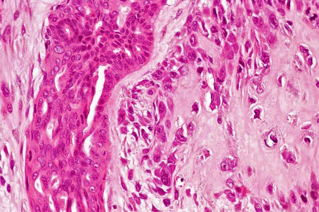
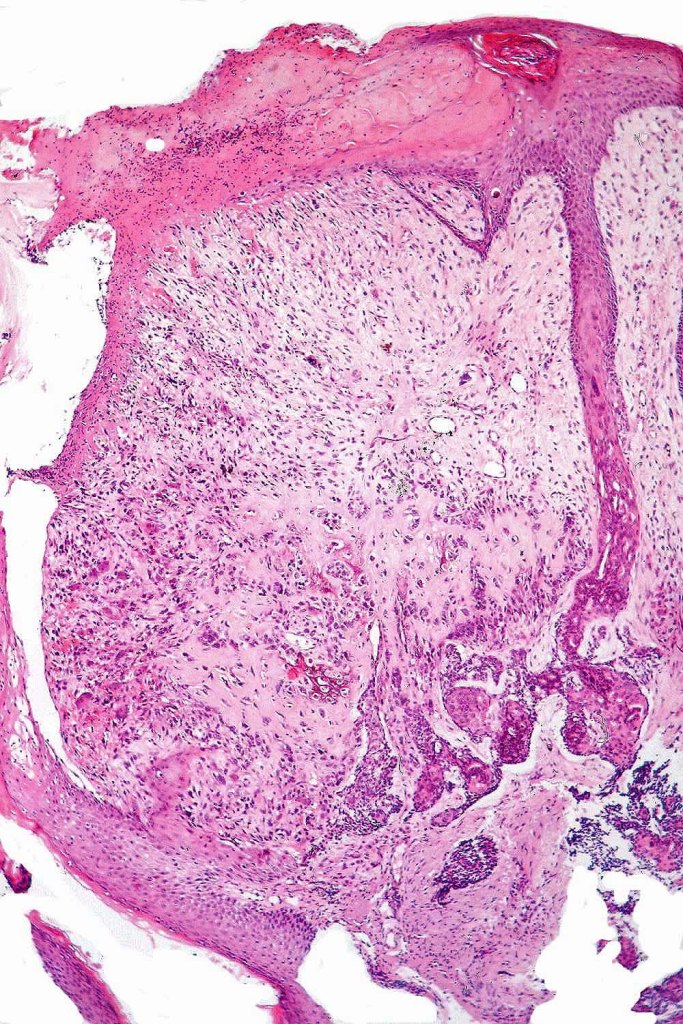
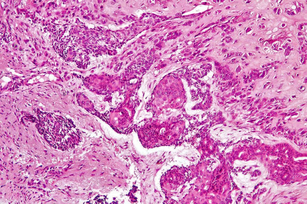
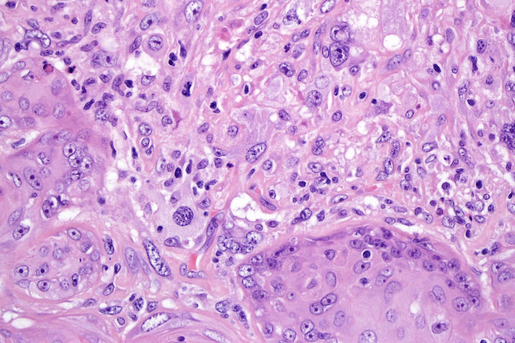
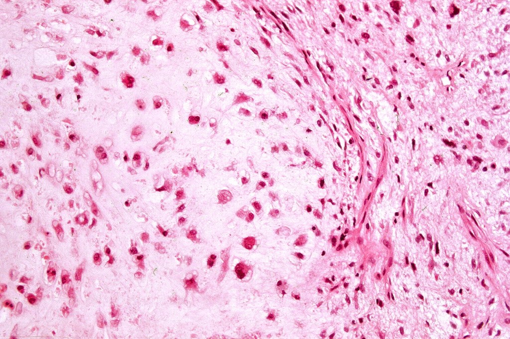
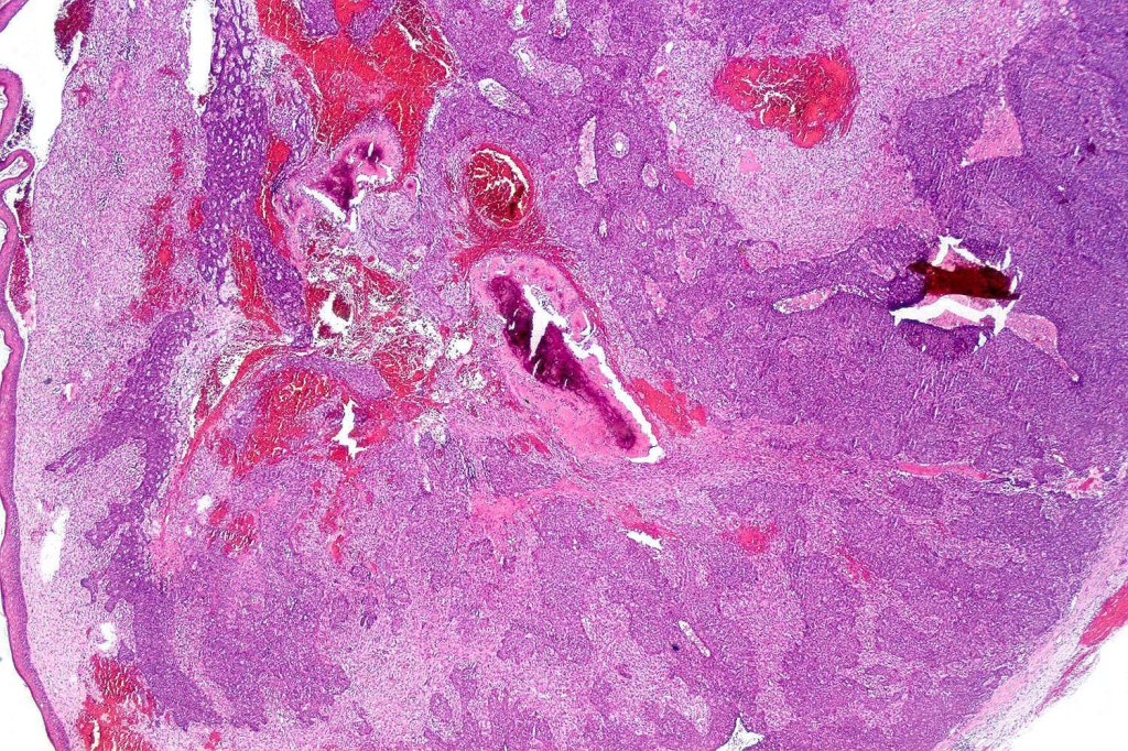
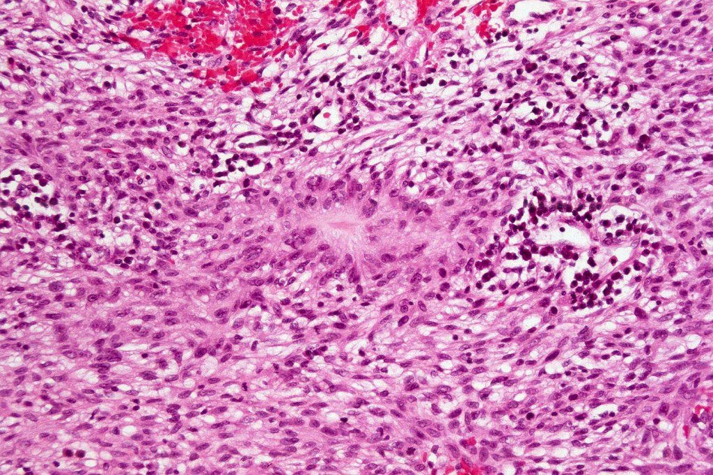
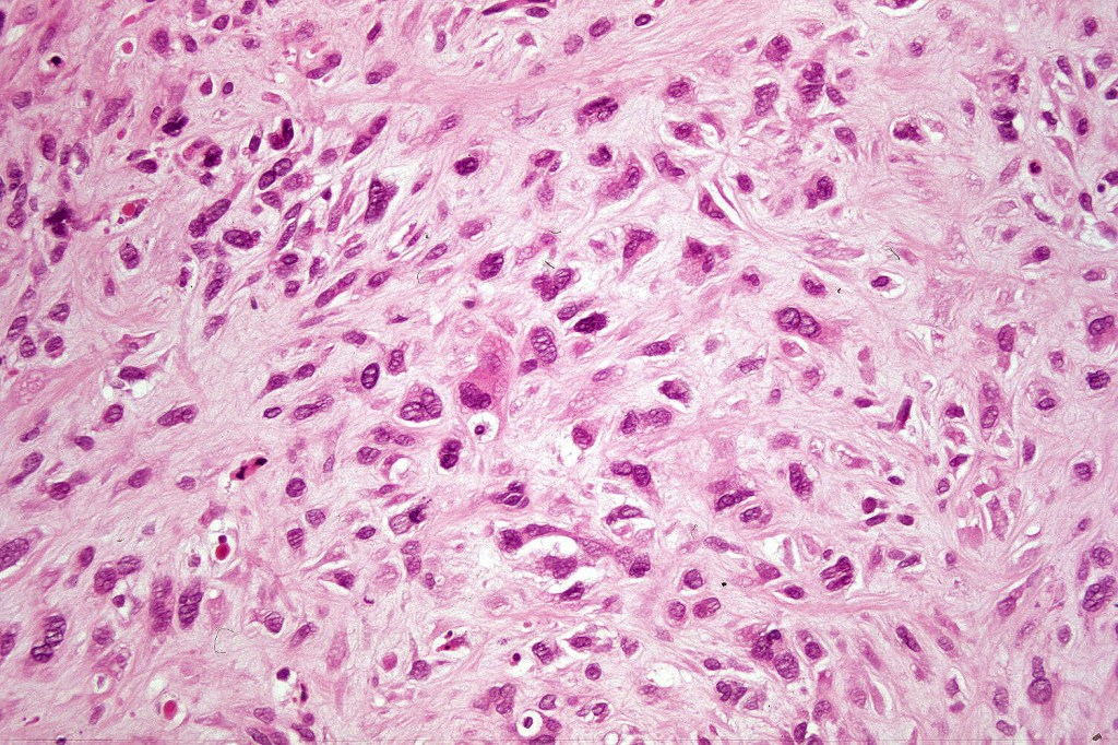
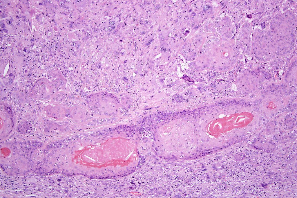
Carcinosarcoma

Cutaneous carcinosarcoma (metaplastic carcinoma, carcinoma with heterologous differentiation)

Clinical features

•Exceedingly rare

•May arise in the elderly in a pre-existent SCC or BCC   (M>F mean age 72), relatively good prognosis

•May develop in a spiradenocarcinoma, malignant proliferating pilar tumor, matricial carcinoma, carcinoma ex chondroid syringoma or porocarcinoma (M=F, mean age 58 years), generally poor prognosis

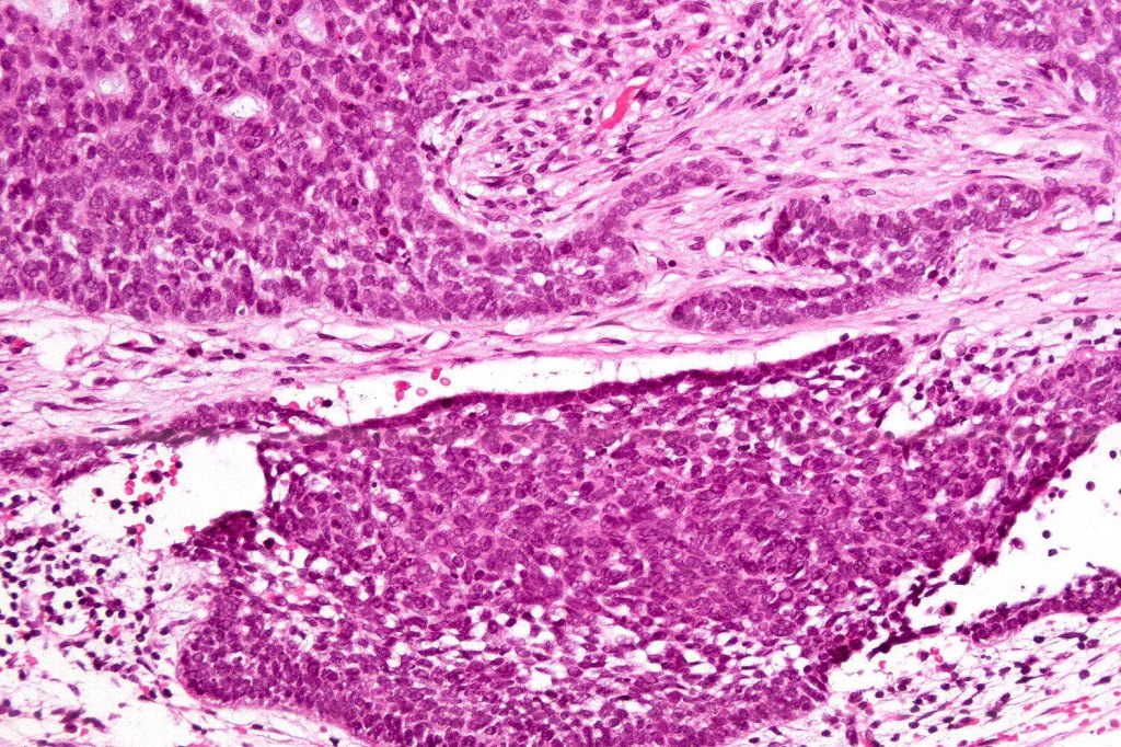
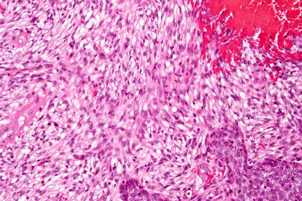
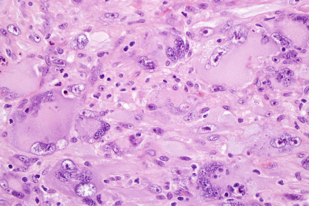
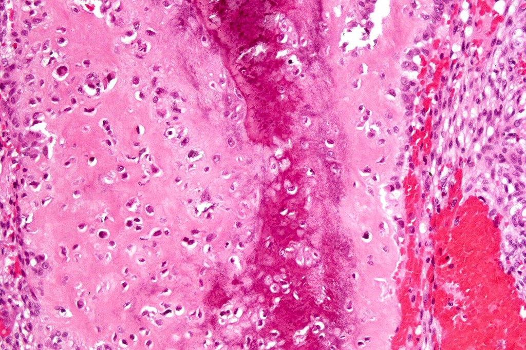
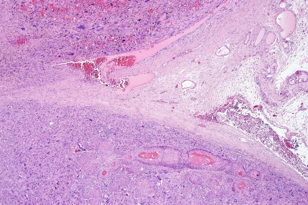
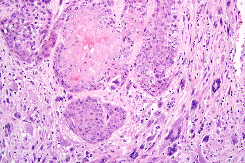
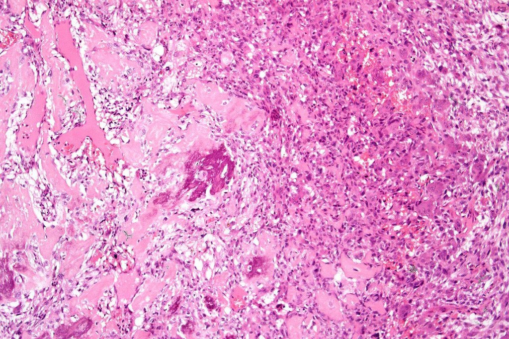
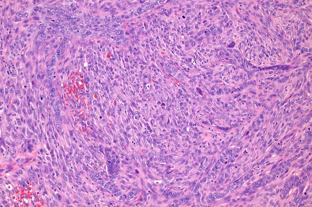
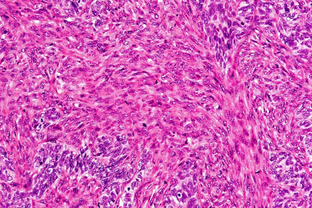
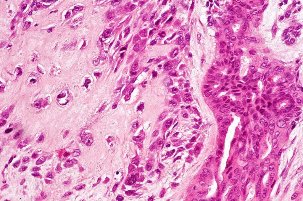
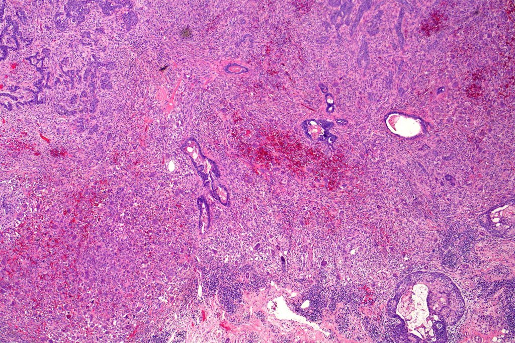
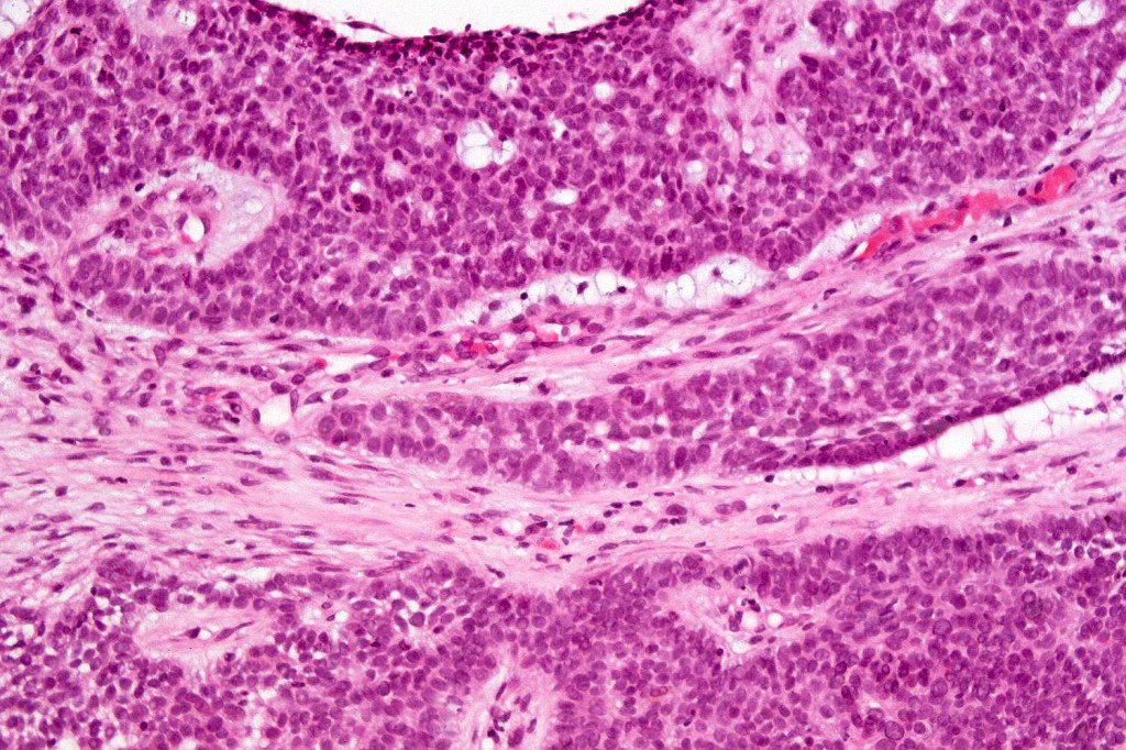
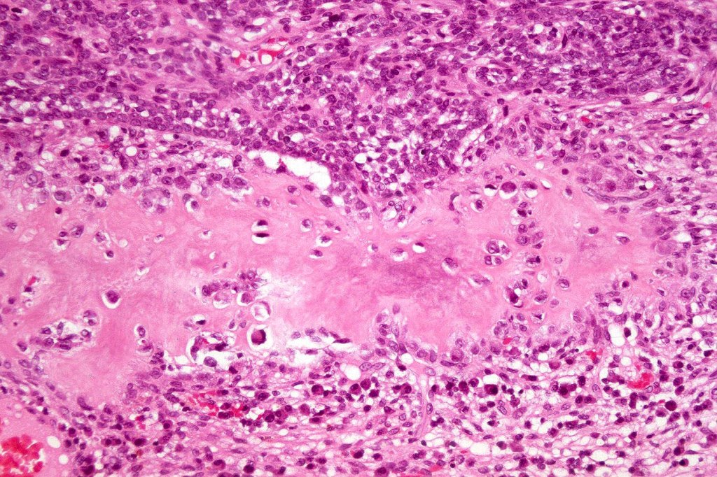
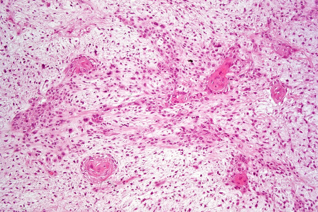
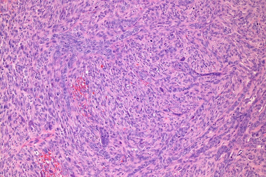
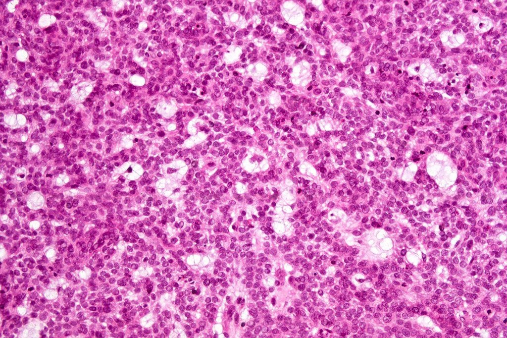
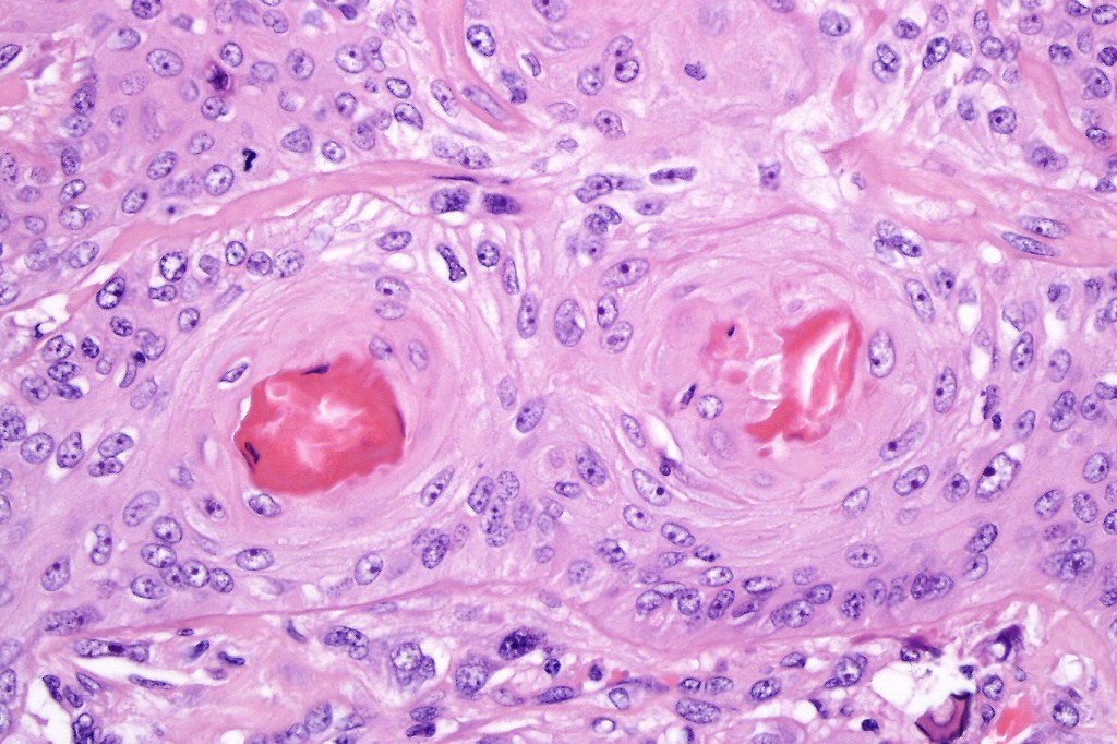
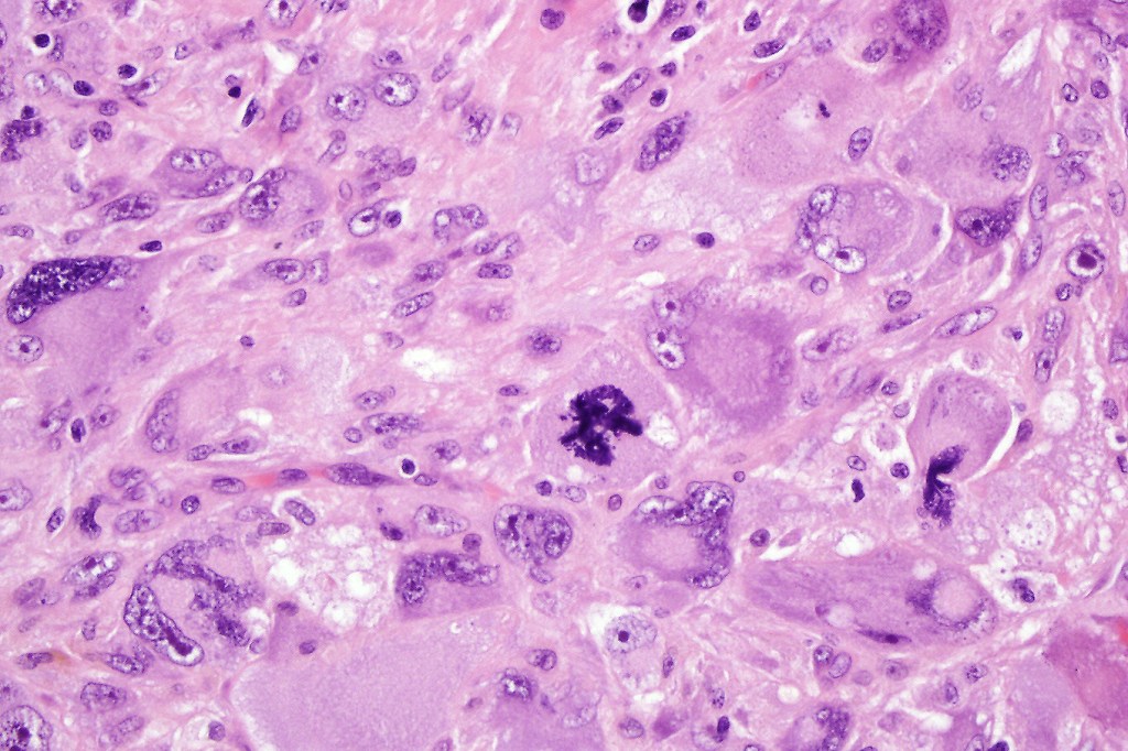
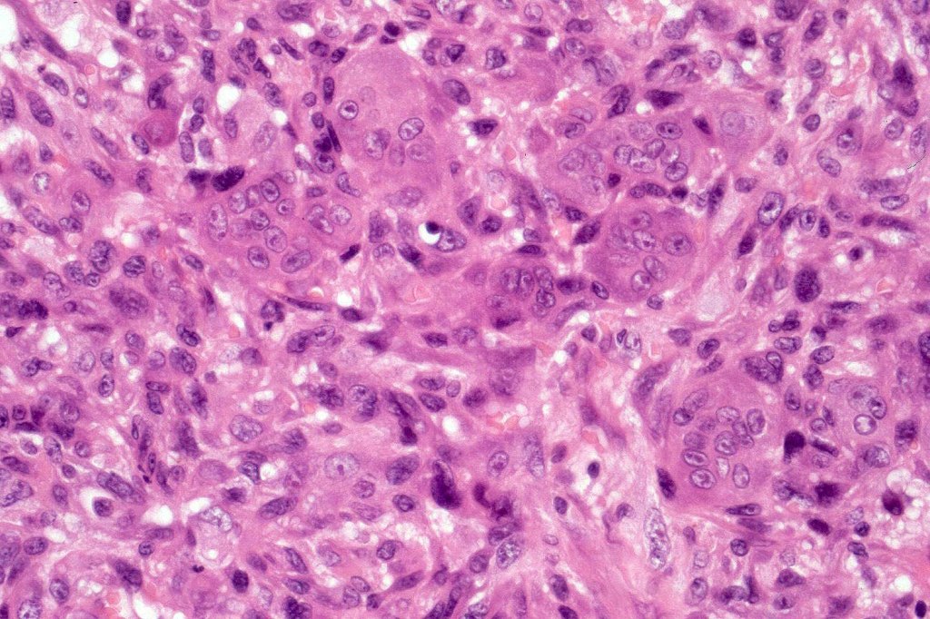
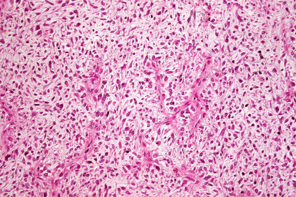
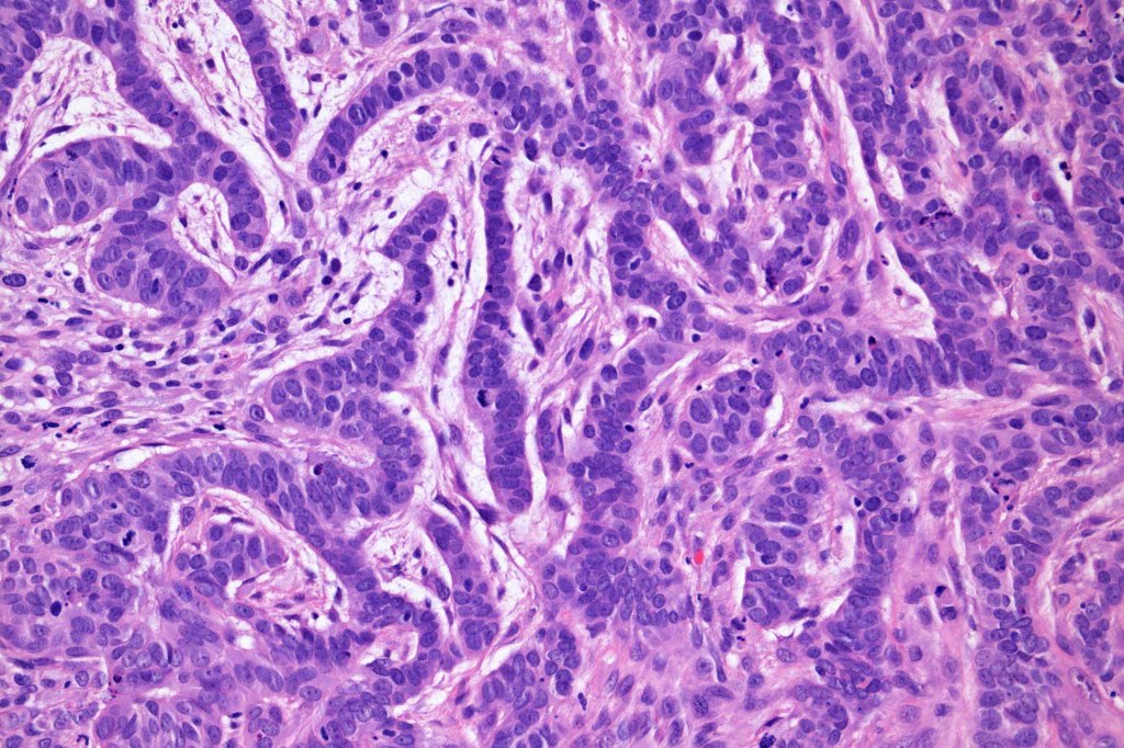
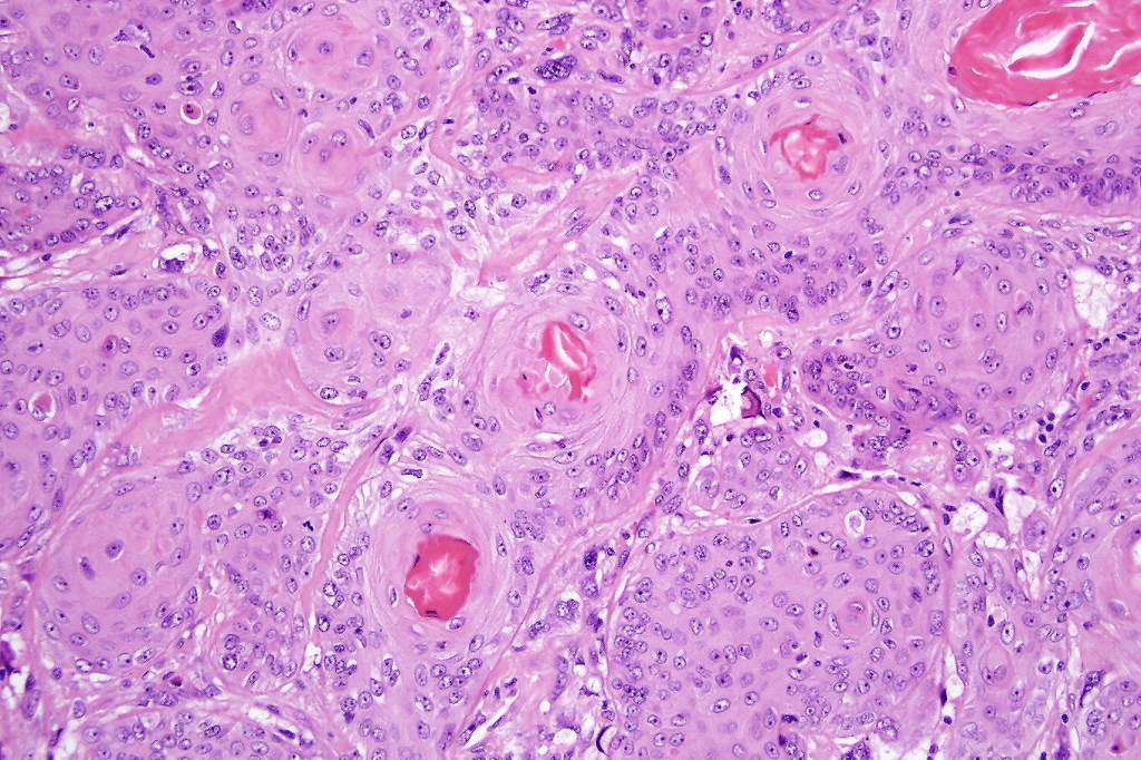
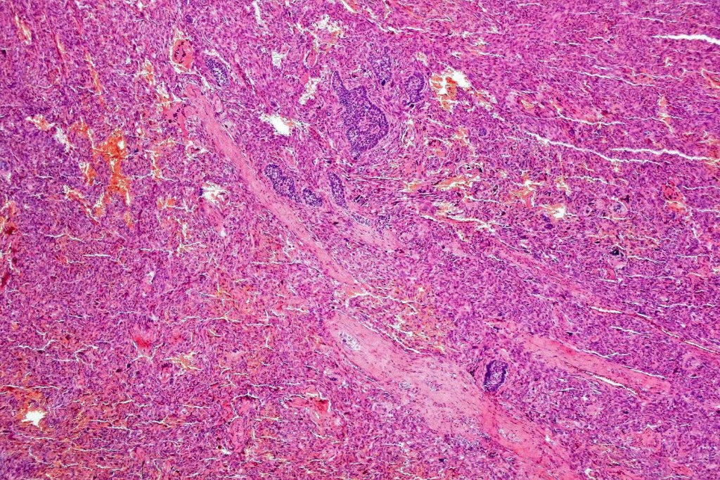
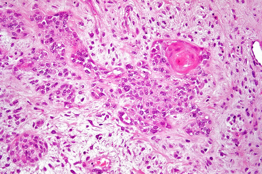
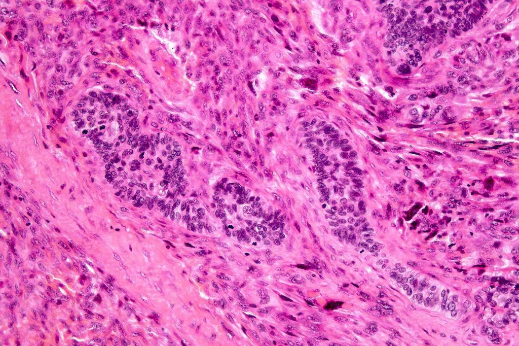
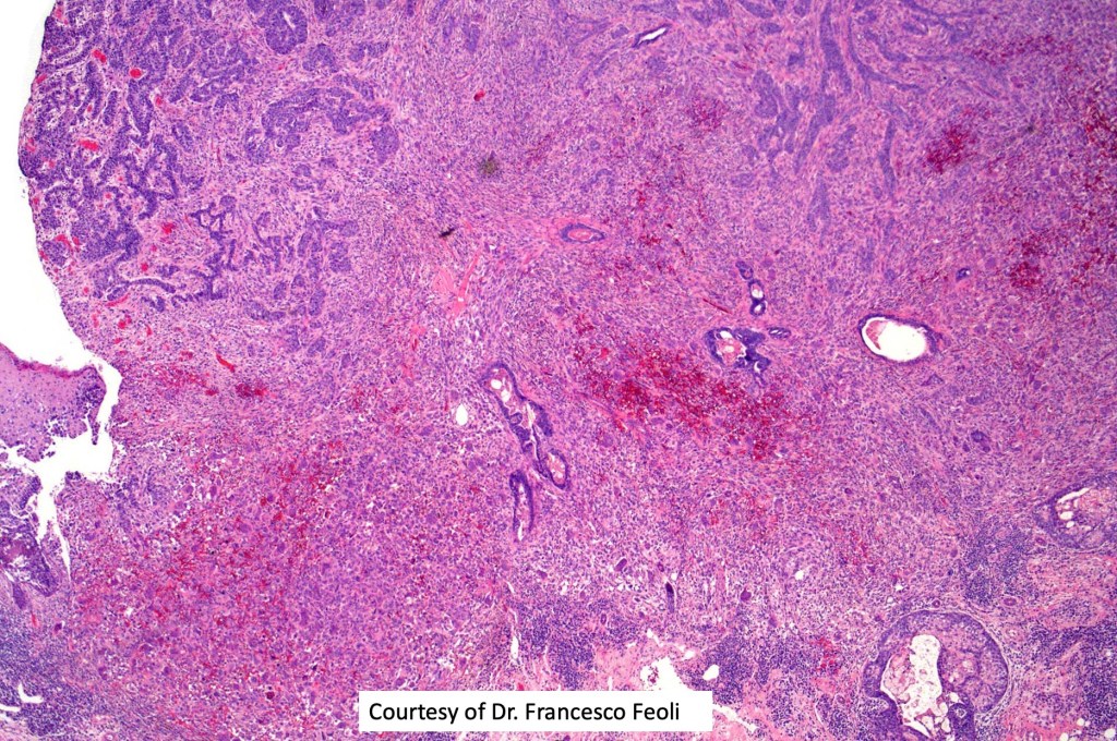
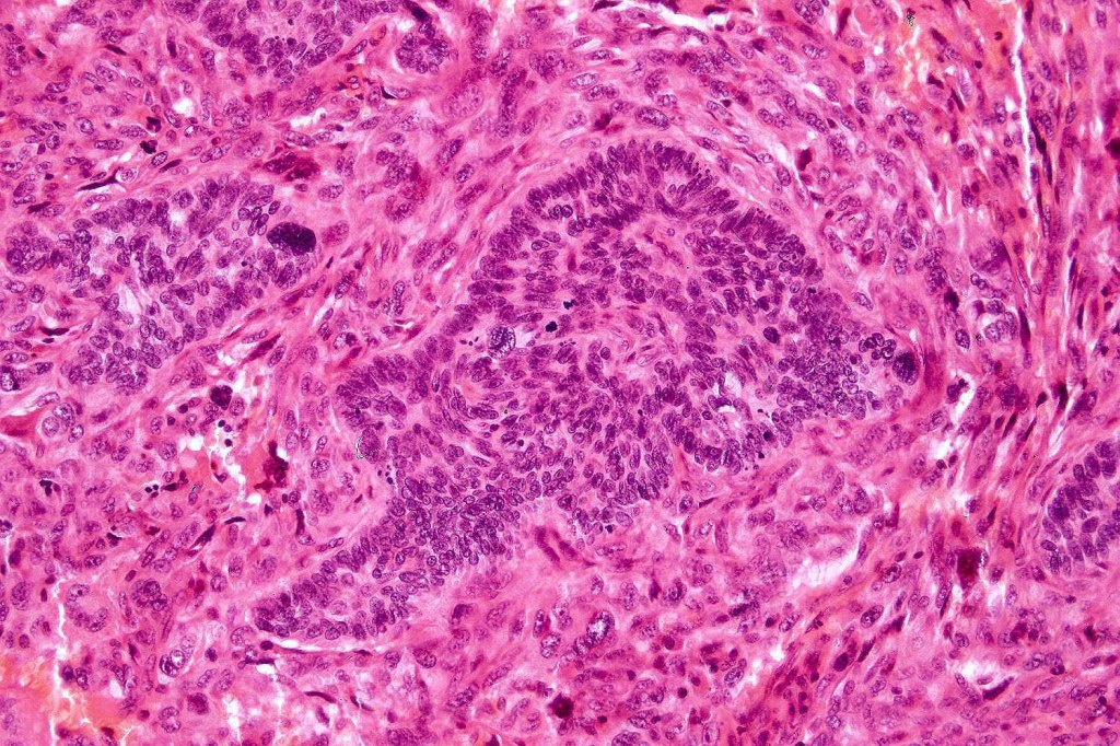
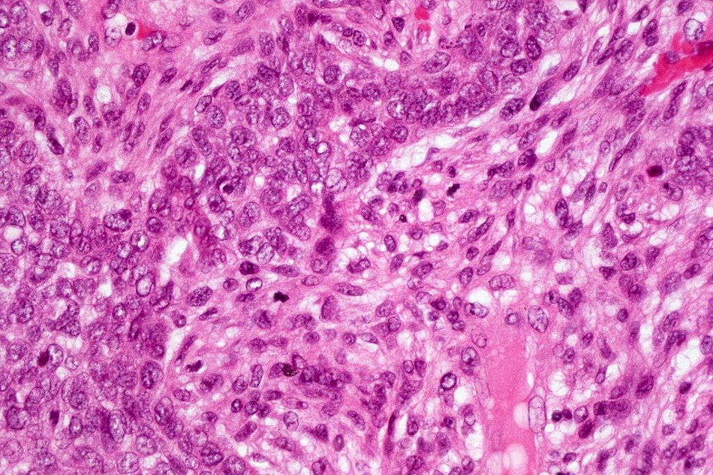
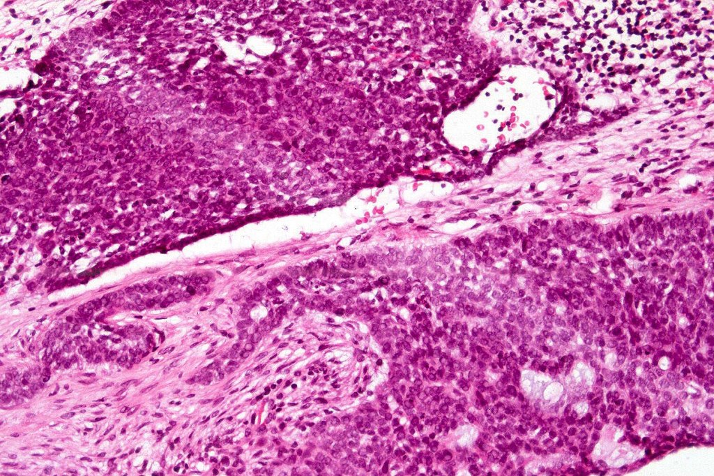
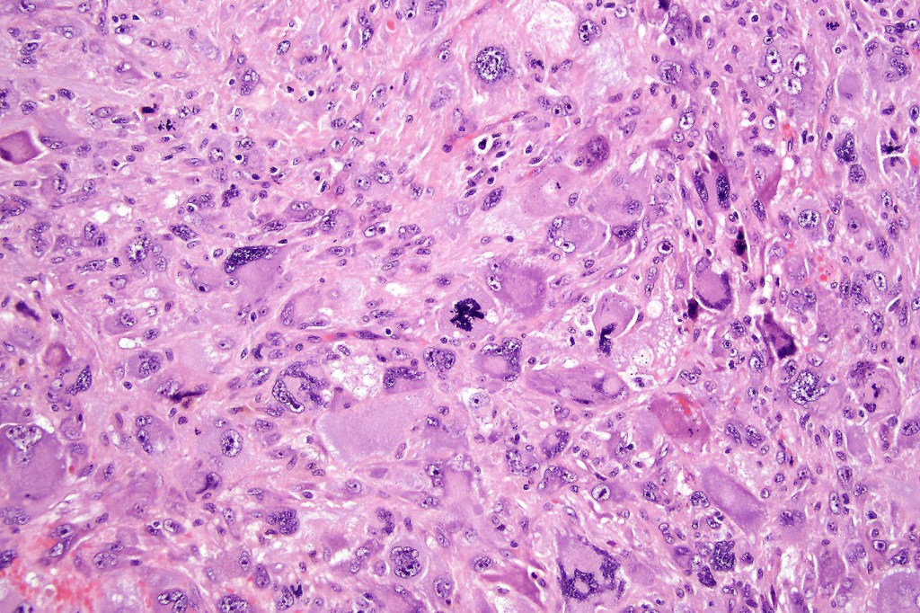
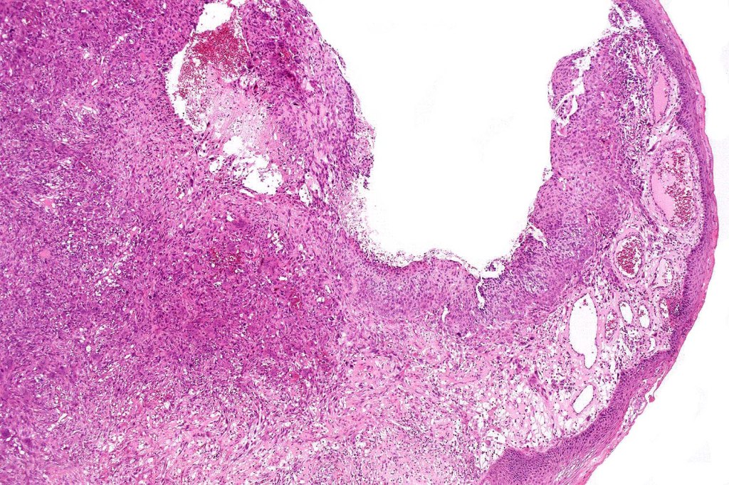
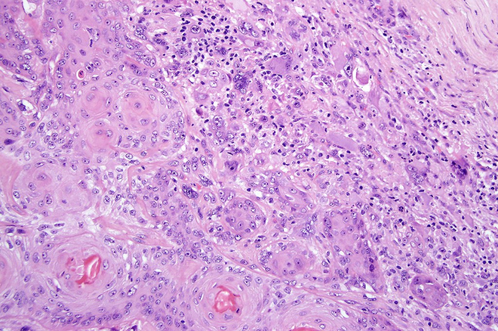
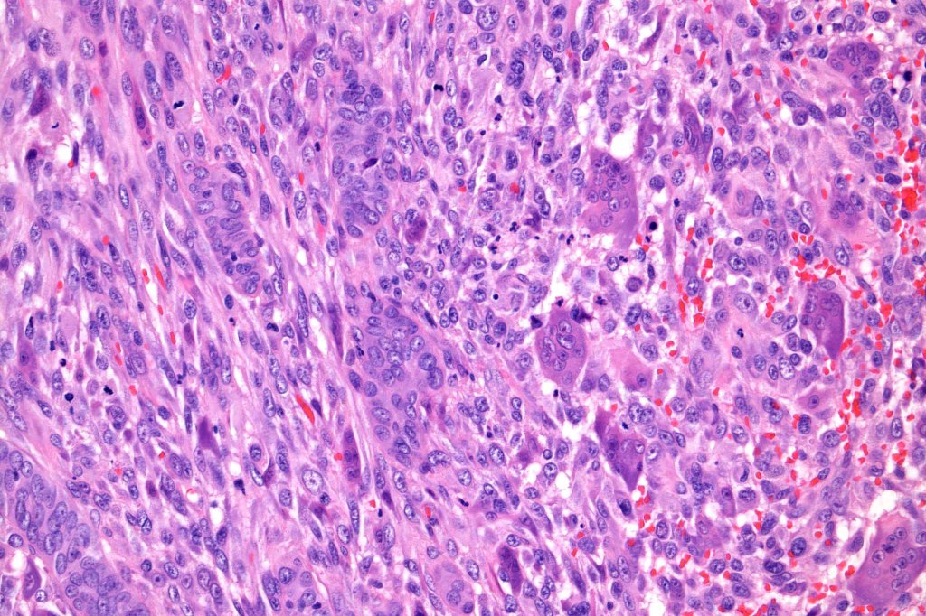
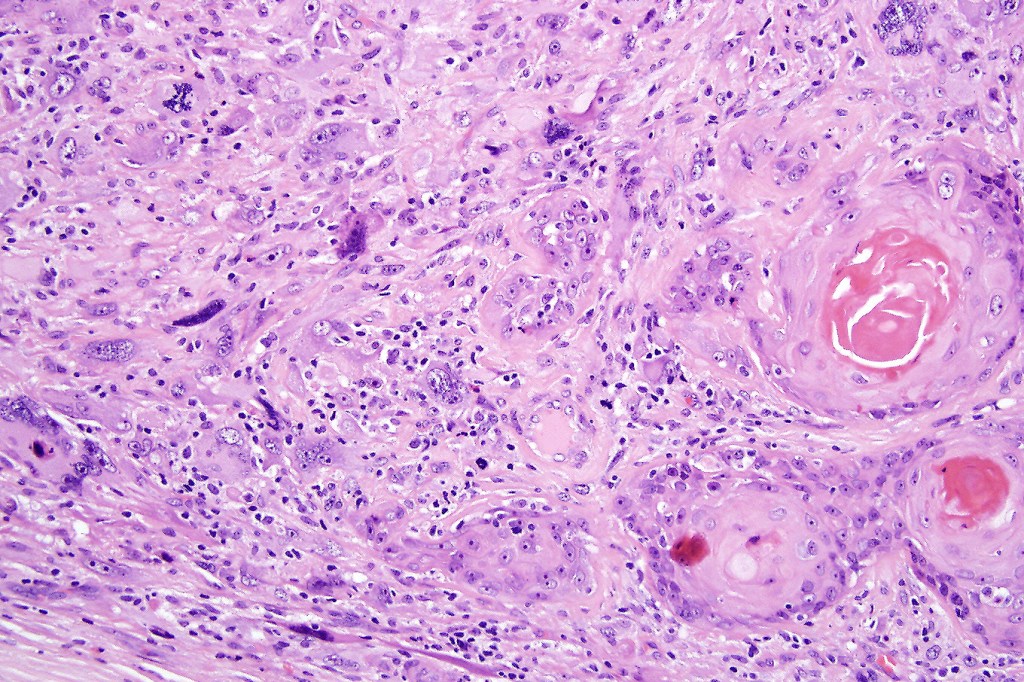
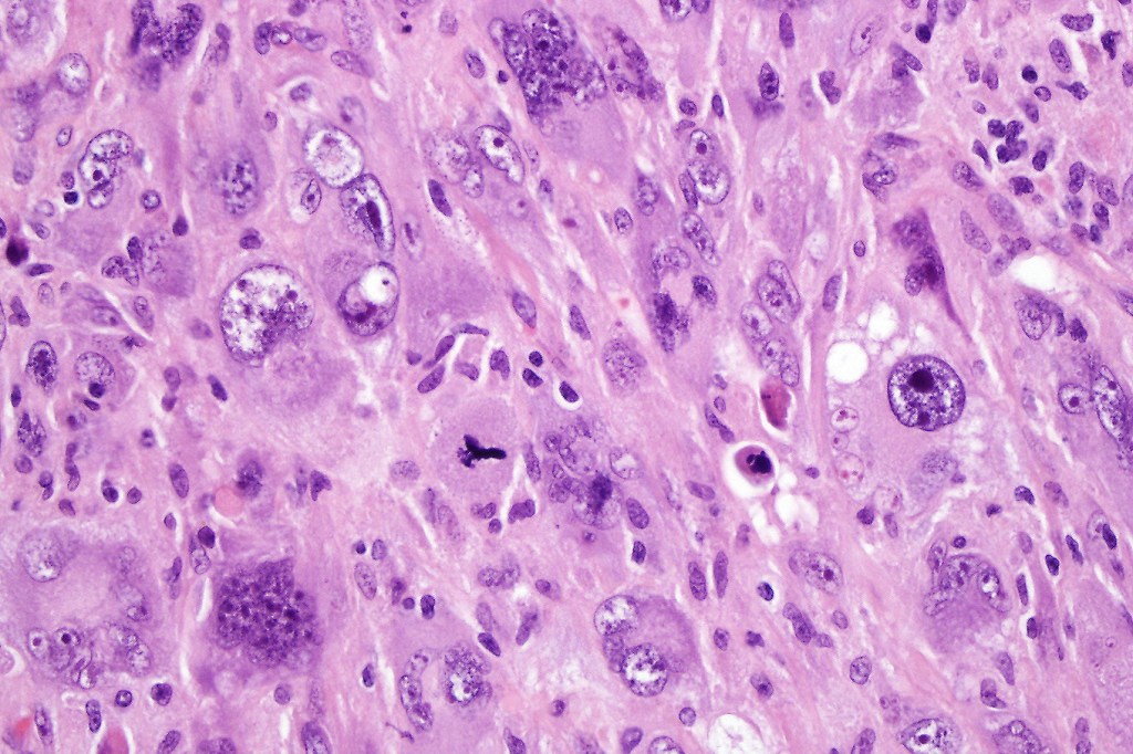
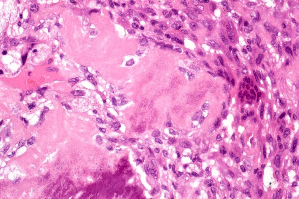
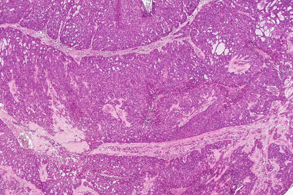
Histological features

•Osteoid

•Chondroid

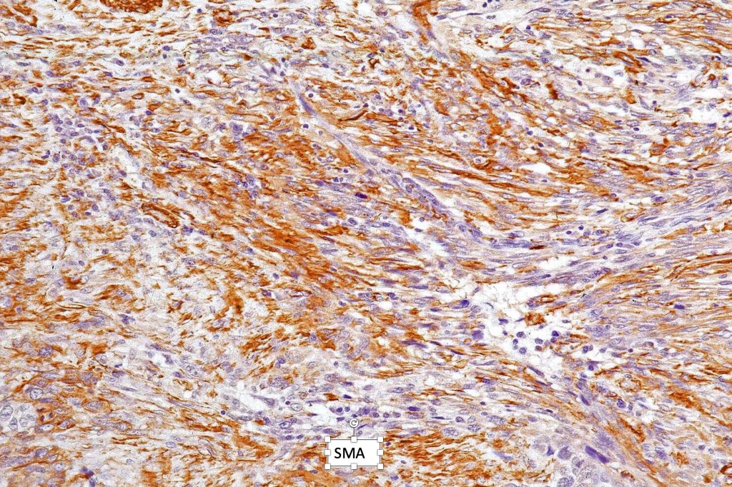
•Smooth muscle

•MFH-like features with osteoclasts

•Neural differentiation

OLYMPUS DIGITAL CAMERA
OLYMPUS DIGITAL CAMERA
OLYMPUS DIGITAL CAMERA
OLYMPUS DIGITAL CAMERA
OLYMPUS DIGITAL CAMERA
OLYMPUS DIGITAL CAMERA
OLYMPUS DIGITAL CAMERA
OLYMPUS DIGITAL CAMERA
OLYMPUS DIGITAL CAMERA
OLYMPUS DIGITAL CAMERA
OLYMPUS DIGITAL CAMERA
OLYMPUS DIGITAL CAMERA
OLYMPUS DIGITAL CAMERA
OLYMPUS DIGITAL CAMERA

One response to “Carcinosarcoma”

  1. alicerobertsmd avatar
    alicerobertsmd

    Great case!

    Like

Leave a comment