A very rare subtype of melanoma characterized by slow growth often over many years. I regard atypical lentiginous nevus of the elderly as likely representing the same thing. I would be interested to know others’ views on this matter.
Clinical features
- A clinically atypical pigmented lesion often measuring 1.0 cm or more in diameter
2. Generally seen in the middle aged or elderly although younger patients can rarely be affected ( 43-90 years with two series, mean ages of 47.8 and 69.2 years)
3. Slight predilection for females
4. Significant risk for recurrence
5. Diagnosis often depends upon clinicopathological correlation particularly in subtle lesions
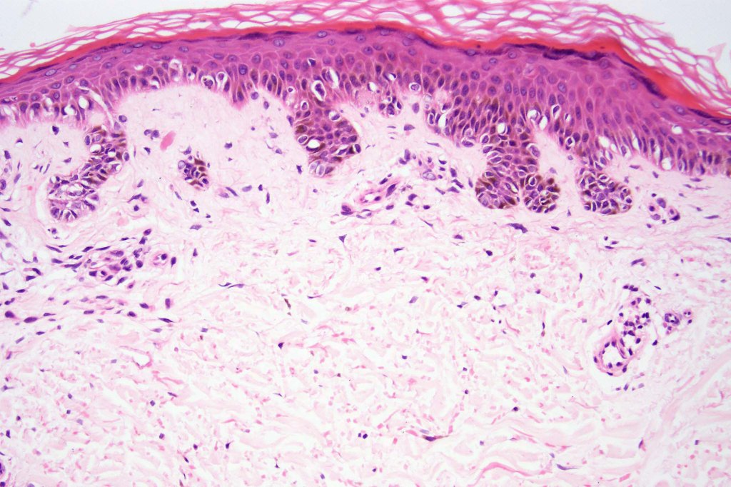
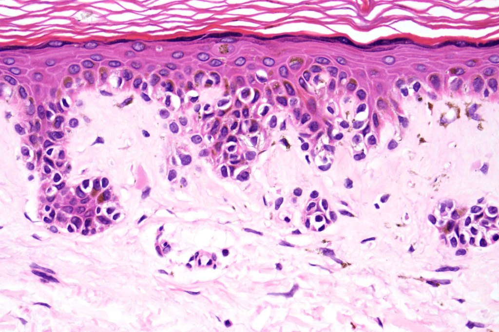
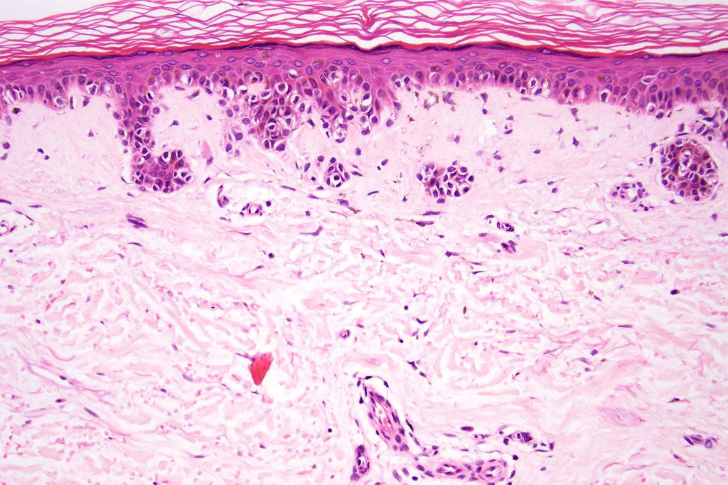
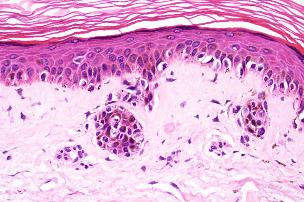
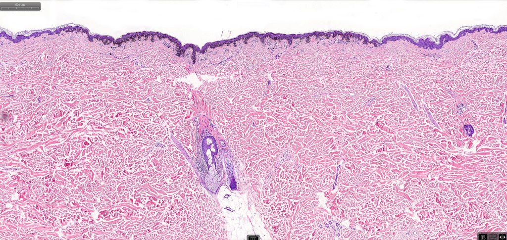
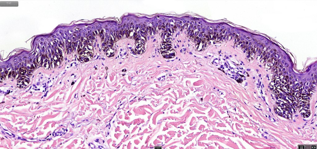
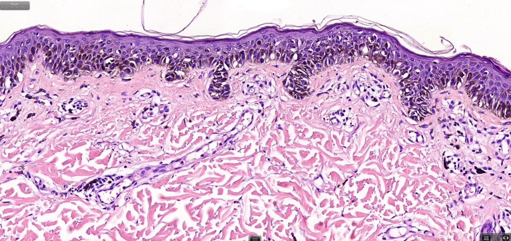
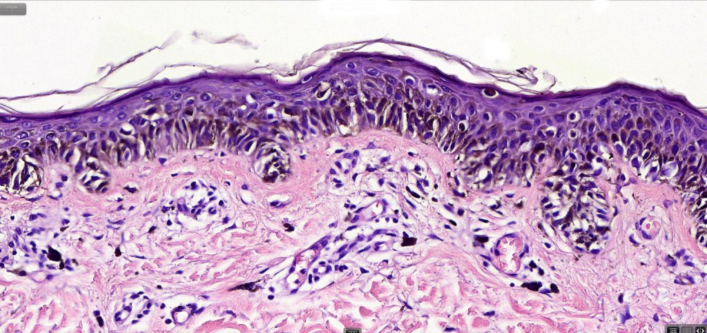
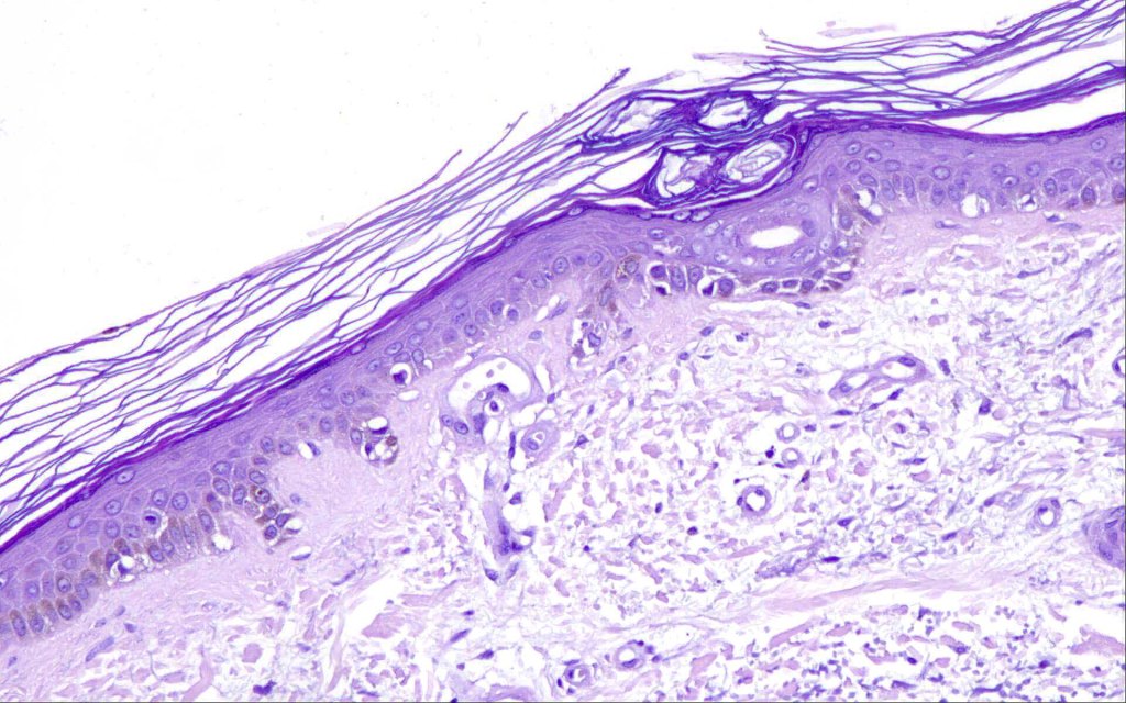
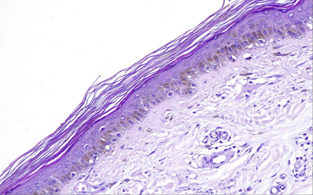
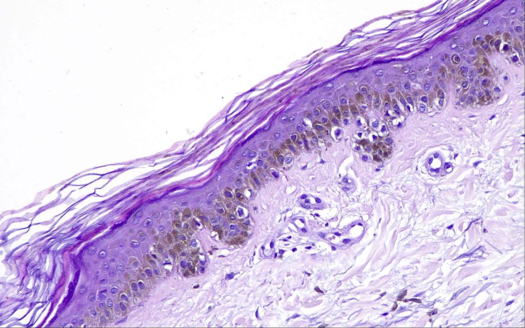
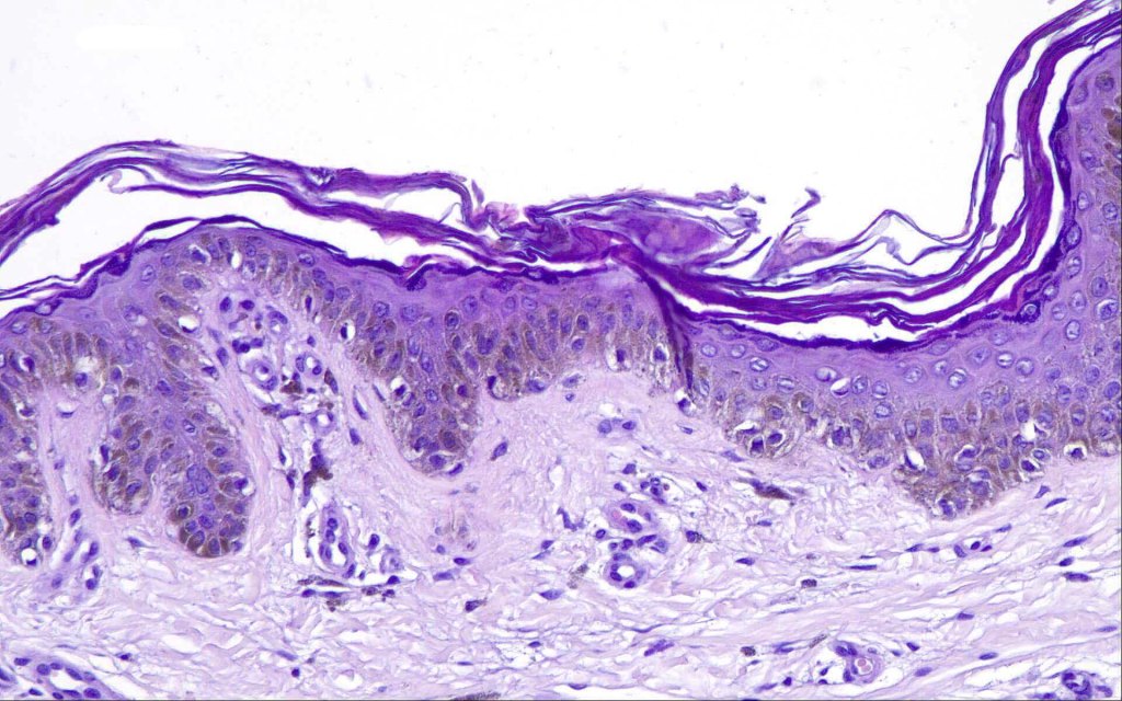
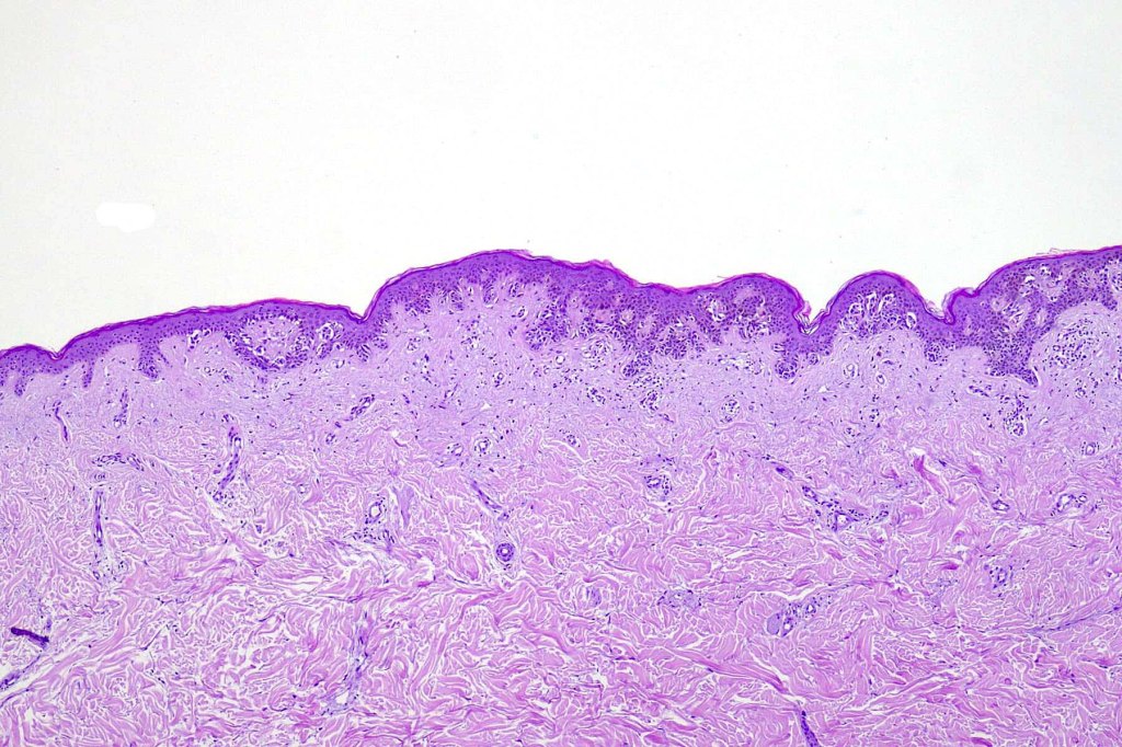
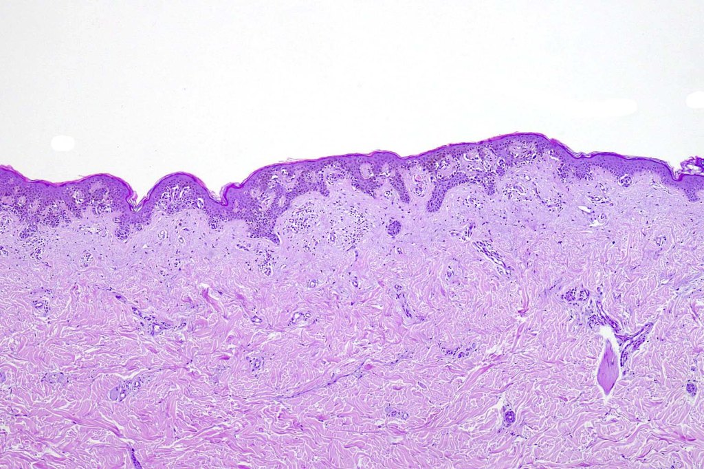
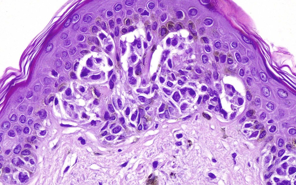
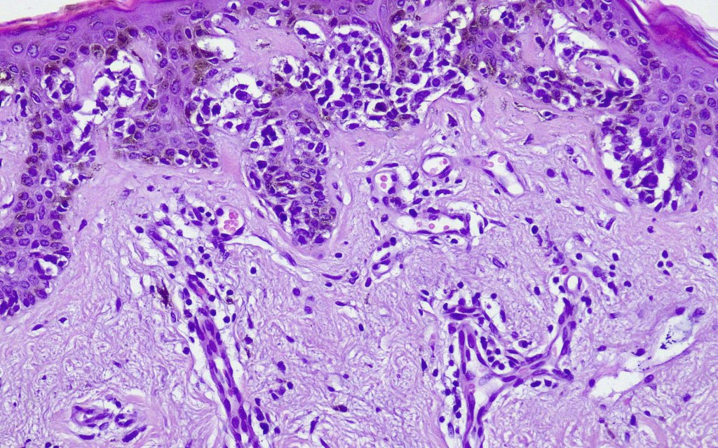
Histological features
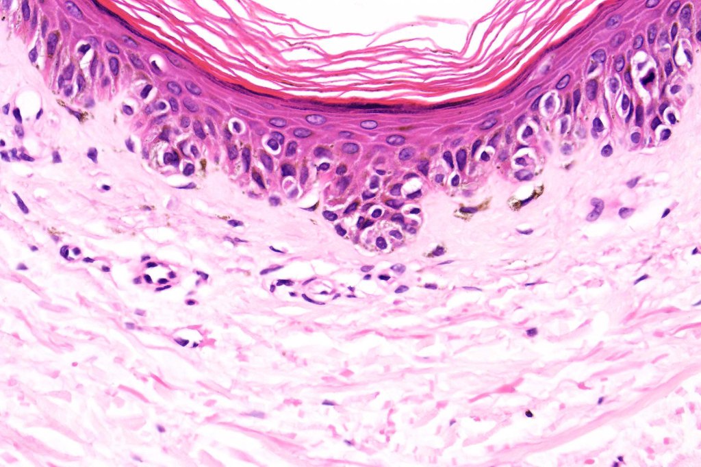
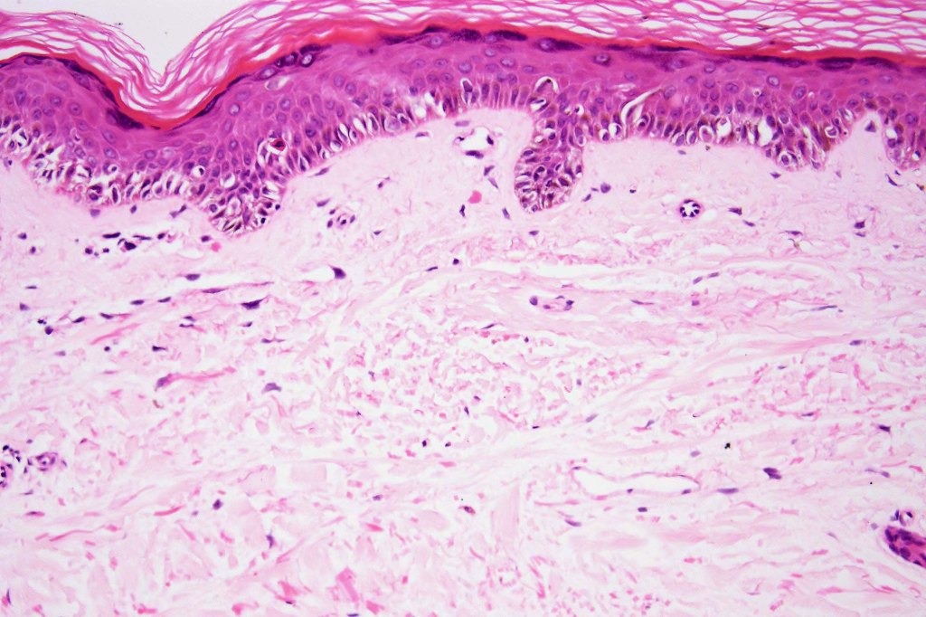
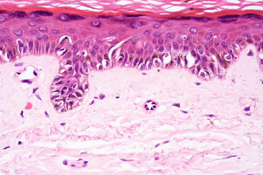
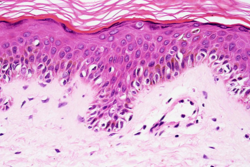
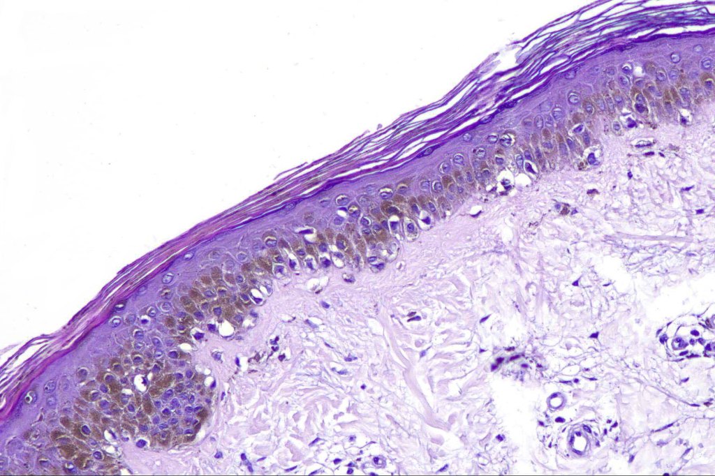
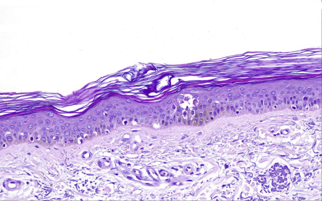
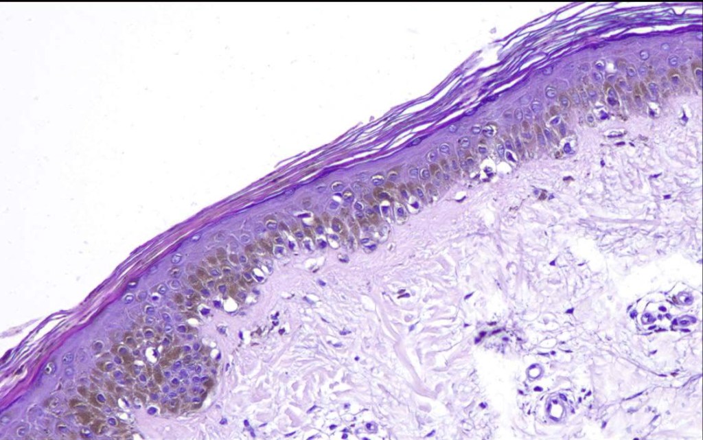
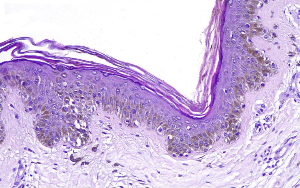
- A broad lentiginous proliferation of atypical melanocytes unasscoiated with any loss of the rete ridges
2. Melanocytes generally small, epithelioid (rather than spindled) with either vesicular nuclei and prominent nucleoli or are hyperchromatic.
3. The cells can be present singly, in short pallisades or can extend along a large section of epidermis
4. Pagetoid spread is sometimes seen in more established lesions
5. Grey/greenish cytoplasm (due to fine melanin pigment) occasionally encountered
6. Mitoses are not conspicuous
7. Fibroplasia not seen and elastosis is either mild or absent
8. An invasive component may be present
9. SOX10 can be valuable in highlighting the extent of the lesion
10. I am unaware of any documentation regarding PRAME expression (please comment if you have experience)
11. FISH has shown aberrations in chromsome 6 and in 1 case copy number gains in 11q13 (CCND1)






































Leave a comment