Clinical features
•Common, generally solitary, asymptomatic, keratin plugged, comedone-like cystic invagination
•Few mm to 1 cm or more
•Face & neck
•Exceptionally on trunk
•2M:1F
•Generally, middle-aged or elderly
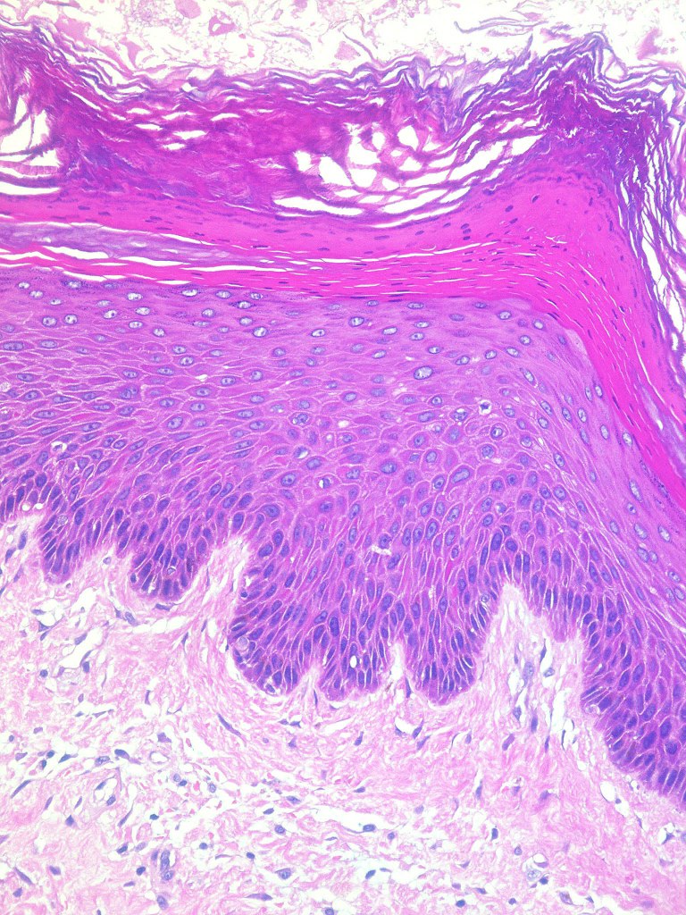
Histological findings
•A keratin-plugged, dilated follicular infundibulum lined by squamous epithelium and showing epithelial strands and/or buds emanating from ”cyst” wall
•The epithelium is often acanthotic showing hyperkeratosis & parakeratosis
•Exceptionally, vellus hair &/or sebaceous glands (overlapping trichofolliculoma)
•Some authors regard it as a true ”tumor” of the infundibulum (infundibuloma)





Leave a comment