Exceedingly rare. Most cases are misdiagnoses & represent metastases from breast or less often large intestine
Clinical features
•Exceedingly rare
•Head & neck
•Occasionally trunk & extremities
•Middle aged-elderly
•A similar tumor may present on the vulva
•M=F
•Firm dermal nodule or plaque
•Recurrences- 70%, metastases- 57%, mortality- 70%
Histological features
•Most cases are misdiagnoses & represent metastases from breast or less often large intestine
•No evidence of an epidermal origin but Paget’s disease is possible in vulval tumors
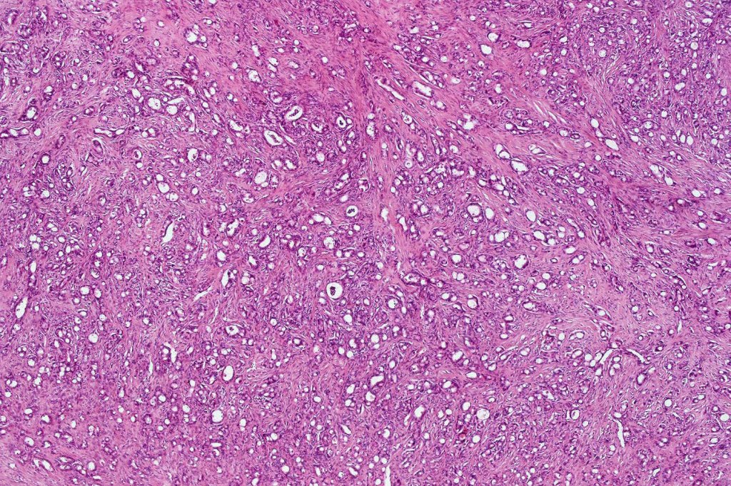
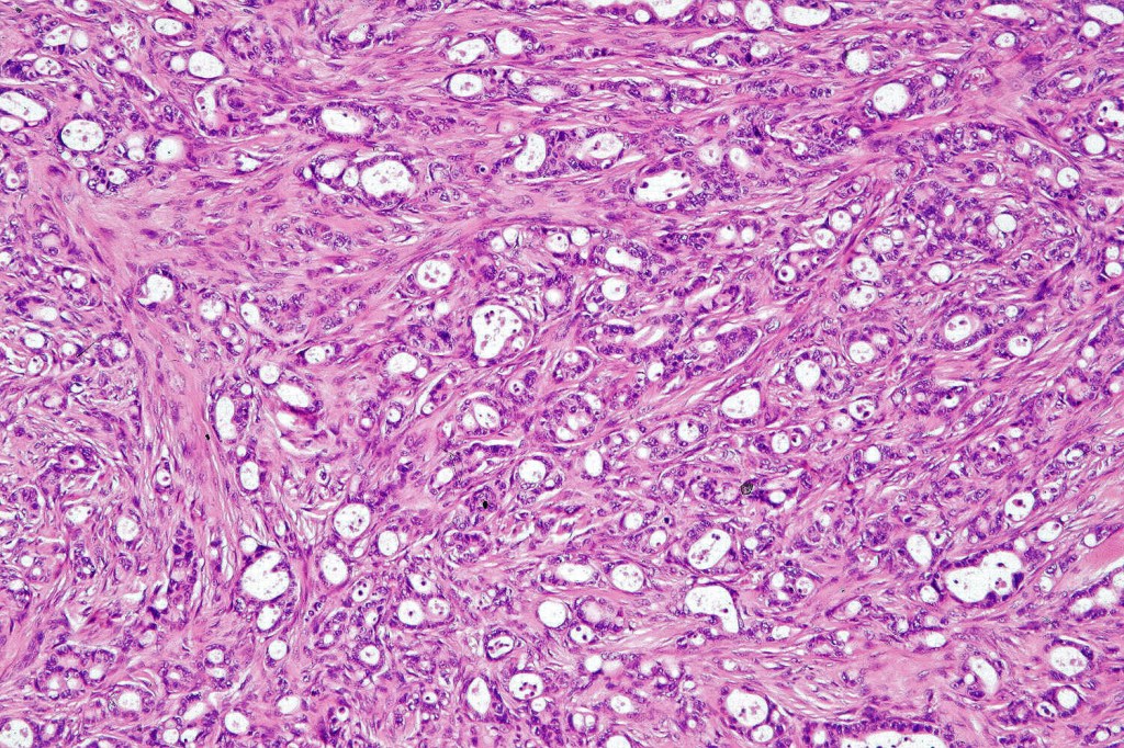
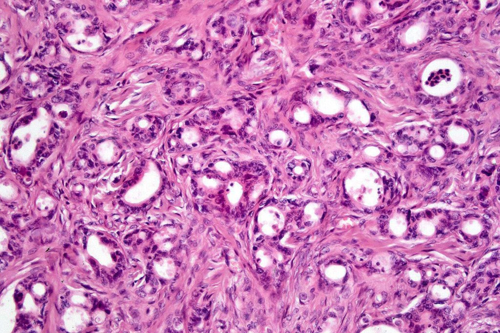
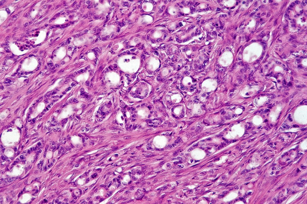
Dermal tumor +/- subcutaneous fat
•Nests & cords of epithelial cells showing ductal differentiation/intracytoplasmic lumina embedded in a dense fibrous stroma
•Eosinophilic cytoplasm & irregular vesicular nuclei with small nucleoli
•Variable pleomorphism & mitoses
•Perineural infiltration & lymphovascular invasion commonly present
•CK7 & CEA +ve
•ER, PR, c-erbB-2, S100 & GCDFP-15 variable









Leave a comment