Epidermolytic hperkeratosis is a feature of a number of conditions including epidermolytic ichthyosis, annular epidermolytic ichthyosis & epidermolytic epidermal nevus. These are associated with mutations in KRT1 or KRT10. Superficial epidermolytic ichthyosis is associated with a mutation in KRT2. Epidermolytic hyperkeratosis may be encountered as an acquired lesion (epidermolytic acanthoma ) whichmay be associated with KRT10 mutations. Epidermolytic hyperkeratosis can be a non-specific incidental finding in normal skin (incidental epidermolytic hyperkeratosis) or in skin adjacent to a wide variety of different conditions.
Epidermolytic acanthoma & incidental epidermolytic hyperkeratosis
•An acquired flesh colored, white or brown verrucous papule or plaque with a predilection for Caucasians & Japanese
•Predominatly affects the external genitalia, groins & trunk
M>F
4th-7th decades
•Rarely multiple or disseminated lesions
•Hotspot mutation in KRT10 & Diminished expression of keratins 1 & 10
.HPV-ve
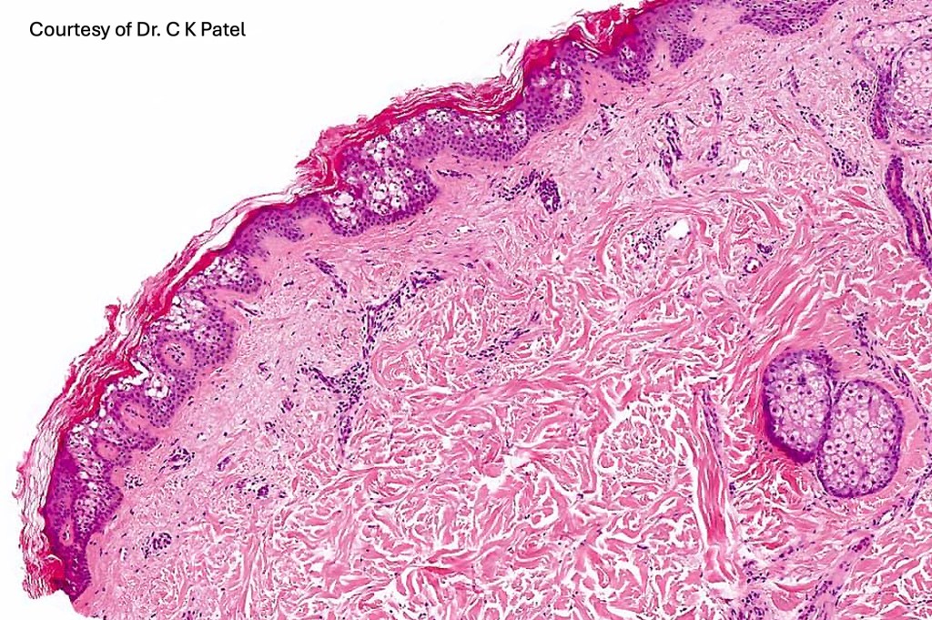
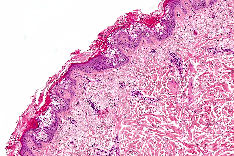
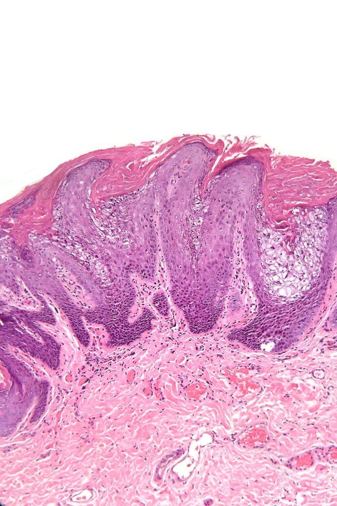
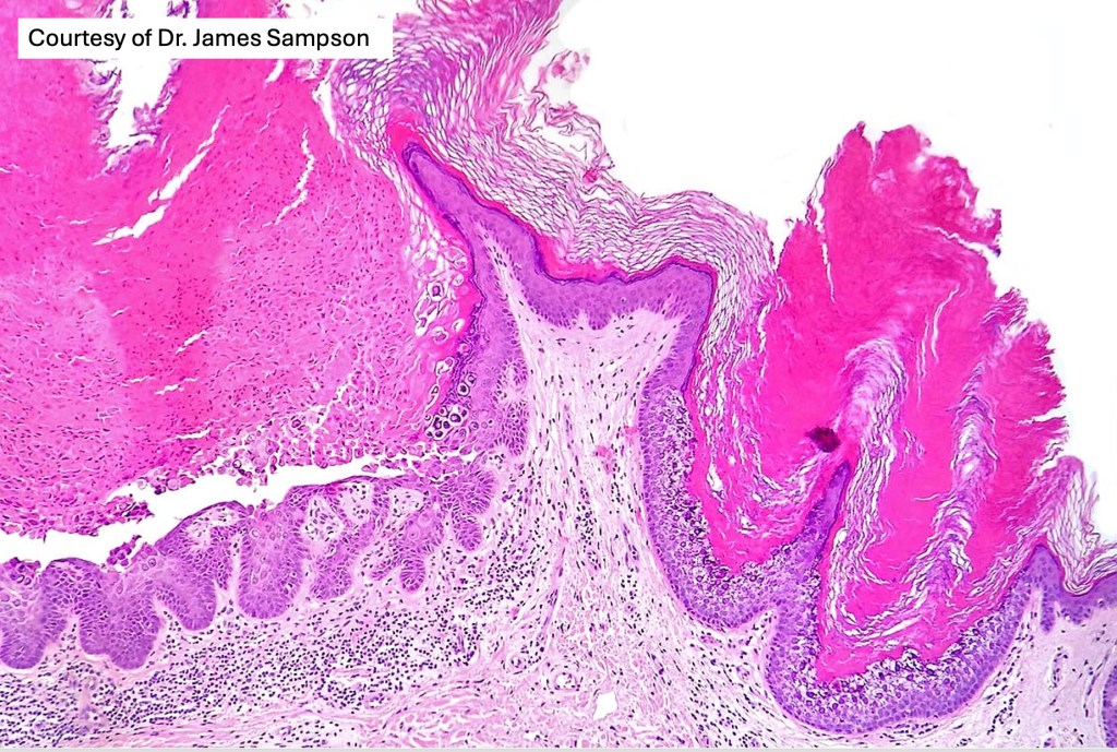
•Cup-shaped circumscribed lesion showing hyperkeratosis, focal parakeratosis & acanthosis
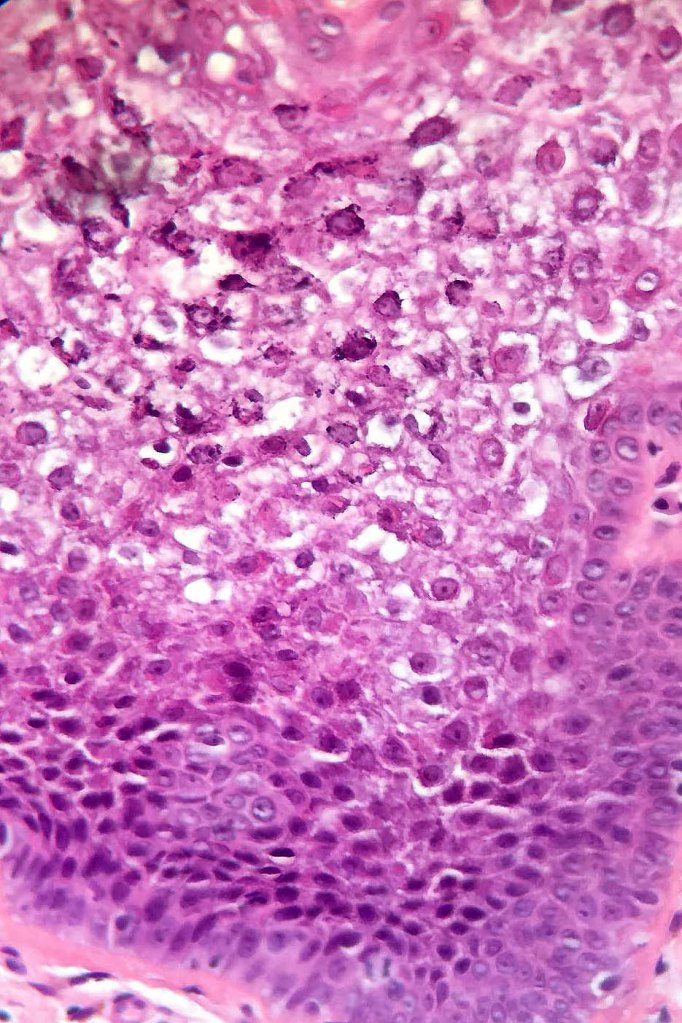
•Superficial epidermis shows often multifocal keratinocyte vacuolation with eosinophilic cytoplasmic inclusions & sometimes epidermal necrosis
•Incidental epidermolytic hyperkeratosis presents as a very small focus of histologically change in specimens from a wide range of unrelated conditions such as nevi, seborrheic keratoses, actinic keratoses etc and normal skin


















Leave a comment