Clinical features
•Trichoblastic carcinoma, sarcoma & carcinosarcoma
•Exceedingly rare, most cases have arisen on the face & scalp of the elderly but may present at a wide variety of sites
•Exceptional complicating nevus sebaceus
•Average age 65
•M>F
•Exceptionally familial/syndromic e.g. Brooke-Spiegler syndrome
•Some authors divide tumors into subtypes- low-grade presenting predominantly on the face (with risk of recurrence but no metastatic potential) & high-grade presenting at a wide variety of sites and associated with significant risk of metastases and mortality
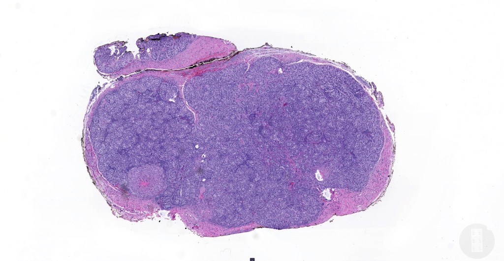
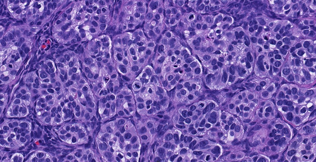
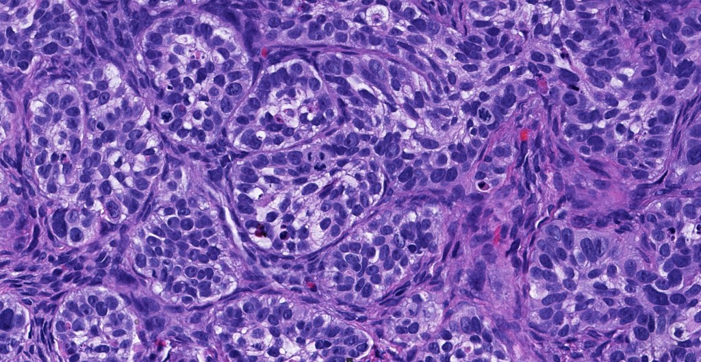
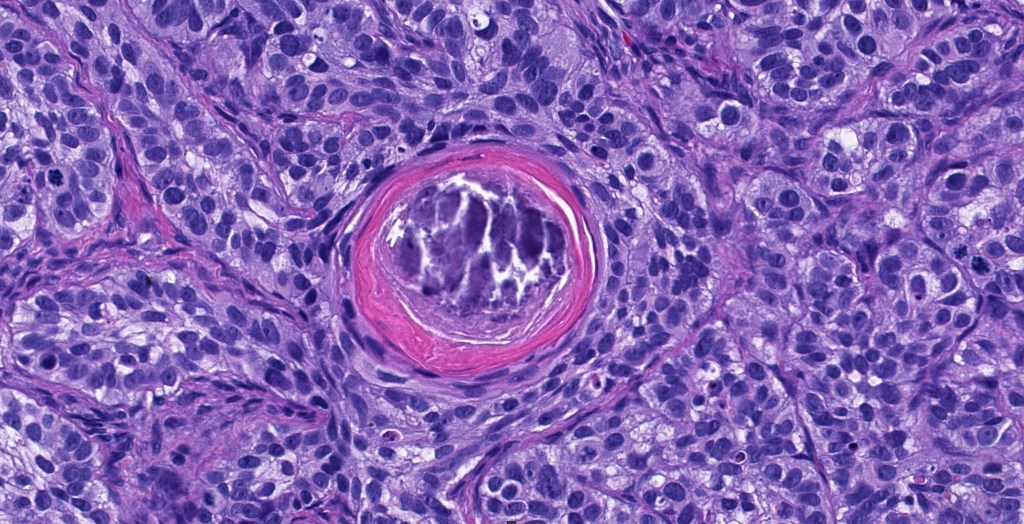
Histological features
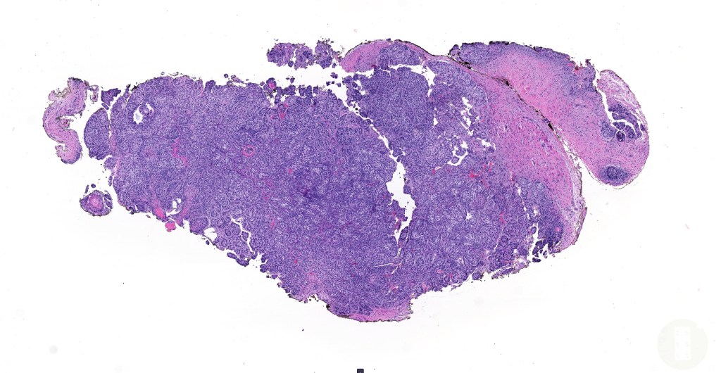
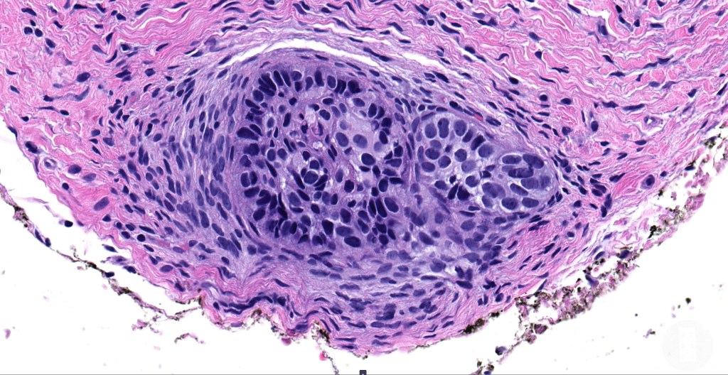
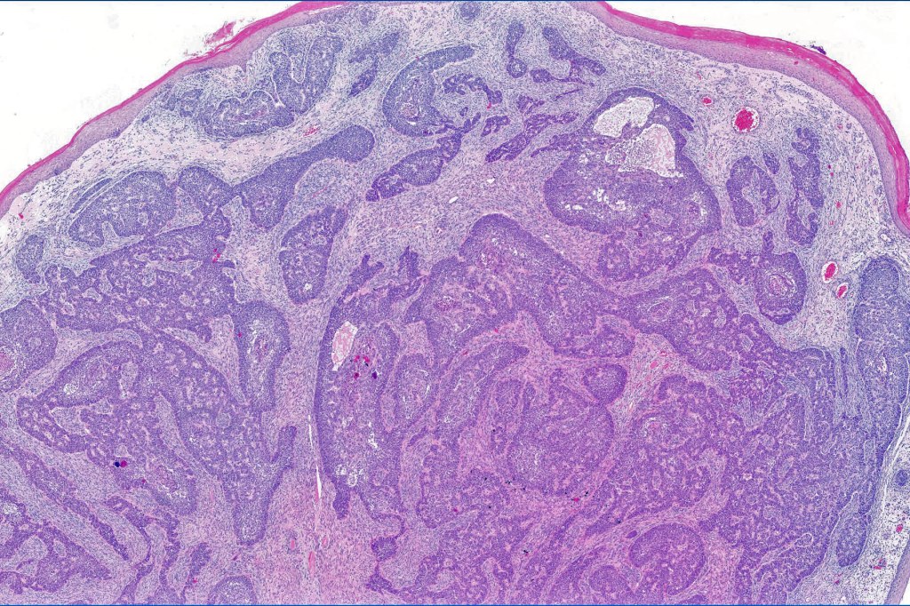
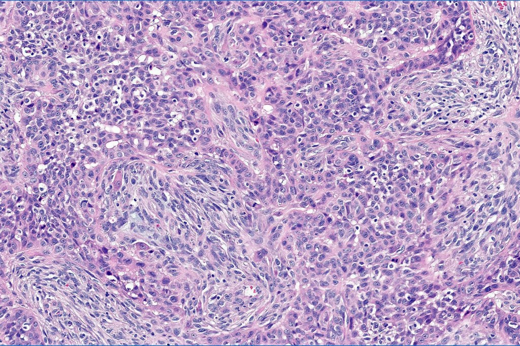
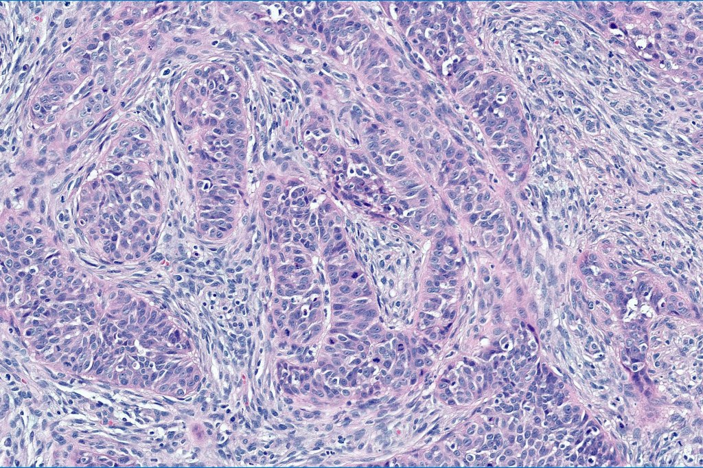
•Low grade trichoblastic carcinoma is easily recognized as trichoblastomatous but shows an infiltrating margin with deep involvement into subcutaneous fat +/- muscle
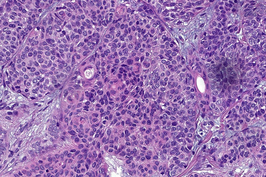
•High grade trichoblastic carcinoma is characterized by high grade carcinoma arising in a trichoblastoma. TP53 &PIK3CA mutations have been documented
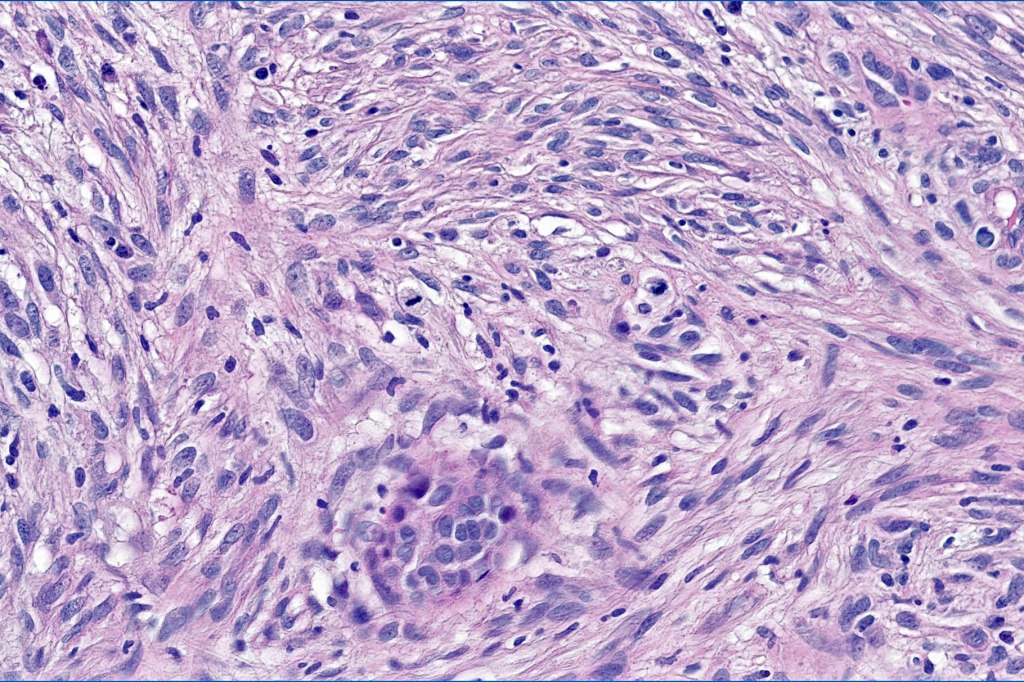
•Trichoblastic sarcoma is characterized by readily recognizable trichoblastoma associated with a high grade sarcomatous element
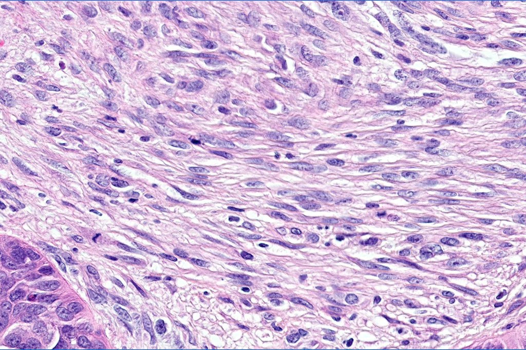
•Trichoblastic carcinosarcoma combines trichoblastic carcinoma & sarcoma






























Leave a comment