Aacntholytic acanthoma
•Common, solitary keratotic papule or plaque (0.5-1.5 cm) in the elderly
•Predilection for males
•Trunk, arm & neck but may arise elsewhere
•Histology is Darier-like
•If dyskeratosis is marked, the term acantholytic dyskeratotic acanthoma has been applied







Acantholytic dermatosis of the genitocrural region
•Predilection for young or middle-aged females
•0.1-0.5 cm single or multiple papules involving the labia majora +/- erythematous or white plaques
•Sometimes with involvement of perineum, thighs & inguinal region
•In males, the ano-genital regions are affected
•No clinical evidence of Grover, Darier or Hailey-Hailey disease
•Exceptional cases thought to represent genetic mosaicism with ATP2A2 & ATP2C1 somatic mutations
•Histology resembles Darier, Hailey Hailey disease or warty dyskeratoma
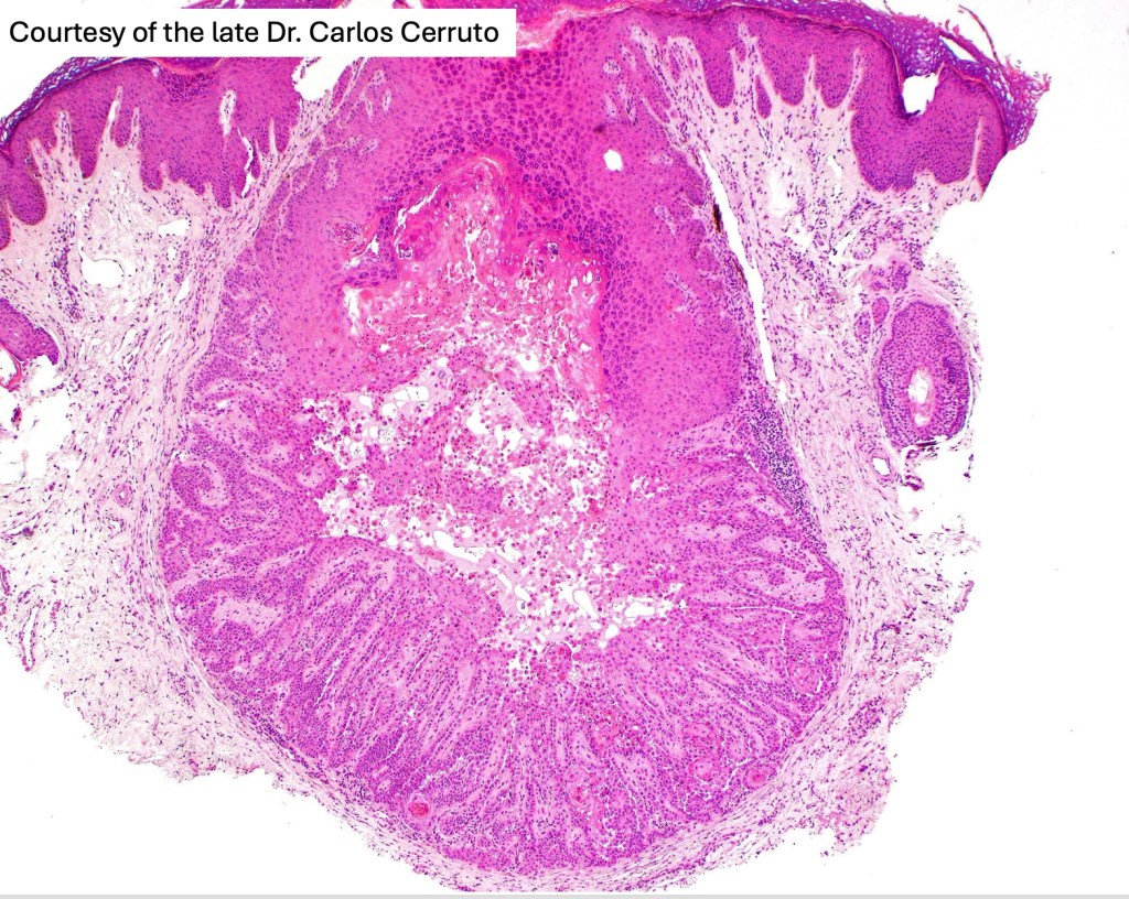
Warty dyskeratoma
•Umbilicated solitary nodule on sun-damaged skin of the head & neck but may arise elsewhere
•Rarely multiple lesions are present
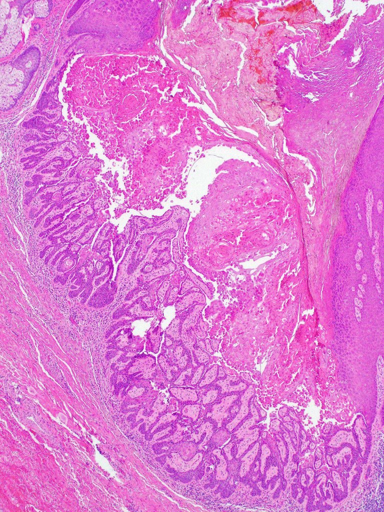
•Follicular continuity often evident
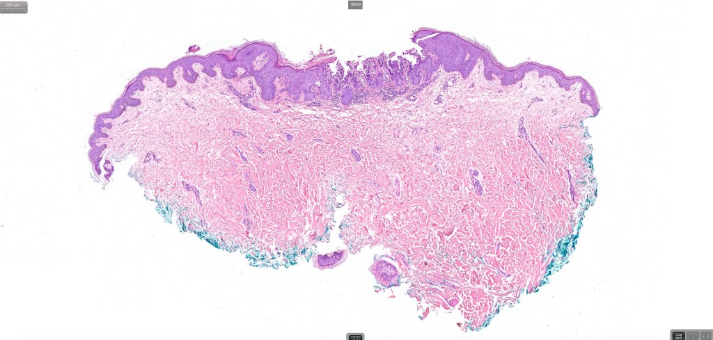
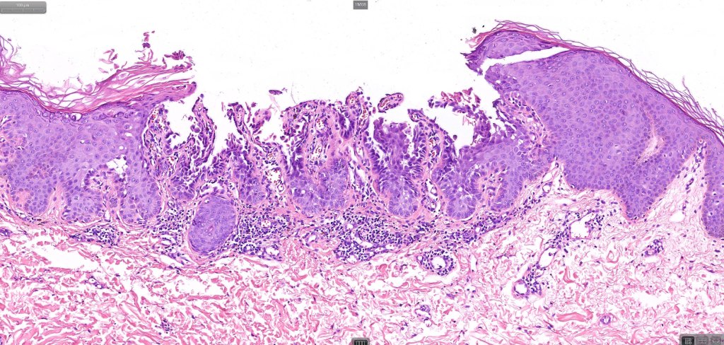
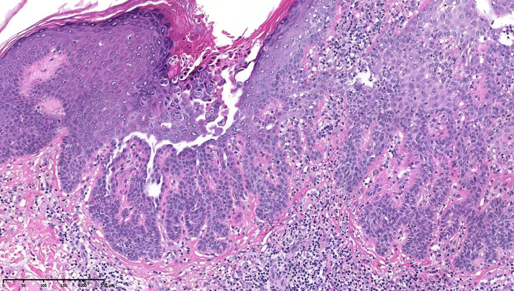
•Cup-shaped, cystic invagination containing keratinous debris showing conspicuous corps ronds & grains of Darier
•The deeper reaches show acantholysis and prominent suprabasal villi





Focal acantholytic dyskeratosis
This term is used for localized acantholysis with dyskeratosis occuring as an incidental finding is a specimen excised for some other lesion. The image belw came from a adjacent univolved skin in an excision specimen

Leave a comment