A rare benign tumor showing differentiation towards the infundibular portion of the pilosebaceous canal. Some authors postulate that it occupies a place miday between trichoepithelioma & trichofolliculoma.
Clinical features
•Presents as a usually solitary, soft to firm, yellowish or pink nodule or plaque measuring up to 0.5-1.5 cm in diameter & most often affecting adults (mean 43 years)
•M=F
•Predilection for face & buttocks but may present elsewhere (neck, arm, thigh, shoulder, eyelid)
•Rare giant variants
•Rarely congenital or childhood
•Verrucous variant
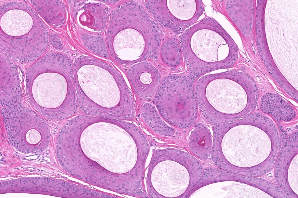
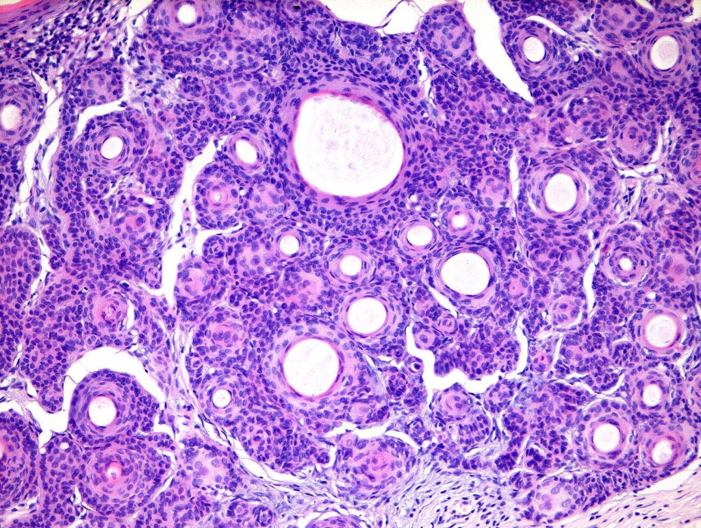
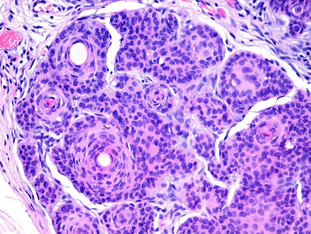
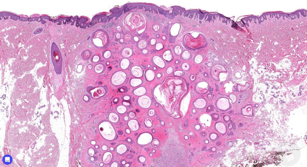
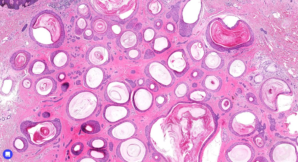
Histological features
•Keratocysts showing infundibular keratinization i.e.with a granular cell layer
•Solid epithelial islands
•Fibrovascular stroma
•In verrucous trichoadenoma, the cysts may contain vellus hairs
•Merkel cells can be identified with CK20
.BerEP4 & androgen receptor -ve














Leave a comment