Clinical features
•Rare lesion which most often represents a reactive phenomenon
•Classified into 5 categories.

Histological features
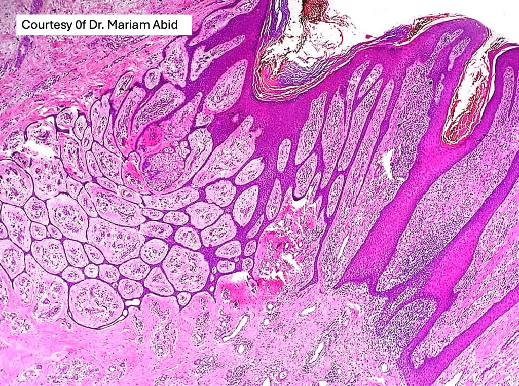
•As the name implies, arises from the acrosyringium
•Arising from the epidermis are multiple thin anastomosing strands of epithelium showing focal ductal differentiation
•The stroma is often myxoid & may containlymphocytes & plasma cells
•Exceptionally may be accompanied/complicated by SCC







Leave a comment