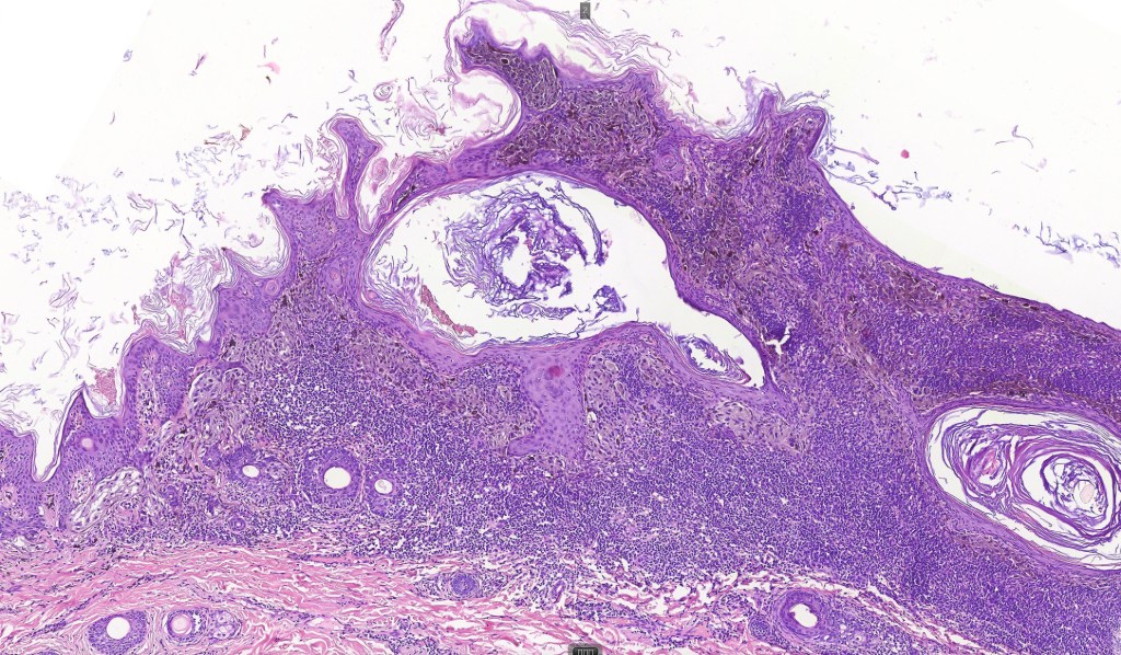
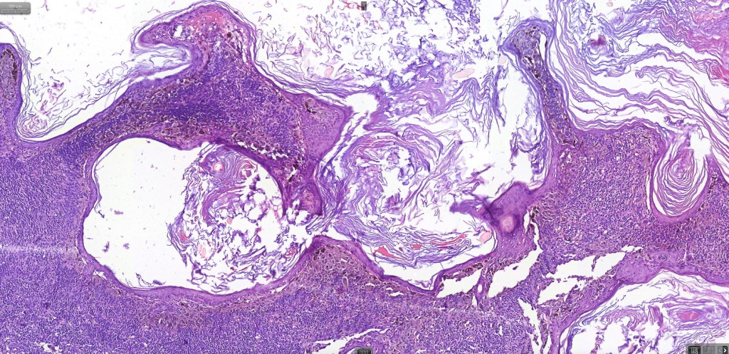
Although most scalp nevi can be readily classified into the regular nevus subtypes- common, congenital, blue etc, exceptionally they may show features more commonly seen at “the socalled milk-line” sites. Some authors use the term “atypical nevus of the scalp”.
Histological features
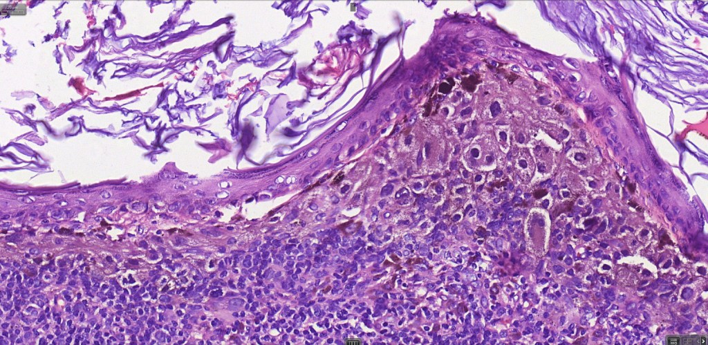
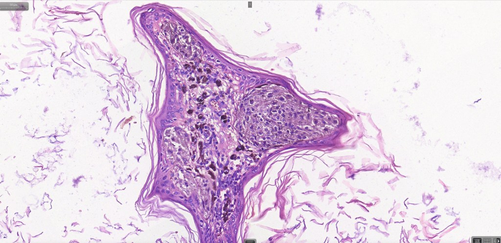
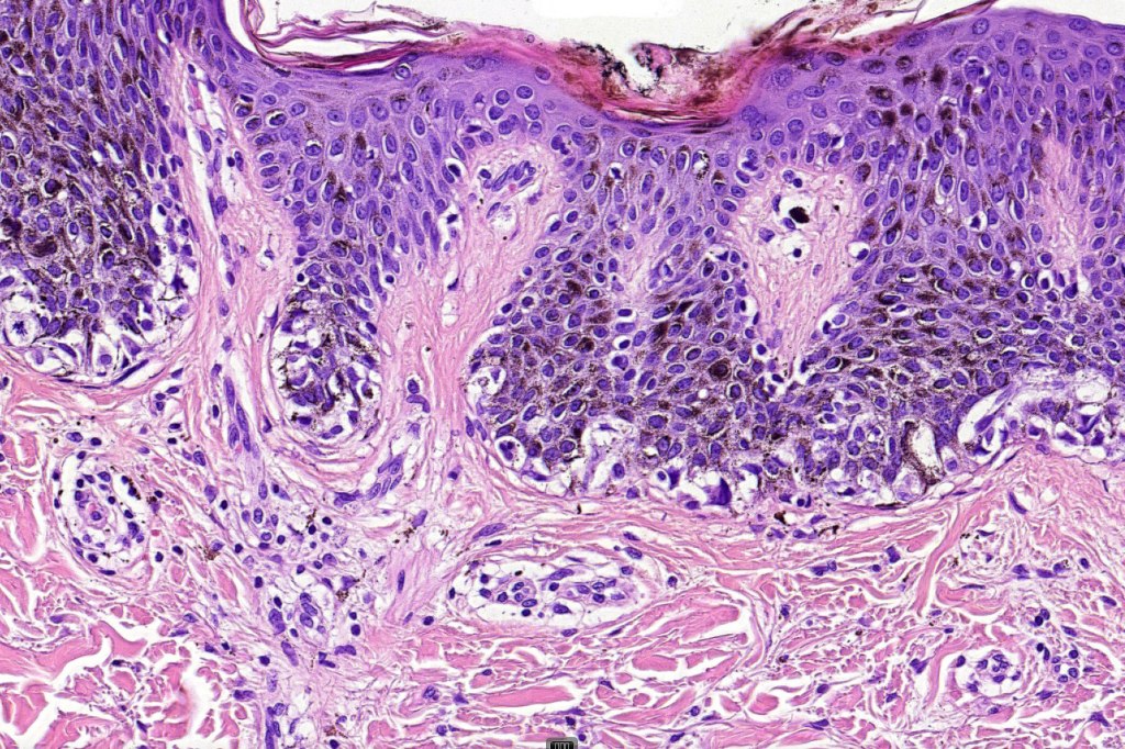
•Junctional/compound
•Large dyscohesive nests with retraction artifact, not restricted to the tips of the epidermal ridges
•Heavy pigmentation (sometimes gray/green)
•Bridging common, often over multiple rete ridges
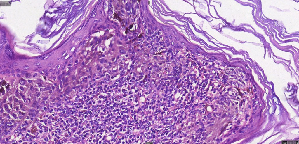
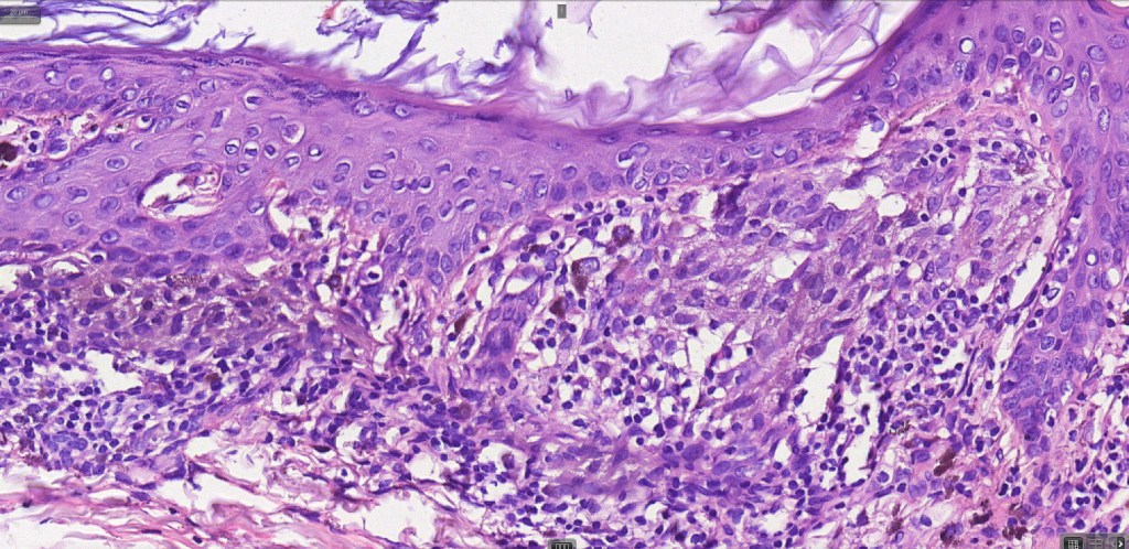
•Variable atypia (can be marked)
•Central pagetoid spread
•Superficial dermal atypia
•Junctional mitoses sometimes present, dermal mitoses+/-, can be multiple but never atypical
•Dermal fibrosis (sometimes lamellar)
. HMB45 shows gradation with depth, Ki67 is low





















Leave a comment