Clinical features
•Most arise on scalp
•Non-scalp location occasionally documented
•Exceptionally rare
•Sudden rapid growth
•>5 cm
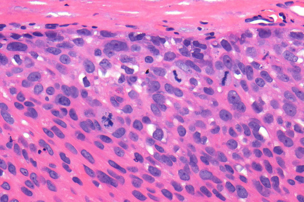
Histological features
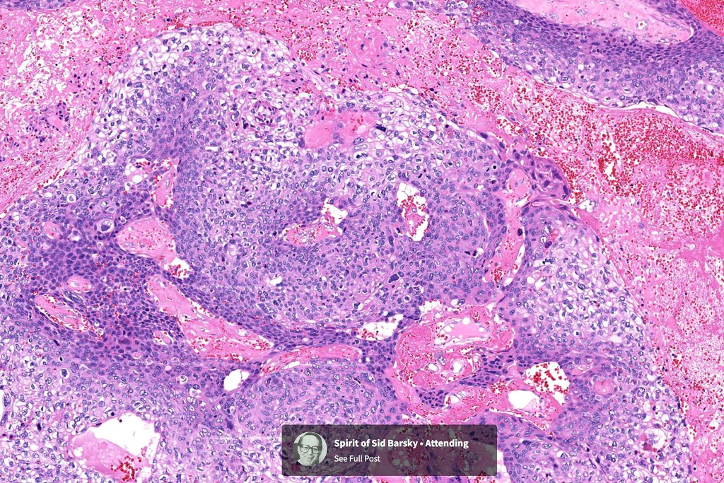
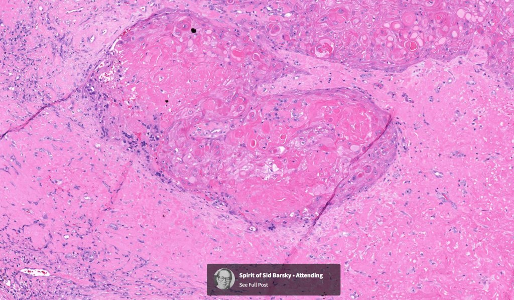
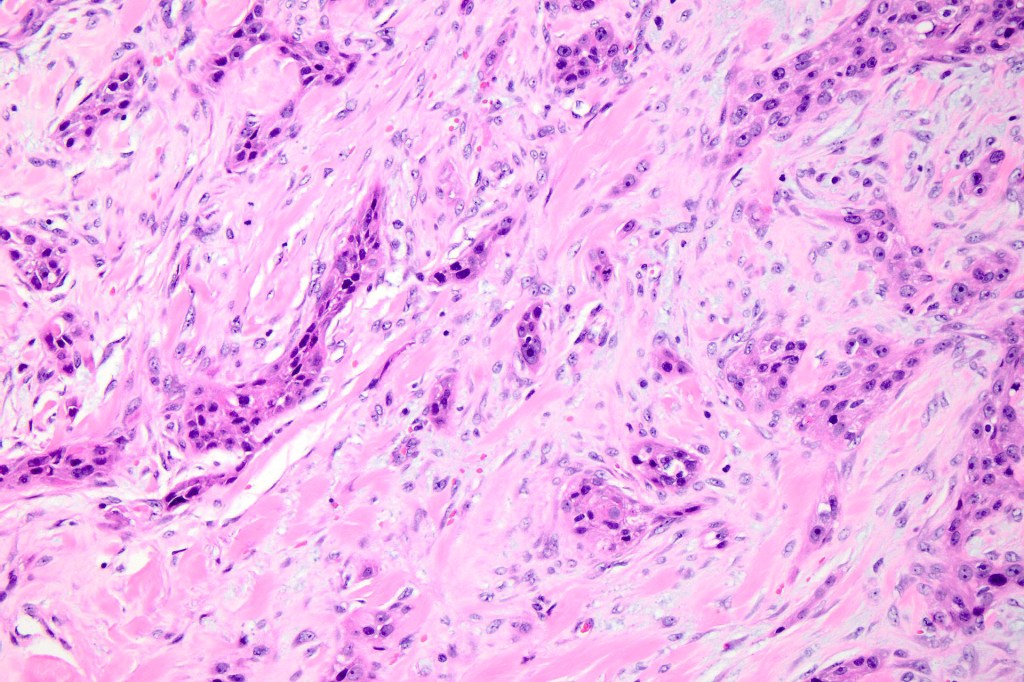
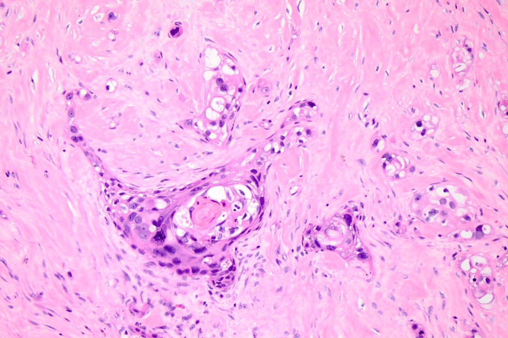
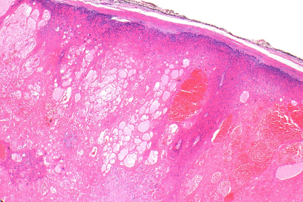
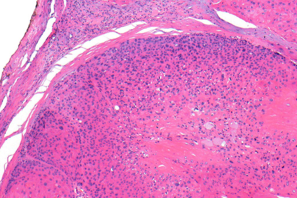
•Infiltrating tumor arising from the wall of a pilar cyst
•Malignant change within a proliferating pilar tumor
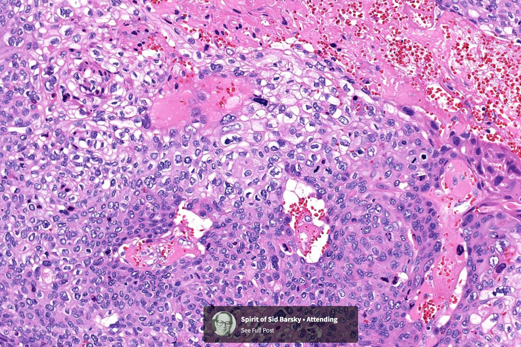
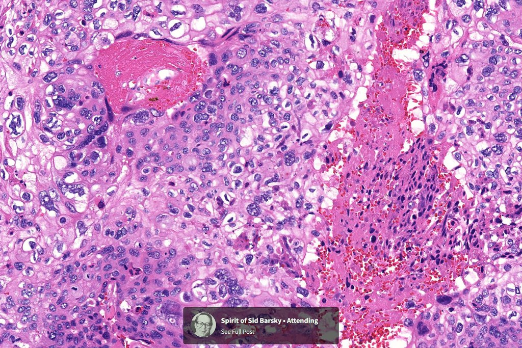
•Nuclear pleomorphism and nuclear hyperchromatism
•Marked mitotic activity
•Abnormal mitoses
•Necrosis
•Stroma may be desmoplastic
•Spindle cell subtype
•Variable CD34 & calretinin expression (outer root sheath)
•Ki67 and p53 expression may be over-expressed
•Copy number gains of 15q & losses of 6p & 6q
•Absent UV signature as seen in SCC


























Leave a comment