Clinical features
•Uncommon
•Head & neck with predilection for the cheek but can present at a wide variety of sites where apocrine are normally found
•Dome-shaped, translucent, bluish/purple/black cystic nodule measuring up to 1.0-1.5 cm
•Giant variant
•Occurrence in nevus sebaceus
•Exceptionally described in the parotid gland (Achour et al, 2023)
•M=F
•Middle-aged; occasionally seen in children
•Moll gland cyst (eyelid), may cause ptosis
•Occasionally multiple +/- association with Schöpf-Schulz-Passarge & Golz syndromes
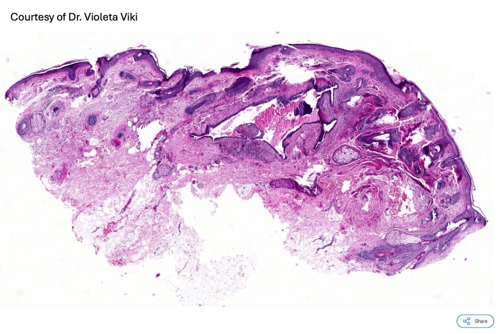
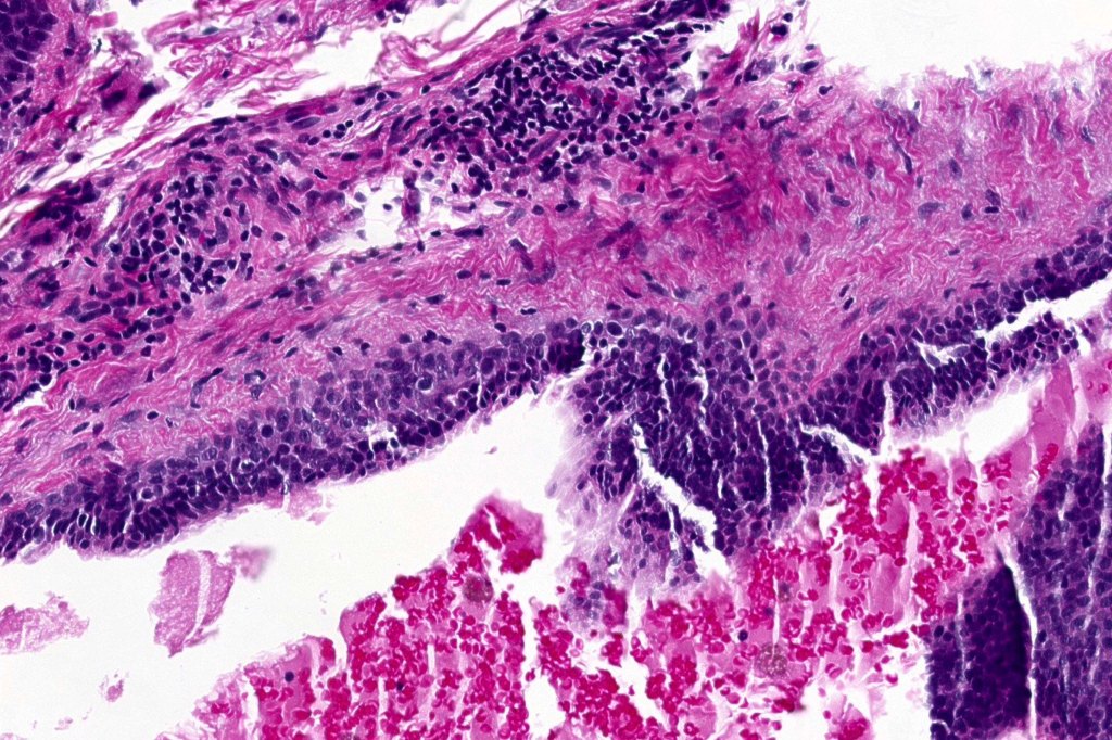
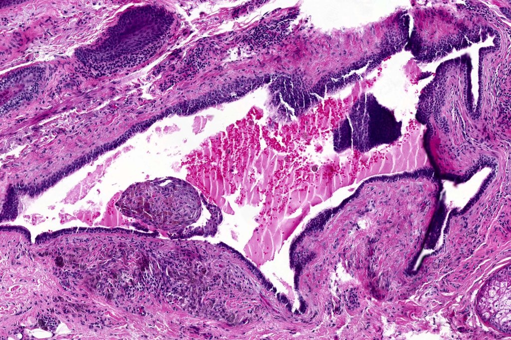
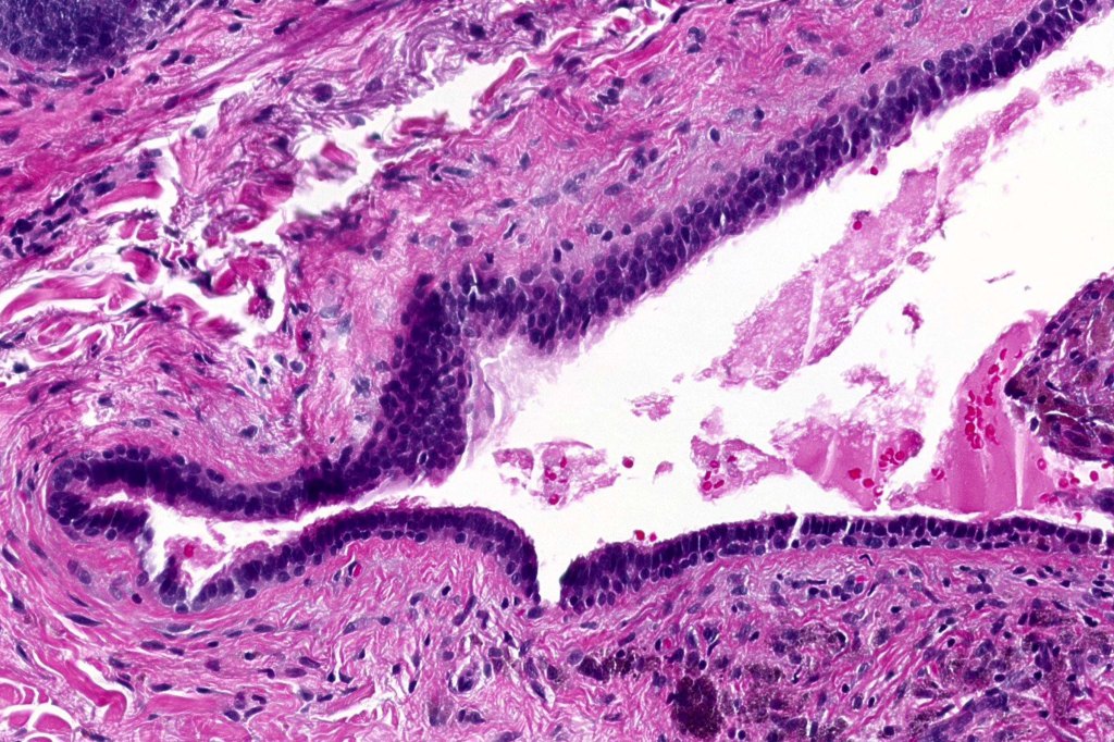
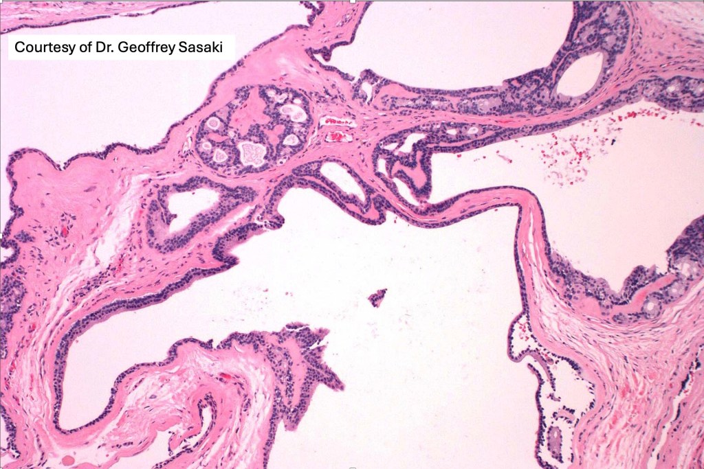
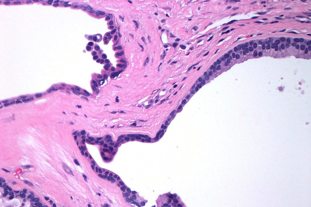
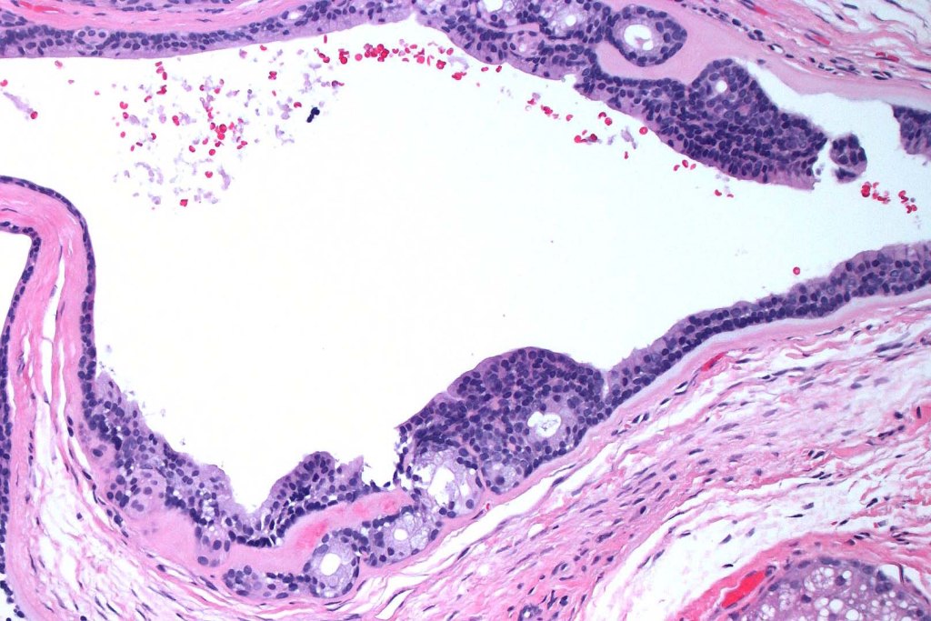
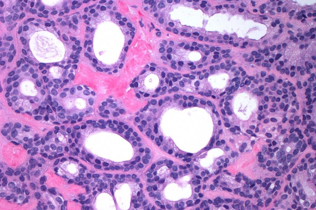
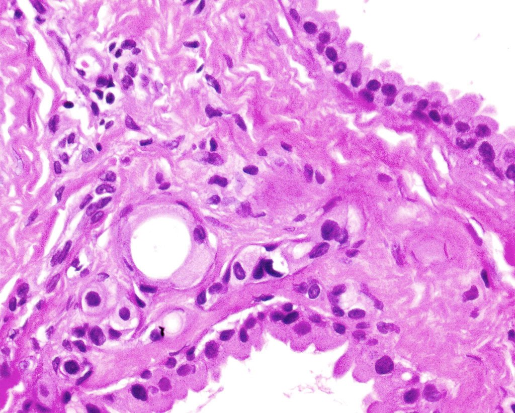
Histological features
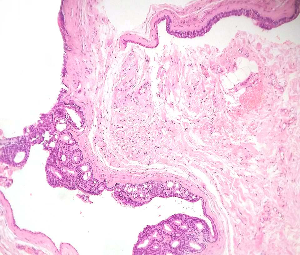
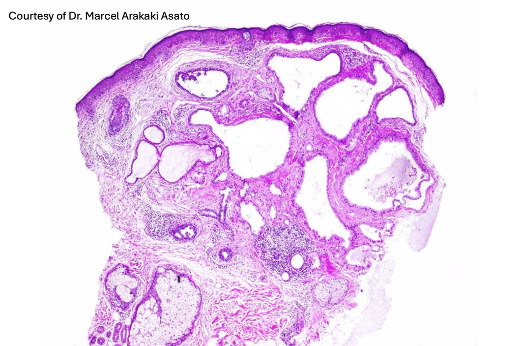
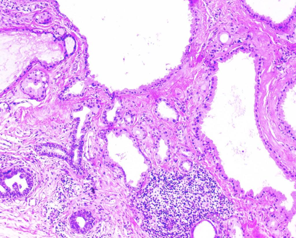
•Pseudo-encapsulated unilocular or multilocular
•Outer myoepithelial cells & inner layer of columnar cells with eosinophilic cytoplasm showing decapitation secretion
•DPAS +ve intracytoplasmic granules
•Adenomatous/papillary component (cystadenoma)
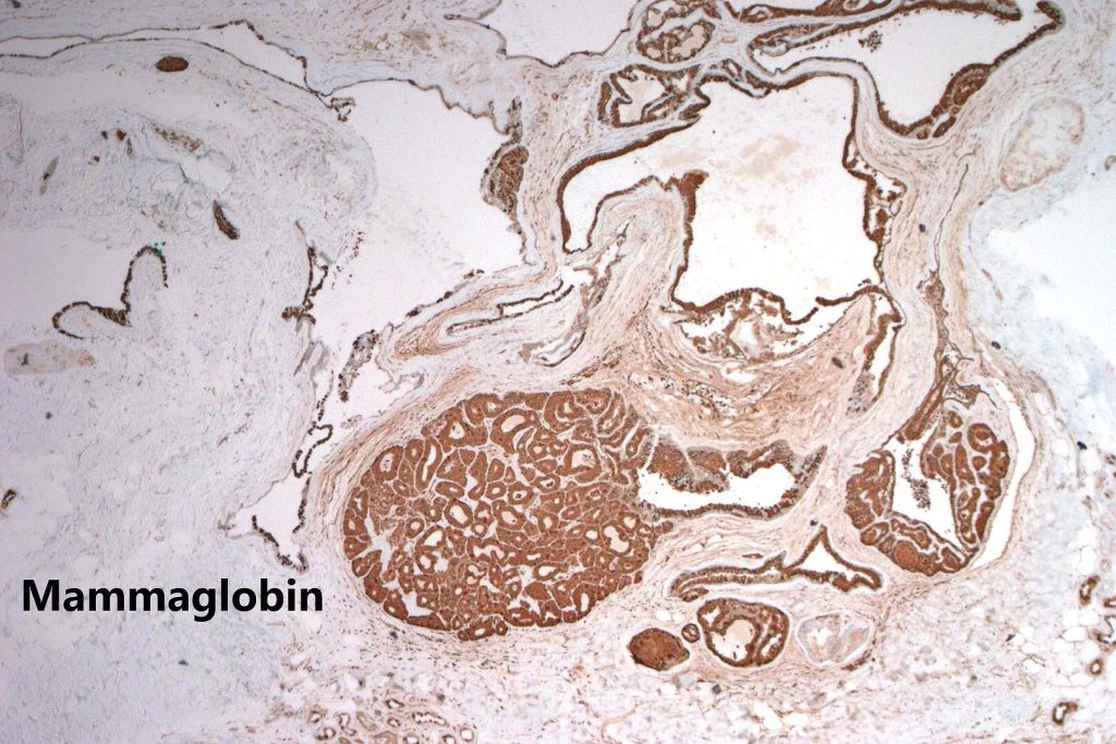
•CK7, CK18, GATA3, HMFG, GCDFP-15+ve
•Myoepithelial cells SMA, S100, p63 +ve



















Leave a comment