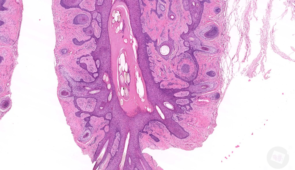
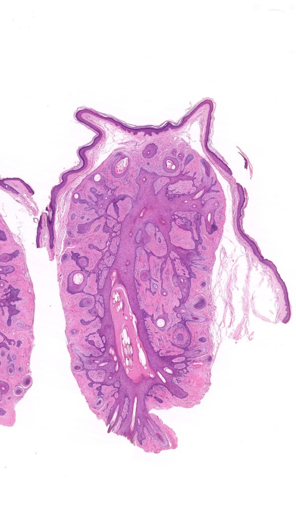
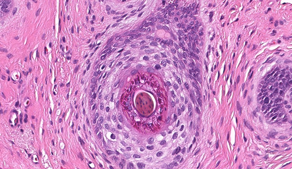
Trichofolliculoma

Clinical features

•An uncommon hamartoma presenting most often on the face & scalp as a solitary dome-shaped papule or nodule measuring 0.5-1.0 cm diameter

•Exceptionally multiple lesions may be present

•Rarely lesions may present in the external auditory meatus, on the external genitalia, nasal vestibule, lip, trunk & arm

•Single or multiple thread-like white vellus hairs (trichoids) may protrude from the follicular ostium

Histological features

•Comprises a cystic hair follicle from which arise numerous hair follicles often showing secondary budding

•The cavity contains hair shaft fragments

•A well-developed perifollicular sheath is present

•Additional features may include granulomatous inflammation & calcification

•Marked sebaceous differentiation is present in the sebaceous trichofolliculoma variant (see separate blog)

•Some authors postulate that in its later stages, it may correspond to folliculocystic sebaceous hamartoma although trichofolliculoma lacks the cleft-like spaces & the collagen, elastic tissue, fat and vascular mesenchymal elements seen in the former.

One response to “Trichofolliculoma”

  1. marietjievaswegen avatar
    marietjievaswegen

    And a very happy birthday!!

    Liked by 1 person

Leave a comment