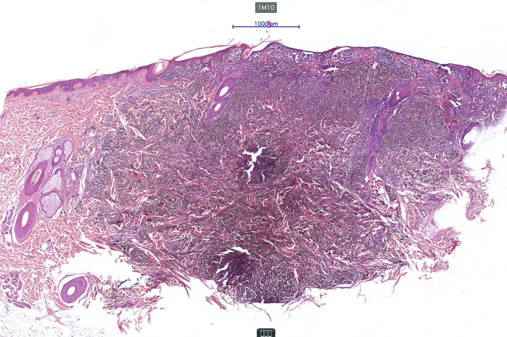
•Exceedingly rare variant of melanoma
•Insufficient date to give any meaningful clinical information
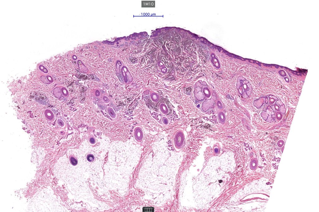
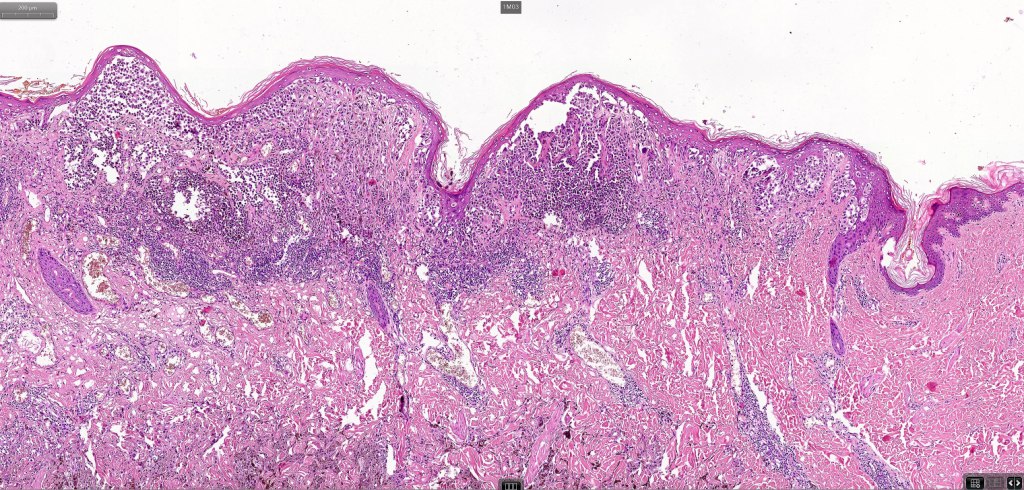
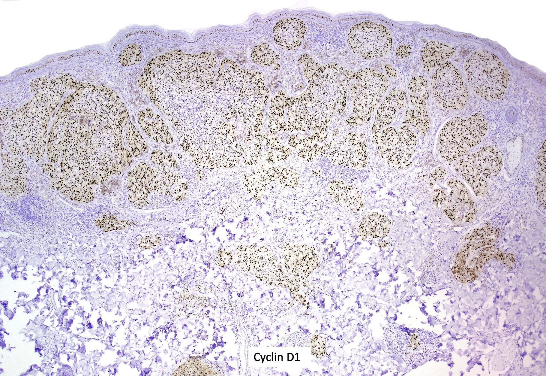
•In my limited experience the nomenclature is a little vague and the entity includes four different possible scenarios. It may comprise:
1.typical melanoma in the superficial aspect overlying a deep penetrating nevus-like deeper component
2. typical epithelioid melanoma in the superficial aspect associated with very marked perivascular and appendageal spread giving rise to a plexiform appearance
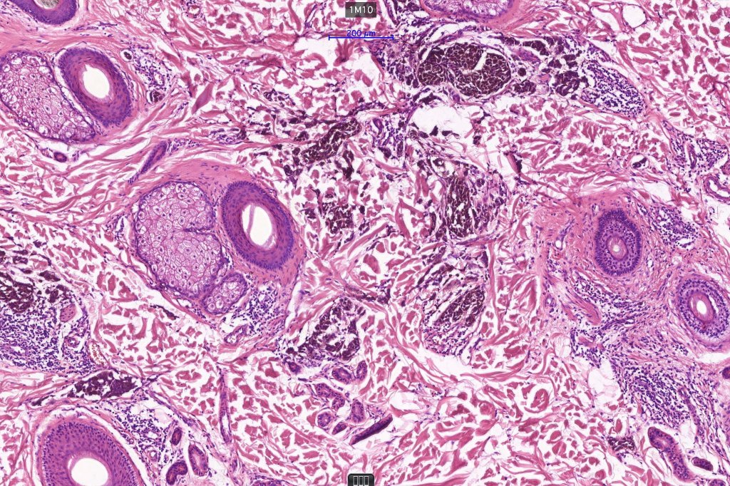
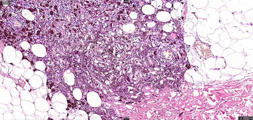
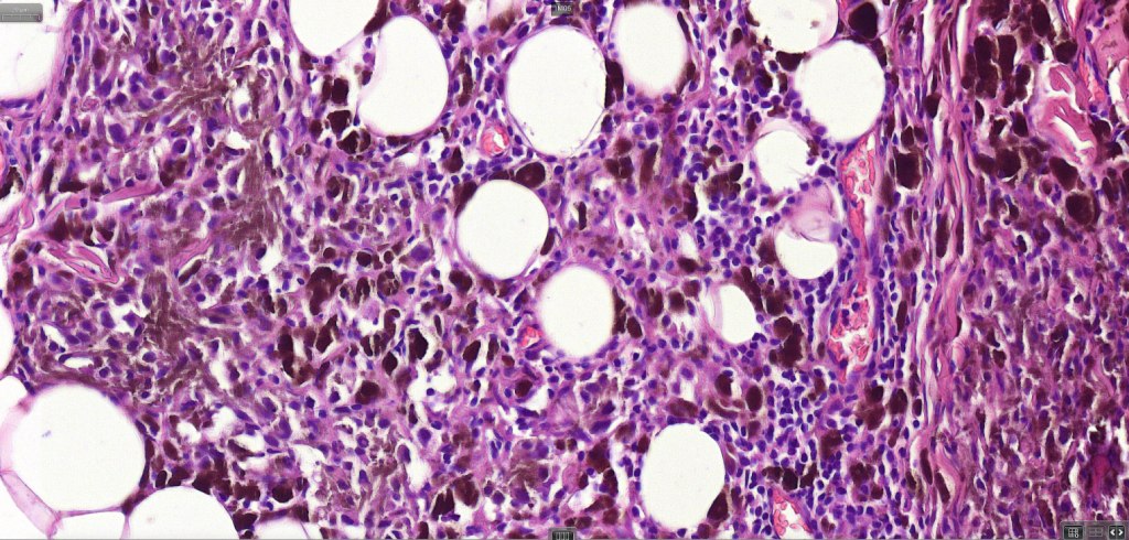
3. a deep penetrating nevus like lesion showing obvious signs of malignancy including greater pleomorphism than is usually seen combined with excessive mitotic activity, deep mitoses and atypical forms
4. melanoma which shows a deep penetrating architecture although the cytology remains epithelioid throughout
•BRAF & PTEN mutations in both components for type 1 variants
•CTNNB1 mutation in the DPN-like component for type 1 variants
•Rare possible association with familial adenomatous polyposis syndrome
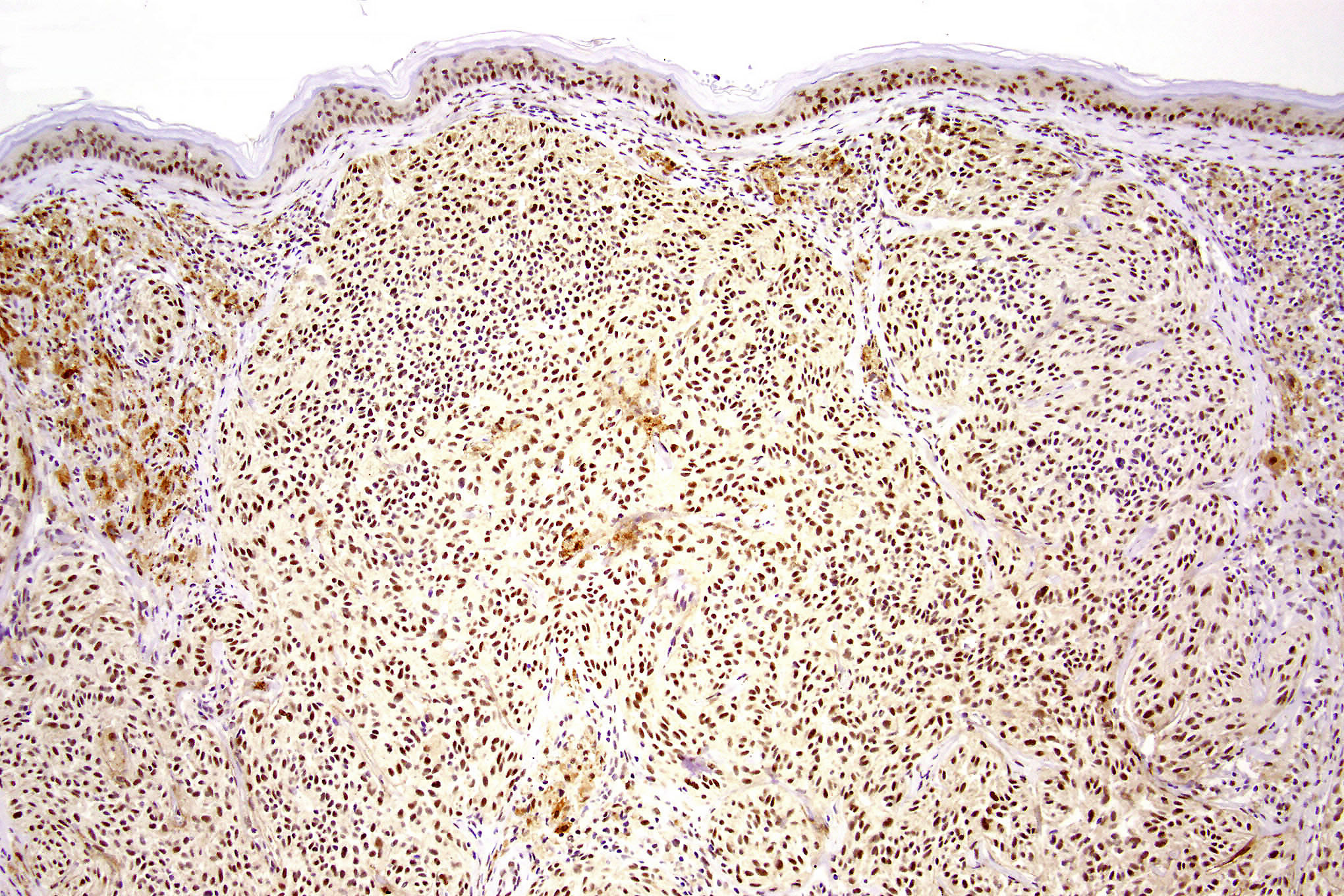
.Likely beta catenin nuclear expression in variant 3




















Case shared by Dr. Antonina Kalmykova













Leave a comment