Clinical features
•Extremely rare
•13-83 years
•Mean age 50.3 years
•4F>1M
•Sites include axilla (majority of cases), lip, groin, neck,eyelid, thigh and temporal region
•Low grade with minimal chance of metastasis (high grade variants have not been documented in the skin)
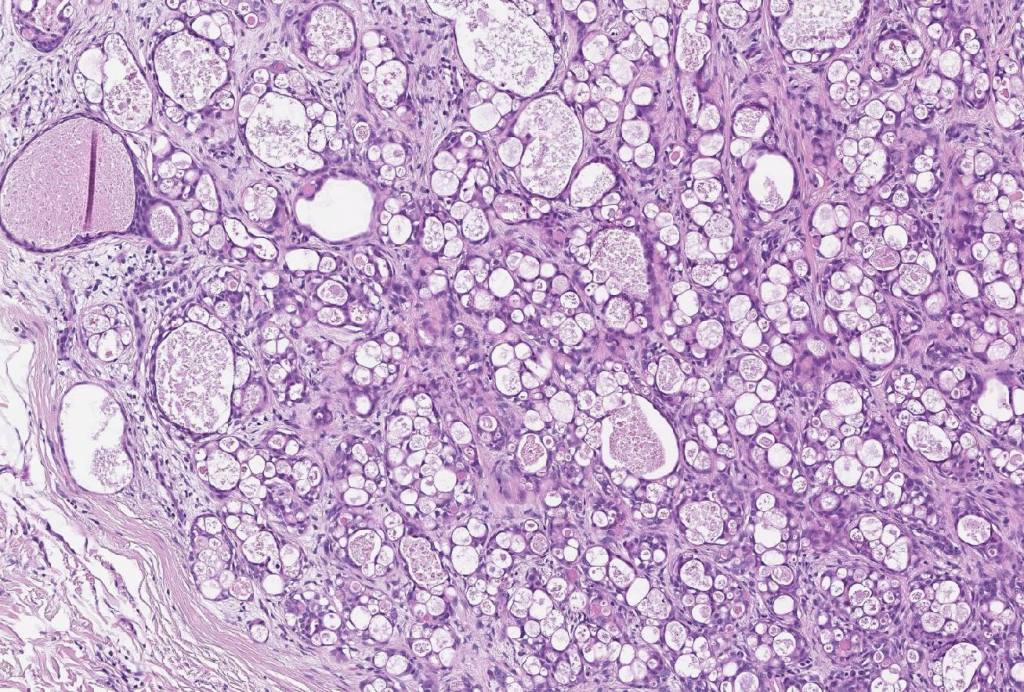
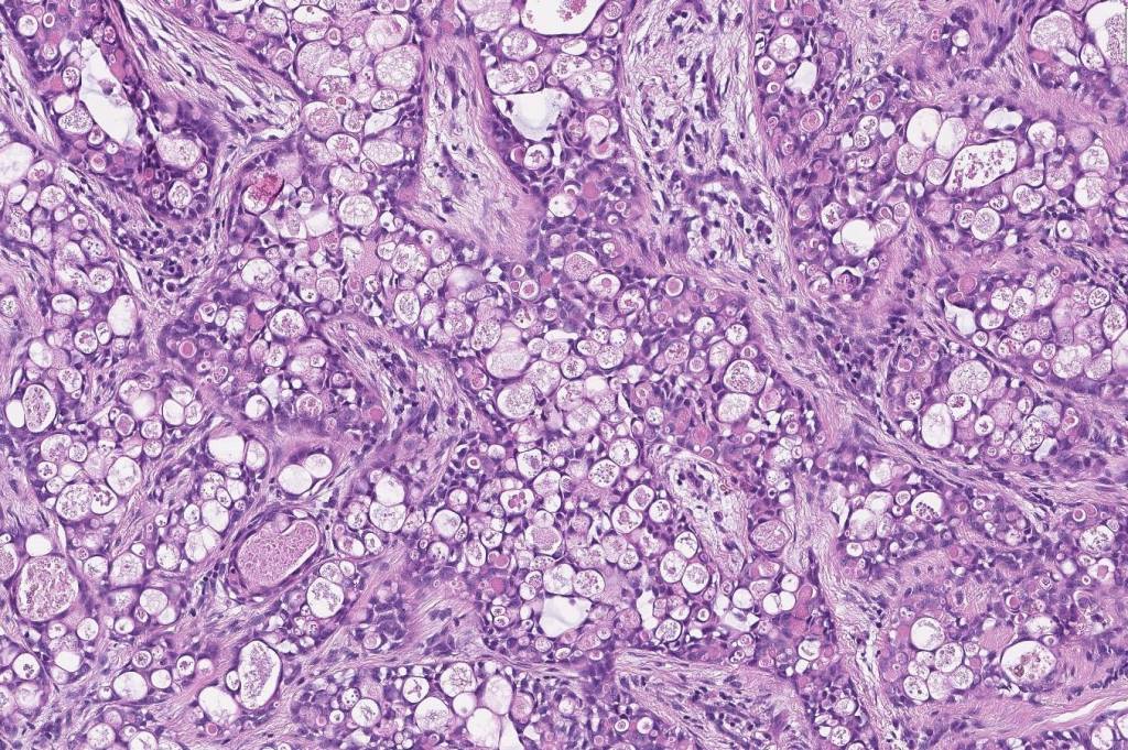
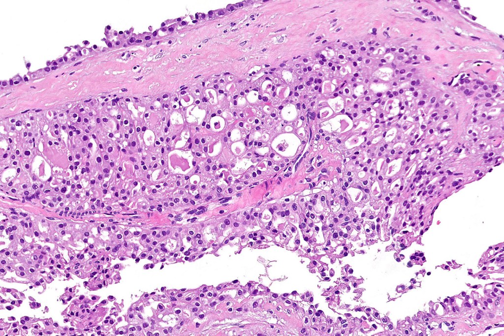
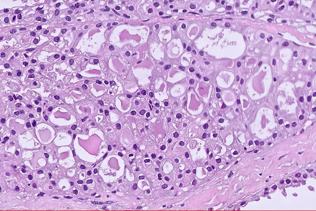
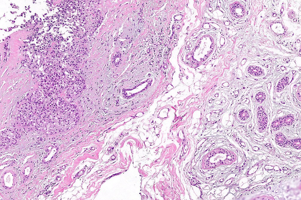
Histological features
Unfortunately, I don’t have good images of this tumor but fortunately members of McKee Derm have posted three examples of this rarity.
•Solid or cystic circumscribed or infiltrative dermal nodule
•Microcystic, tubular & solid patterns
•Vacuolated/granular/bubbly eosinophilic cytoplasm
•DPAS +ve luminal content
•Low grade atypia, mitoses very sparse, absence of perineural infiltration, lymphovascular invasion or necrosis
•FISH: ETV6–NTRK3 fusion gene; (t(12;15) p13;q25) translocation (75% of cases)










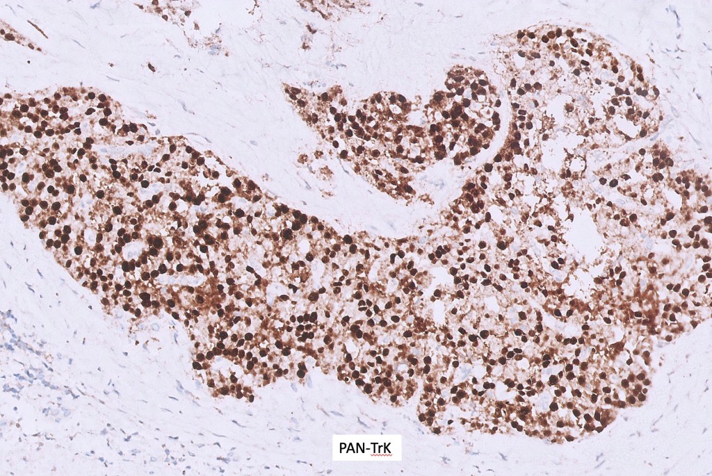
Immunohistochemistry (All images shared by Dr. Kao Tau-Hang except for p63/cKIT which was shared by Dr. Victor Grishakov.)
•CK7, Cam 5.2 mammaglobin, S100, SOX10, STAT5A, MUC 4, GATA3, PAN-Trk +ve
•p63 & calponin +/-ve
•NTRK3, CEA, EMA, CD117 +/-ve
•ER, PR, AR, HER2/neu, PAX8, TTF1 -ve







Leave a comment