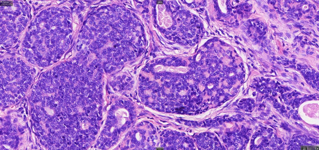
Histological features
•Biphasic tumor (myoepithelial & epithelial)
•Cribriform nests, tubules , cords & solid nodules
•Presence of myoepithelial cells
•Small ducts and pseudocysts
•DPAS/Alcian blue +ve*
•Perineural infiltration*
•Rare association with Merkel cell carcinoma



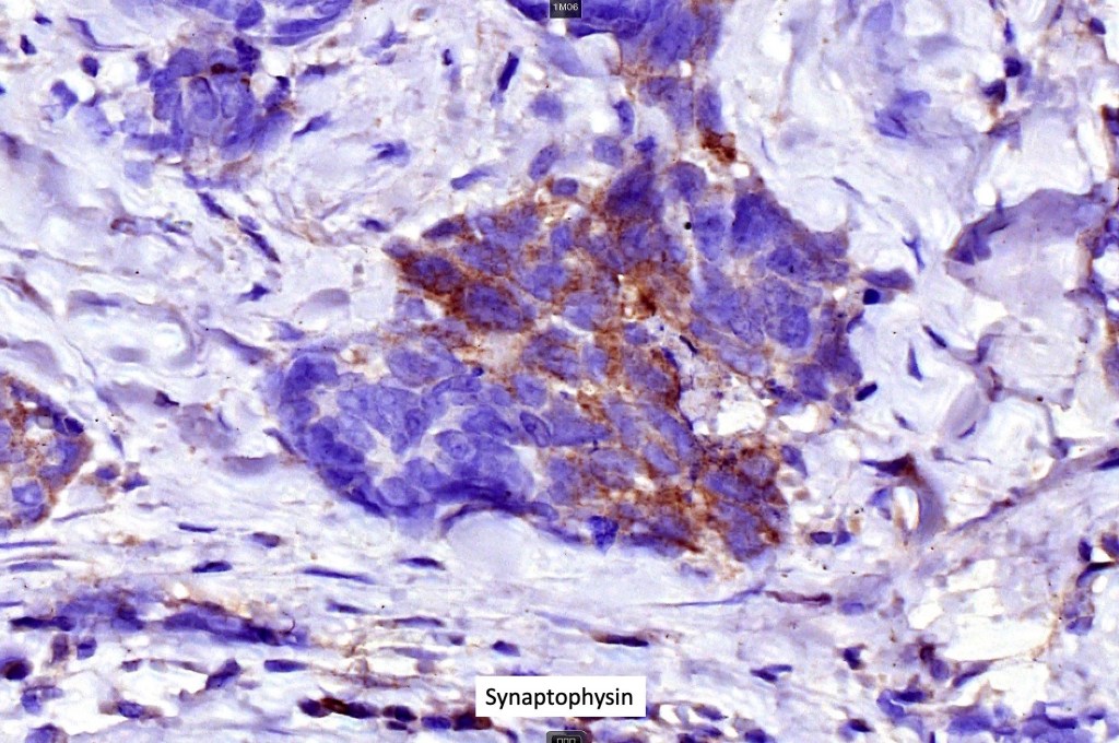
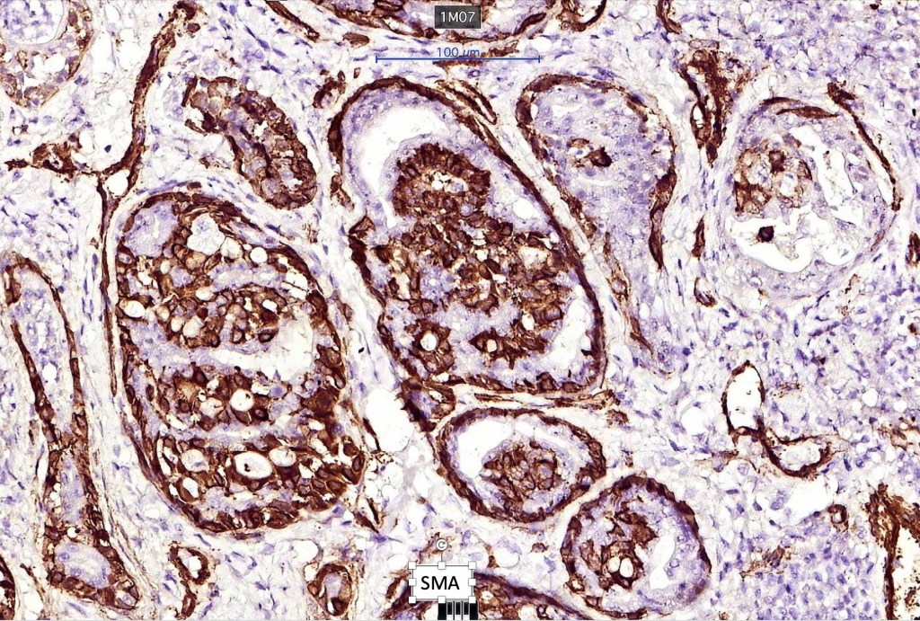
Immunohistochemistry








Immunohistochemistry
•CAM5.2, CK5/6, CK7, CEA, EMA, SOX10, MYB & CD117 +ve
•Rare expression of HER2/neu
•Myoepithelial cells: p63, calponin, & SMA +ve
•Laminin & type IV collagen
•MYB chromosomal abnormalities or MYB-NFIB fusion (60%)
Immunohistochemistry from a case shared with me by Dr. Antonina Kalmykova except type IV collagen which was shared with me by Professor Mattheos Bobos








Differential diagnosis
•Can be confused with adenoid BCC (presence of peripheral palisading, retraction artifact and Alcian blue ph 2.3 distinguishes the two tumors)
•Direct spread from salivary gland & breast tumors
•Metastatic disease from a diverse range of sites including salivary gland, breast, lacrimal gland, lung & Bartholin gland
Adenoid BCC for comparison


Leave a comment