Clinical features
•Very rare condition most often presenting in children although a wide age range may be affected (birth-73 years)
•Adult lesions may develop following trauma
•Slight preponderance of females
•Presents as a slowly growing blue/purple, papulo/nodule or plaque (3mm-11cm) with a predilection for the limbs particularly the palms & soles although other sites including the head/neck & trunk may be affected
•In children, size increases with patient growth
•Hypertrichosis sometimes present
•Variable hyperhidrosis & pain
•Exceptionally may present with agminated, linear & segmental lesions

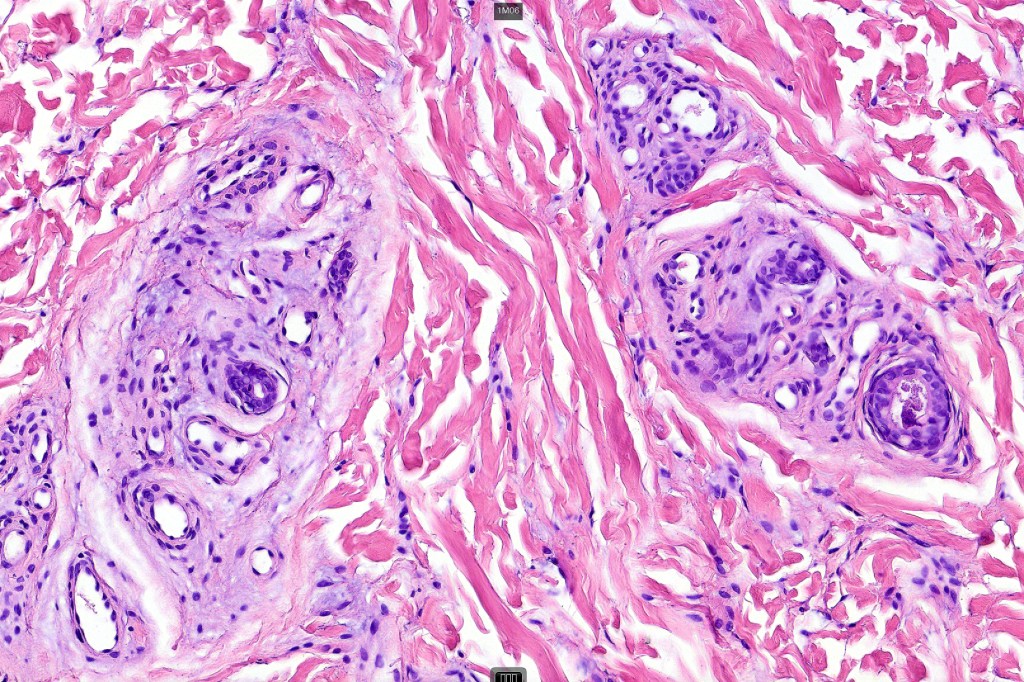
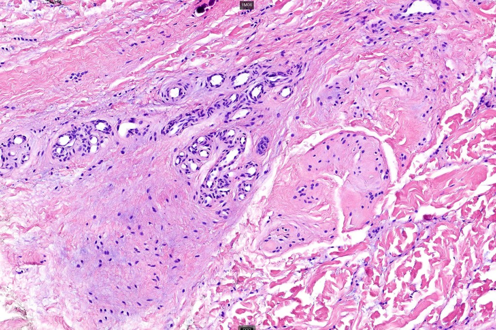
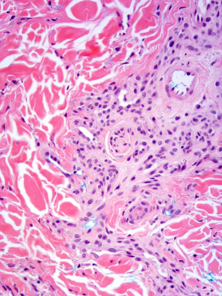
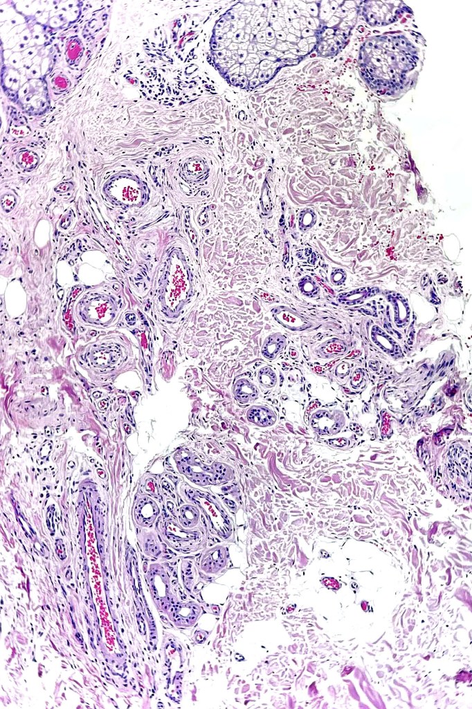
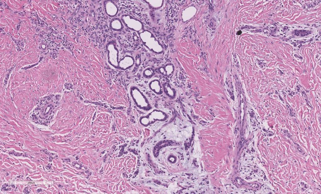
Histological features
•Hyperkeratosis & variable acanthosis & papillomatosis
•Mid- to deep dermal lobular infiltrate of sweat glands & ducts accompanied by capillaries & small vessels
•In some cases, larger venules & veins are present & associated arteriovenous malformation, spindle cell hemangioma, angiokeratoma & verrucous hemangioma have been described
•Variable adipose, smooth muscle, neural & apocrine components
•Variable myxoid change & mucin deposition
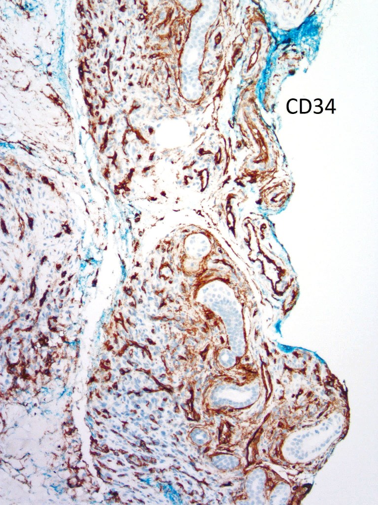
.CD34 +ve, D2-40 -ve



















Leave a comment