This tumor occurs exclusively in females and is thought to represent an external genital equivalent to breast intraduct papilloma. It is probably derived from the ano-genital mammary-like glands
Clinical features
•Almost all cases have arisen in females, generally white & young-middle-aged
•Occasionally symptomatic- pruritus, pain etc
•Male cases represent misdiagnosed cystic apocrine hidradenoma
•Small, asymptomatic solid/cystic papule or nodule (0.3-2 cm) on vulva or in a perineal/perianal location
•Any vulval site may be affected
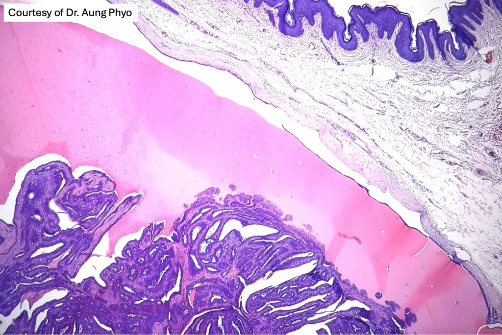
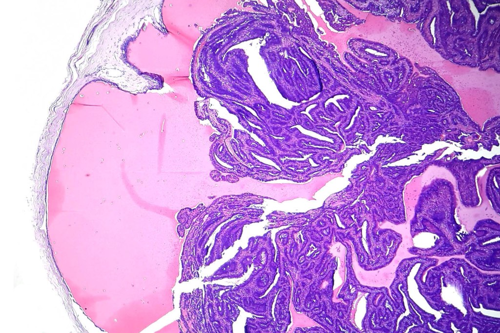
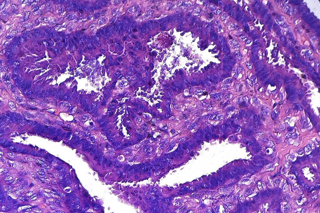
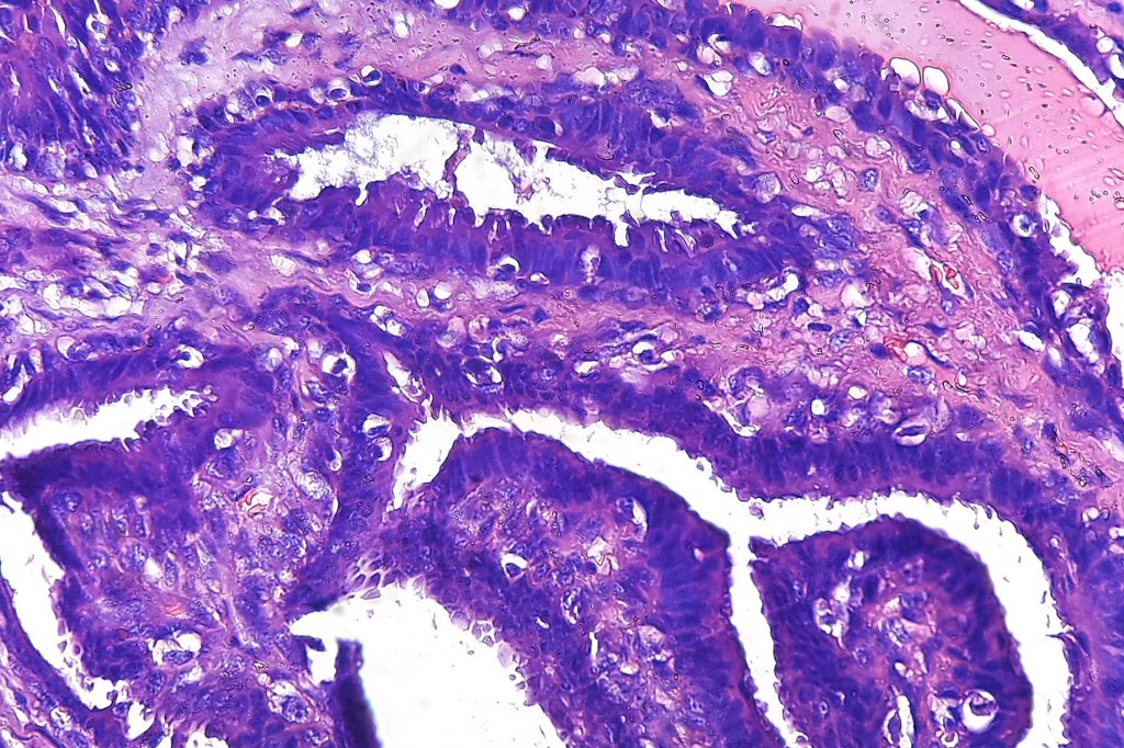
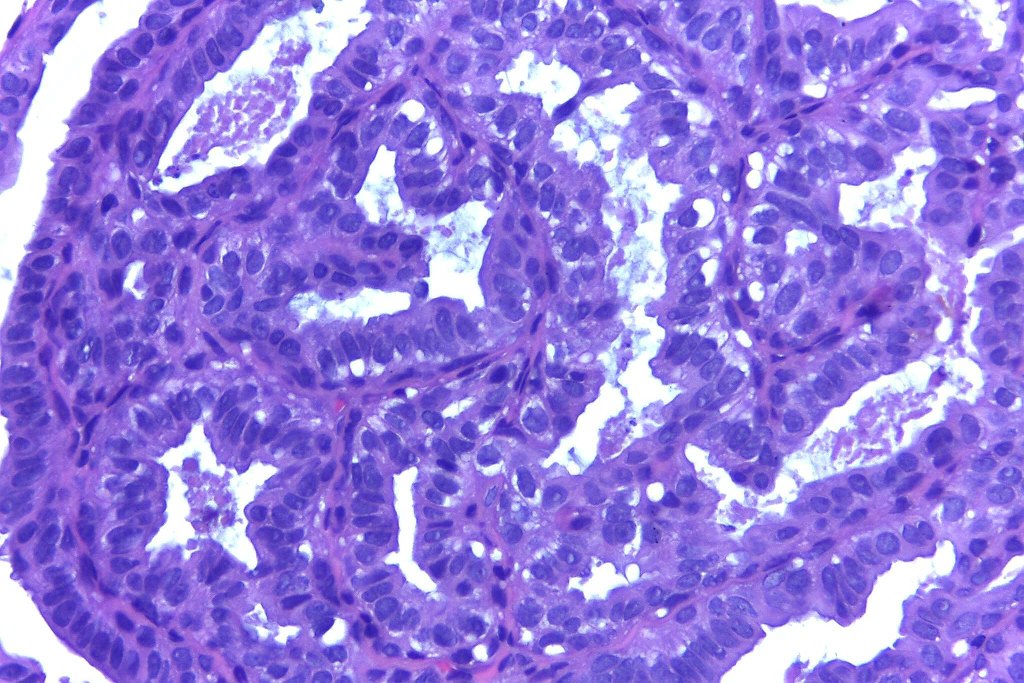
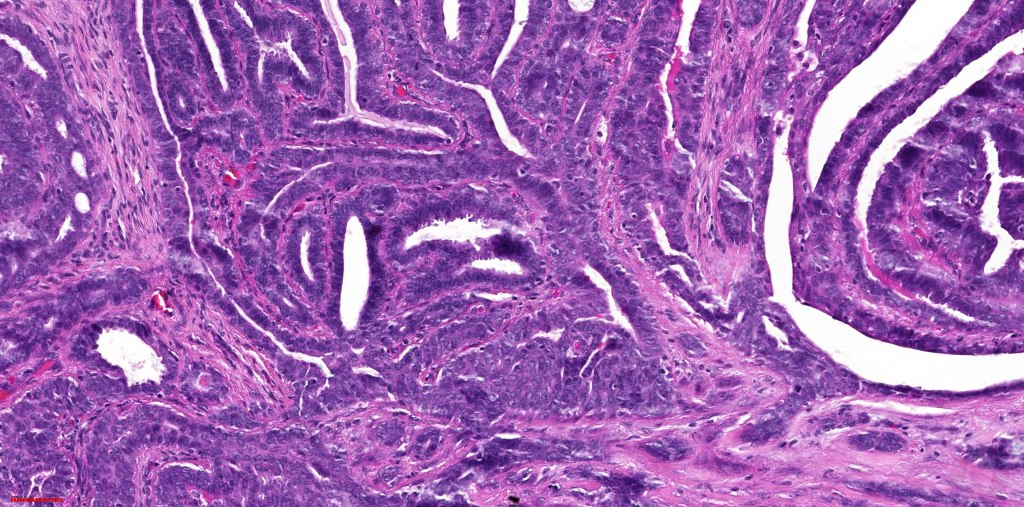
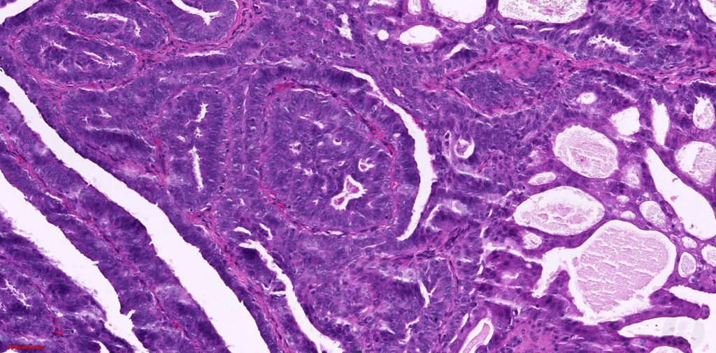
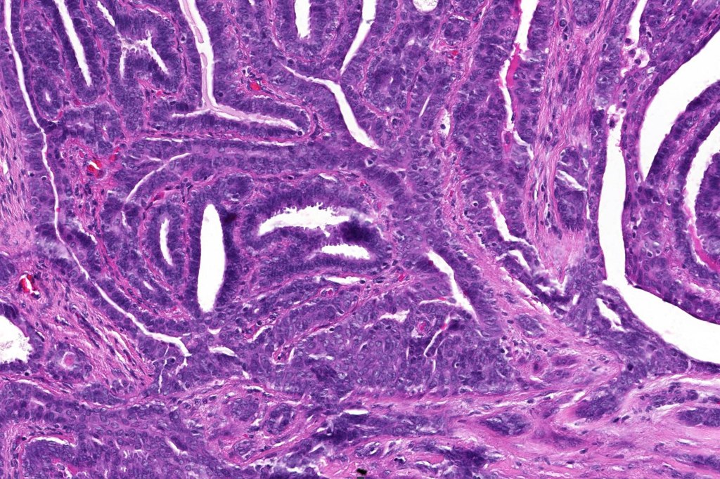
Histological features
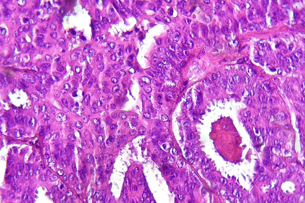
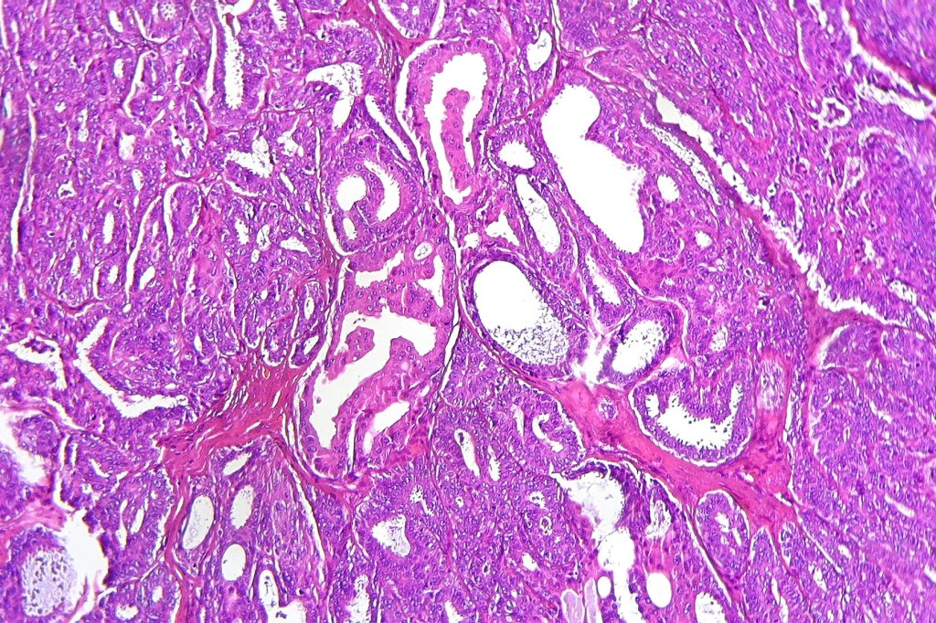
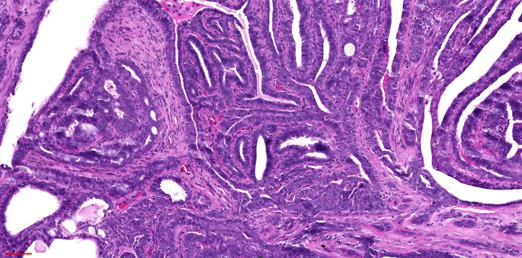
•Circumscribed intradermal/lamina propria nodule
•Cystic or solid
•Papillae lined by myoepithelial cells with overlying epithelial cells with eosinophilic cytoplasm showing decapitation secretion
•+/- Oxyphil metaplasia
•Cribriform pattern sometimes evident
•Solid pattern
•Exceptionally, sebaceous differentiation
•DPAS +ve granules
•Mitoses can be absent or even brisk
•No pleomorphism or abnormal mitoses
•No necrosis, lymphovascular invasion or perineural infiltration
•CK7, EMA, CEA, ER, PR, GCDFP-15, HMFP-1 +ve
•Myoepithelial cells p63, S100, SMA +ve


















Differential diagnosis
Malignant change is vanishingly rare. Features include an infiltrating margin, nuclear pleomorphism, abnormal mitoses & necrosis
Leave a comment